W dzisiejszych czasach biały, promienny uśmiech stał się symbolem zdrowia i pewności siebie. Nic dziwnego, że tak wiele osób poszukuje skutecznych i bezpiecznych sposobów na rozjaśnienie swoich zębów w domowym zaciszu. Ten artykuł to kompleksowy przewodnik, który pomoże Ci odnaleźć się w gąszczu dostępnych metod, ocenić ich realną skuteczność i bezpieczeństwo, a także wskaże, kiedy domowe eksperymenty powinny ustąpić miejsca profesjonalnej opiece stomatologicznej.
Domowe wybielanie zębów: poznaj bezpieczne i skuteczne metody oraz pułapki
- Wiele popularnych "naturalnych" metod (soda, węgiel aktywny) jest nieskutecznych lub wręcz szkodliwych dla szkliwa.
- Gotowe produkty apteczne i drogeryjne (pasty, paski, żele) oferują zmienną skuteczność i bezpieczeństwo, zależne od składu i sposobu użycia.
- Kluczowa jest konsultacja ze stomatologiem przed rozpoczęciem wybielania, aby wykluczyć przeciwwskazania i ocenić stan jamy ustnej.
- Należy unikać wybielania w przypadku próchnicy, chorób dziąseł, nadwrażliwości, ciąży, karmienia piersią oraz u osób poniżej 16-18 roku życia.
- Po wybielaniu niezbędna jest "biała dieta" oraz odpowiednia higiena, aby utrzymać uzyskany efekt.
Biały uśmiech: dlaczego jest tak pożądany i co wpływa na kolor zębów?
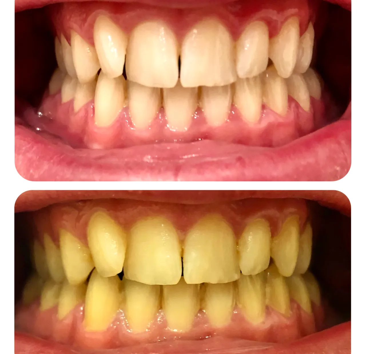
Biały uśmiech od dawna jest symbolem atrakcyjności, zdrowia i sukcesu w wielu kulturach. W dzisiejszym społeczeństwie, gdzie wizerunek odgrywa kluczową rolę, dążenie do posiadania śnieżnobiałych zębów jest silniejsze niż kiedykolwiek. Ale co tak naprawdę wpływa na kolor naszych zębów? Przede wszystkim, naturalny odcień zębów jest uwarunkowany genetycznie i zależy od grubości oraz przezierności szkliwa, a także koloru zębiny, która znajduje się pod nim. Zęby nigdy nie są idealnie białe; ich barwa waha się od perłowej bieli, przez odcienie żółci, aż po szarość.
Niestety, z czasem na kolor zębów wpływa wiele czynników zewnętrznych. Dieta bogata w barwiące produkty, takie jak kawa, herbata, czerwone wino, soki owocowe czy ciemne sosy, może prowadzić do powstawania przebarwień. Nawyki takie jak palenie tytoniu są jednym z głównych winowajców nieestetycznych, żółtych lub brązowych osadów. Wiek również odgrywa rolę z upływem lat szkliwo staje się cieńsze, a zębina ciemnieje, co sprawia, że zęby wydają się mniej białe. Niektóre leki, zwłaszcza antybiotyki z grupy tetracyklin, przyjmowane w dzieciństwie, mogą trwale zmienić kolor zębów. Zrozumienie tych czynników jest pierwszym krokiem do świadomego wyboru metody wybielania i utrzymania pięknego uśmiechu.
Domowe wybielanie a profesjonalny zabieg: poznaj kluczowe różnice
Zanim zagłębimy się w szczegóły domowych metod, warto zrozumieć fundamentalne różnice między nimi a profesjonalnymi zabiegami wybielania zębów w gabinecie stomatologicznym. Te różnice mają kluczowe znaczenie dla skuteczności, bezpieczeństwa i trwałości efektów.
Przede wszystkim, profesjonalne wybielanie, wykonywane pod nadzorem dentysty, wykorzystuje znacznie wyższe stężenia substancji wybielających, najczęściej nadtlenku wodoru lub karbamidu. Dzięki temu środki te są w stanie wniknąć głębiej w strukturę zęba, rozjaśniając zębinę, a nie tylko usuwając osady powierzchniowe. Stomatolog ma również możliwość precyzyjnego kontrolowania procesu, chroniąc dziąsła i minimalizując ryzyko nadwrażliwości. Z kolei metody domowe, zarówno te "naturalne", jak i gotowe produkty apteczne, zazwyczaj działają płycej, koncentrując się na usuwaniu przebarwień z powierzchni szkliwa lub wykorzystując znacznie niższe stężenia substancji aktywnych. To sprawia, że ich skuteczność jest ograniczona, a efekty mniej spektakularne i krócej trwające. Co więcej, brak profesjonalnego nadzoru w domu zwiększa ryzyko nieprawidłowego użycia, co może prowadzić do podrażnień dziąseł, uszkodzenia szkliwa, a nawet nierównomiernego wybielenia. Dlatego zawsze podkreślam, że bezpieczeństwo i zdrowie jamy ustnej powinny być priorytetem, niezależnie od wybranej metody.

Naturalne metody wybielania zębów: co naprawdę działa, a co szkodzi?
W dobie internetu i rosnącej popularności "naturalnych" rozwiązań, wiele osób szuka alternatywnych, domowych sposobów na wybielenie zębów. Obietnice szybkiego i taniego rozjaśnienia uśmiechu za pomocą składników z kuchennej szafki brzmią kusząco. Niestety, jako ekspert muszę rozwiać wiele z tych mitów. Wiele z tych metod jest nie tylko nieskutecznych, ale wręcz może poważnie zaszkodzić Twojemu szkliwu i zdrowiu jamy ustnej. Przyjrzyjmy się najpopularniejszym z nich.
Soda oczyszczona i cytryna: popularny mit, który może Cię drogo kosztować
Połączenie sody oczyszczonej z sokiem z cytryny to jeden z najbardziej rozpowszechnionych, a zarazem najbardziej niebezpiecznych mitów dotyczących domowego wybielania zębów. Rozumiem, dlaczego jest tak popularne soda ma właściwości ścierne, co może dawać chwilowe poczucie, że zęby są jaśniejsze, bo usuwa osady powierzchniowe. Sok z cytryny natomiast jest silnym kwasem. Problem polega na tym, że regularne stosowanie tej mieszanki to prosta droga do trwałego uszkodzenia szkliwa. Soda, choć delikatna w kuchni, jest zbyt abrazyjna dla delikatnej powierzchni zębów, a kwas cytrynowy powoduje erozję, czyli rozpuszczanie szkliwa. W efekcie zęby stają się nie tylko bardziej podatne na przebarwienia (bo zębina, która ma ciemniejszy kolor, staje się bardziej widoczna), ale także na nadwrażliwość i próchnicę. Zdecydowanie odradzam tę metodę oszczędności na stomatologu mogą okazać się iluzoryczne, gdy trzeba będzie leczyć poważne konsekwencje.
Węgiel aktywny: czy czarny proszek faktycznie gwarantuje biel?
Węgiel aktywny to kolejny "naturalny" hit internetu, który obiecuje spektakularne wybielanie. Podobnie jak soda, węgiel aktywny działa poprzez mechaniczne ścieranie osadów z powierzchni zębów. Jego porowata struktura ma zdolność adsorpcji, czyli wiązania zanieczyszczeń, co w teorii ma pomóc w usunięciu przebarwień. I faktycznie, po użyciu węgla aktywnego możesz zauważyć, że Twoje zęby wydają się jaśniejsze to efekt usunięcia osadów. Jednakże, brak jest naukowych dowodów na to, że węgiel aktywny jest w stanie wybielić zęby w głębszych warstwach, czyli zmienić ich naturalny kolor. Co więcej, jego cząsteczki są dość duże i ostre, co w dłuższej perspektywie może prowadzić do mikrouszkodzeń i ścierania szkliwa, podobnie jak w przypadku sody. Warto również pamiętać, że wiele past z czystym węglem aktywnym nie zawiera fluoru, który jest kluczowy w ochronie przed próchnicą. Moja rada? Ostrożnie podchodź do tej metody i zawsze konsultuj się ze stomatologiem.
Kurkuma i olej kokosowy: bezpieczne, ale czy skuteczne? Rozprawiamy się z plotkami
Wśród naturalnych metod wybielania zębów często pojawiają się również kurkuma i olej kokosowy. Kurkuma, znana ze swoich właściwości przeciwzapalnych i antyoksydacyjnych, jest promowana jako naturalny wybielacz. Jednakże, jako silny barwnik, kurkuma może wręcz prowadzić do powstawania nowych przebarwień, szczególnie na porowatych powierzchniach zębów. Nie ma żadnych naukowych dowodów potwierdzających jej właściwości wybielające. Co do oleju kokosowego, metoda "oil pulling" (płukanie ust olejem) jest stosowana od wieków w medycynie ajurwedyjskiej. Może ona poprawiać ogólną higienę jamy ustnej, redukować bakterie i odświeżać oddech. Jednakże, skuteczność oleju kokosowego w wybielaniu zębów nie została potwierdzona naukowo. Ani kurkuma, ani olej kokosowy nie są w stanie zmienić naturalnego koloru zębów. Obie metody są raczej nieszkodliwe, ale niestety również nieskuteczne w kontekście wybielania. Jeśli szukasz poprawy higieny, olej kokosowy może być ciekawym dodatkiem, ale nie oczekuj od niego białego uśmiechu.
Podsumowanie naturalnych metod: werdykt stomatologów
Po przeanalizowaniu najpopularniejszych "naturalnych" metod wybielania zębów, mój werdykt jest jasny: większość z nich jest nieskuteczna, a niektóre wręcz szkodliwe. Obietnice szybkiego i taniego wybielania często prowadzą do rozczarowania, a w najgorszym przypadku do trwałych uszkodzeń szkliwa, które są trudne i kosztowne w naprawie. Stomatolodzy na całym świecie jednogłośnie ostrzegają przed eksperymentowaniem z takimi substancjami jak soda oczyszczona czy sok z cytryny.
Stomatolodzy ostrzegają: "Regularne stosowanie sody oczyszczonej z cytryną prowadzi do erozji i trwałego uszkodzenia szkliwa, co w efekcie może uczynić zęby bardziej podatnymi na przebarwienia i nadwrażliwość."
Pamiętaj, że zdrowie Twoich zębów jest bezcenne. Zamiast ryzykować, lepiej postawić na sprawdzone i bezpieczne rozwiązania, które omówię w kolejnej sekcji.

Gotowe produkty do domowego wybielania zębów: co wybrać?
Skoro "naturalne" metody często zawodzą lub szkodzą, warto przyjrzeć się gotowym produktom do domowego wybielania, które są szeroko dostępne w aptekach i drogeriach. Rynek oferuje ogromną różnorodność, od past wybielających, przez paski, aż po żele z nakładkami. Wybór odpowiedniego produktu może być wyzwaniem, dlatego postaram się przybliżyć ich działanie, skuteczność i potencjalne ryzyka, abyś mógł podjąć świadomą decyzję.
Pasty wybielające: jak wybrać najlepszą i czego realnie można się spodziewać?
Pasty wybielające to najłatwiej dostępny i najczęściej wybierany produkt do domowego rozjaśniania zębów. Ich działanie opiera się głównie na dwóch mechanizmach: ścieraniu osadów powierzchniowych oraz, w niektórych przypadkach, na niskim stężeniu substancji wybielających. Składniki takie jak krzemionka, węglan wapnia czy enzymy (np. papaina, bromelaina) mechanicznie usuwają przebarwienia powstałe od kawy, herbaty czy tytoniu. Niektóre pasty zawierają również niewielkie ilości nadtlenku wodoru, który ma za zadanie delikatnie rozjaśnić zęby.
Czego realnie można się spodziewać? Pasty wybielające mogą rozjaśnić zęby o maksymalnie 1-2 tony, głównie poprzez przywrócenie ich naturalnego koloru, usuwając osady. Nie są w stanie zmienić wewnętrznego koloru zębiny. Są doskonałe do podtrzymywania efektu po profesjonalnym wybielaniu lub dla osób, które chcą delikatnie odświeżyć swój uśmiech. Przy wyborze pasty zwróć uwagę na współczynnik ścieralności (RDA) im niższy, tym bezpieczniejsza dla szkliwa. Pamiętaj też, że regularne stosowanie pasty z fluorem jest kluczowe dla zdrowia zębów.
Paski z żelem wybielającym: szybszy efekt, ale czy dla każdego?
Paski wybielające to popularna opcja dla tych, którzy szukają szybszych i bardziej widocznych efektów niż te oferowane przez pasty. Zawierają one żel z nadtlenkiem wodoru lub karbamidu, który wnika w szkliwo i utlenia przebarwienia. Są uważane za skuteczniejszą metodę niż pasty, pozwalając na rozjaśnienie zębów o kilka odcieni. Efekty zazwyczaj utrzymują się od 3 do 6 miesięcy, w zależności od nawyków żywieniowych i higienicznych.
Jednak paski nie są dla każdego. Główne wady to ryzyko nadwrażliwości zębów, podrażnienia dziąseł (jeśli żel dostanie się na tkanki miękkie) oraz nierównomiernego wybielenia, szczególnie w przypadku krzywych zębów lub nierównych linii dziąseł. Ważne jest, aby dokładnie przestrzegać instrukcji producenta i nie przekraczać zalecanego czasu aplikacji. Zawsze zalecam konsultację z dentystą przed rozpoczęciem stosowania pasków, aby upewnić się, że Twoje zęby i dziąsła są zdrowe i gotowe na taki zabieg.
Żele i nakładki: kiedy warto zainwestować w bardziej zaawansowane systemy?
Żele wybielające, często stosowane w połączeniu z nakładkami, to kolejny krok w domowym wybielaniu. Podobnie jak paski, bazują na nadtlenkach, ale dają większą kontrolę nad aplikacją. Najbezpieczniejszą i najskuteczniejszą opcją są żele stosowane z indywidualnie dopasowanymi nakładkami, które są przygotowywane przez stomatologa na podstawie wycisku Twoich zębów. Takie nakładki idealnie przylegają do zębów, minimalizując kontakt żelu z dziąsłami i zapewniając równomierne rozprowadzenie substancji wybielającej. Stomatolog dobierze również odpowiednie stężenie żelu i ustali plan leczenia.
Na rynku dostępne są również uniwersalne zestawy z żelem i nakładkami, które nie są dopasowane indywidualnie. Ich skuteczność i bezpieczeństwo są niższe niż w przypadku nakładek wykonanych przez dentystę, ponieważ istnieje większe ryzyko podrażnień i nierównomiernego wybielenia. Jeśli decydujesz się na żele i nakładki, zdecydowanie polecam inwestycję w te przygotowane przez stomatologa to gwarancja lepszych efektów i większego bezpieczeństwa.
Inne produkty: płukanki, pisaki i proszki wybielające czy warto je stosować?
Rynek oferuje również szereg innych produktów wybielających, takich jak płukanki, pisaki, proszki (inne niż czysty węgiel aktywny) oraz domowe systemy z lampą LED. Płukanki wybielające zazwyczaj zawierają bardzo niskie stężenia nadtlenków lub składniki neutralizujące przebarwienia. Ich skuteczność jest zazwyczaj minimalna i ogranicza się do odświeżenia oddechu oraz bardzo delikatnego rozjaśnienia powierzchniowego. Pisaki wybielające, choć wygodne w użyciu, również oferują ograniczoną skuteczność ze względu na niskie stężenie substancji aktywnych i punktową aplikację.
Proszki wybielające (inne niż czysty węgiel) mogą działać na zasadzie ścierania, podobnie jak pasty, ale ich formuły bywają różne. Natomiast domowe systemy z lampą LED, naśladujące zabiegi gabinetowe, budzą wiele kontrowersji. Skuteczność i bezpieczeństwo tych domowych urządzeń są często kwestionowane przez specjalistów. Lampa LED w gabinecie stomatologicznym jest znacznie silniejsza i służy do aktywacji żelu o wysokim stężeniu. Domowe lampki LED, w połączeniu z żelami o niskim stężeniu, zazwyczaj nie przynoszą znaczących efektów wybielających i mogą dawać jedynie złudzenie rozjaśnienia poprzez odwodnienie zębów. Moim zdaniem, w przypadku tych produktów, lepiej zachować ostrożność i nie oczekiwać cudów.
Bezpieczne wybielanie zębów w domu: jak uniknąć ryzyka?
Chęć posiadania białego uśmiechu jest zrozumiała, ale pamiętaj, że zdrowie jamy ustnej zawsze powinno być priorytetem. Niewłaściwe wybielanie zębów w domu może prowadzić do poważnych i trwałych konsekwencji. Aby uniknąć ryzyka, należy przestrzegać kilku kluczowych zasad i zawsze mieć na uwadze potencjalne przeciwwskazania. Moim celem jest, abyś wybielał zęby bezpiecznie i świadomie.
Kiedy domowe wybielanie jest absolutnie zakazane? Lista przeciwwskazań
Zanim w ogóle pomyślisz o wybielaniu zębów w domu, musisz wykluczyć pewne stany i choroby, które stanowią bezwzględne przeciwwskazania. Ignorowanie ich może prowadzić do poważnych problemów zdrowotnych. Oto lista, którą zawsze przedstawiam moim pacjentom:
- Próchnica: Wybielanie zębów z ubytkami próchnicowymi może prowadzić do silnego bólu i uszkodzenia miazgi zęba.
- Nieszczelne wypełnienia: Żel wybielający może przeniknąć pod wypełnienie, powodując podrażnienie miazgi i ból.
- Choroby dziąseł i przyzębia: Stany zapalne dziąseł, paradontoza czy recesje dziąseł są bezwzględnym przeciwwskazaniem, gdyż substancje wybielające mogą nasilić te problemy.
- Nadwrażliwość zębów: Osoby cierpiące na nadwrażliwość powinny unikać wybielania, ponieważ może ono znacznie nasilić dolegliwości.
- Ciąża i karmienie piersią: Brak wystarczających badań potwierdzających bezpieczeństwo wybielania w tym okresie, dlatego jest ono odradzane.
- Wiek poniżej 16-18 lat: U młodych osób miazga zęba jest jeszcze duża, a szkliwo nie jest w pełni zmineralizowane, co zwiększa ryzyko uszkodzeń i nadwrażliwości.
- Alergia na składniki preparatu: Zawsze należy sprawdzić skład produktu, aby uniknąć reakcji alergicznych.
Nadwrażliwość i podrażnione dziąsła: najczęstsze skutki uboczne i jak im zapobiegać
Nawet jeśli nie masz żadnych z powyższych przeciwwskazań, domowe wybielanie może wiązać się z pewnymi skutkami ubocznymi. Najczęstszymi z nich są nadwrażliwość zębów (na zimno, ciepło, słodkie) oraz podrażnienia dziąseł. Nadwrażliwość wynika z przejściowego odwodnienia zębów i otwarcia kanalików zębinowych, co sprawia, że bodźce łatwiej docierają do miazgi. Zazwyczaj ustępuje ona po kilku dniach od zakończenia kuracji. Podrażnienia dziąseł pojawiają się, gdy żel wybielający dostanie się na tkanki miękkie stąd tak ważna precyzja aplikacji.
Warto również pamiętać, że wypełnienia, korony, licówki ani martwe zęby nie poddają się wybielaniu. Oznacza to, że po zabiegu ich kolor pozostanie niezmieniony, co może prowadzić do nieestetycznego, nierównomiernego koloru uśmiechu. W takiej sytuacji konieczna może być wymiana uzupełnień na jaśniejsze, co generuje dodatkowe koszty. Aby zapobiegać nadwrażliwości, stosuj pasty do zębów wrażliwych przed i po wybielaniu. Jeśli podrażnienia dziąseł są silne, przerwij kurację i skonsultuj się z dentystą.
Dlaczego wizyta u dentysty PRZED wybielaniem to najlepsza inwestycja w Twój uśmiech?
Mogę to powtórzyć tysiąc razy: wizyta u stomatologa PRZED rozpoczęciem jakiejkolwiek kuracji wybielającej jest absolutnie kluczowa. To nie jest opcja, to konieczność, jeśli zależy Ci na bezpieczeństwie i zdrowiu Twojego uśmiechu. Dentysta przeprowadzi dokładne badanie jamy ustnej, oceni stan zębów i dziąseł, a także wykluczy wszelkie przeciwwskazania, o których wspomniałem wcześniej. Sprawdzi, czy nie masz próchnicy, nieszczelnych wypełnień czy stanów zapalnych dziąseł, które mogłyby zostać pogorszone przez wybielanie. Ponadto, stomatolog może doradzić Ci najlepszą i najbezpieczniejszą metodę wybielania, zarówno domową, jak i gabinetową, dostosowaną do Twoich indywidualnych potrzeb i oczekiwań. Czasem wystarczy profesjonalne czyszczenie zębów (skaling i piaskowanie), aby usunąć osady i przywrócić naturalną biel. Pamiętaj, że inwestycja w konsultację stomatologiczną to inwestycja w Twoje zdrowie i piękny uśmiech na lata.
Utrwalanie efektów wybielania: jak długo cieszyć się białym uśmiechem?
Uzyskanie wymarzonego, białego uśmiechu to dopiero połowa sukcesu. Aby cieszyć się nim jak najdłużej, kluczowe jest odpowiednie utrwalenie efektów wybielania. Bez właściwej pielęgnacji i świadomych nawyków, zęby szybko powrócą do poprzedniego odcienia. Jako ekspert, zawsze podkreślam, że to, co robisz po zabiegu, jest równie ważne, jak sam zabieg. Przygotowałem dla Ciebie praktyczne wskazówki, które pomogą Ci zachować biel na dłużej.
"Biała dieta": kluczowe 14 dni po wybielaniu co jeść, a czego unikać jak ognia?
Okres bezpośrednio po wybielaniu, trwający od 48 godzin do nawet 14 dni, jest kluczowy. W tym czasie szkliwo jest bardziej podatne na przebarwienia, ponieważ kanaliki zębinowe są otwarte. Dlatego niezbędne jest przestrzeganie tzw. "białej diety". To oznacza unikanie wszelkich produktów, które mogłyby ponownie zabarwić Twoje zęby. Co konkretnie powinieneś wyeliminować, a co jest bezpieczne?
Czego unikać jak ognia:
- Kawa, herbata (czarna, zielona, czerwona), napoje gazowane typu cola.
- Czerwone wino, ciemne piwo.
- Soki owocowe (zwłaszcza z ciemnych owoców, np. porzeczkowy, wiśniowy).
- Ciemne owoce (jagody, borówki, wiśnie, jeżyny, maliny).
- Warzywa o intensywnym kolorze (buraki, czerwona kapusta, szpinak, marchew).
- Ciemne sosy (sojowy, balsamiczny, pomidorowy, curry).
- Czekolada, kakao.
- Potrawy z dużą ilością przypraw (kurkuma, papryka).
- Papierosy i inne wyroby tytoniowe.
Produkty zalecane w białej diecie:
- Nabiał (mleko, jogurt naturalny, biały ser, twaróg).
- Drób (kurczak, indyk) i ryby (białe mięso).
- Biały ryż, makaron, pieczywo pszenne.
- Białe warzywa (kalafior, ziemniaki, biała fasola, ogórek, biała rzodkiew).
- Woda mineralna, woda kokosowa.
- Białe owoce (banany, gruszki).
Twoje codzienne nawyki: proste zmiany, które przedłużą efekt o miesiące
Po zakończeniu białej diety, utrzymanie białego uśmiechu zależy od Twoich długoterminowych nawyków. Regularna i prawidłowa higiena jamy ustnej to podstawa. Szczotkuj zęby co najmniej dwa razy dziennie, używając pasty z fluorem i miękkiej szczoteczki. Nie zapominaj o nitkowaniu lub używaniu irygatora, aby usuwać resztki jedzenia i płytkę nazębną z przestrzeni międzyzębowych. Ograniczenie spożycia barwiących napojów i potraw jest również kluczowe jeśli już musisz pić kawę czy herbatę, używaj słomki, aby zminimalizować kontakt z zębami. A co najważniejsze, rzucenie palenia tytoniu to jedna z najlepszych rzeczy, jaką możesz zrobić dla bieli swoich zębów i ogólnego zdrowia. Regularne wizyty kontrolne u stomatologa i profesjonalne czyszczenie zębów (skaling i piaskowanie) co 6-12 miesięcy również pomogą utrzymać efekt wybielania na dłużej.Pasty podtrzymujące efekt: czy specjalistyczna pielęgnacja ma sens?
Tak, stosowanie past podtrzymujących efekt wybielania ma sens i jest ważnym elementem codziennej pielęgnacji po zabiegu. Te pasty są zazwyczaj mniej abrazyjne niż typowe pasty wybielające, ale zawierają składniki, które pomagają delikatnie usuwać nowe osady powierzchniowe i zapobiegać ponownemu przebarwianiu. Często wzbogacone są o fluor, który wzmacnia szkliwo, oraz składniki łagodzące nadwrażliwość. Regularne używanie takiej pasty, w połączeniu z odpowiednią higieną i dietą, znacząco przedłuży trwałość Twojego białego uśmiechu. Pamiętaj jednak, że żadna pasta nie zastąpi profesjonalnego wybielania ani nie zmieni naturalnego koloru zębów w znaczący sposób.
Przeczytaj również: Krwawienie po wyrwaniu zęba: co robić? Szybka pomoc i sygnały alarmowe
Podsumowanie: wybierz najlepszą metodę domowego wybielania zębów
Mam nadzieję, że ten kompleksowy przewodnik rozwiał wiele wątpliwości dotyczących domowego wybielania zębów. Jak widzisz, droga do białego uśmiechu może być prosta i bezpieczna, pod warunkiem, że podejdziesz do niej z rozwagą i świadomością. Pamiętaj, że nie wszystkie popularne metody są skuteczne, a niektóre mogą wręcz zaszkodzić. Kluczem jest wybór sprawdzonego rozwiązania i, co najważniejsze, konsultacja ze stomatologiem przed podjęciem jakichkolwiek działań.
Szybkie porównanie metod: tabela skuteczności, bezpieczeństwa i kosztów
Aby ułatwić Ci podjęcie decyzji, przygotowałem krótkie porównanie najpopularniejszych metod domowego wybielania:
| Metoda | Skuteczność/Bezpieczeństwo | Orientacyjny koszt/uwagi |
|---|---|---|
| Naturalne metody (soda, cytryna, węgiel) | Niska skuteczność, wysokie ryzyko uszkodzenia szkliwa i nadwrażliwości. | Bardzo niski, ale potencjalnie wysokie koszty leczenia uszkodzeń. |
| Pasty wybielające | Niska do umiarkowanej (usuwanie osadów powierzchniowych, 1-2 tony rozjaśnienia). Bezpieczne przy odpowiednim RDA. | Niski do umiarkowanego (kilkanaście-kilkadziesiąt złotych). Dobre do podtrzymywania efektu. |
| Paski z żelem wybielającym | Umiarkowana do wysokiej (kilka odcieni rozjaśnienia). Ryzyko nadwrażliwości i podrażnień. | Umiarkowany (kilkadziesiąt-kilkaset złotych). Efekty 3-6 miesięcy. |
| Żele z nakładkami (od stomatologa) | Wysoka (kilka odcieni rozjaśnienia). Bezpieczne pod nadzorem dentysty. | Wysoki (kilkaset-ponad tysiąc złotych). Najbezpieczniejsza i najskuteczniejsza opcja domowa. |
Ostateczna rekomendacja: wybierz mądrze, a nie pod wpływem mody
Moja ostateczna rekomendacja jest prosta: wybieraj mądrze, a nie pod wpływem chwilowej mody czy kuszących, ale niepotwierdzonych obietnic. Zawsze stawiaj na pierwszym miejscu zdrowie swoich zębów. Jeśli marzysz o białym uśmiechu, zacznij od wizyty u stomatologa. To on najlepiej oceni stan Twojej jamy ustnej, wykluczy przeciwwskazania i pomoże Ci wybrać metodę, która będzie dla Ciebie najbezpieczniejsza i najbardziej efektywna. Pamiętaj, że piękny uśmiech to przede wszystkim zdrowy uśmiech. Nie ryzykuj trwałymi uszkodzeniami dla chwilowego efektu. Inwestuj w sprawdzone rozwiązania i ciesz się bielą, która będzie zarówno estetyczna, jak i bezpieczna dla Twoich zębów.
