Cena aparatu na zęby na noc kompleksowy przewodnik po kosztach i typach retainerów
- Koszt aparatu retencyjnego waha się od 400 zł do 1500 zł za jeden łuk lub komplet, zależnie od jego rodzaju (ruchomy, stały, płytka Hawleya).
- Najpopularniejsze ruchome szyny termoformowalne kosztują od 400 zł do 800 zł za łuk, a stałe retainery od 500 zł do 900 zł za łuk.
- Na ostateczną cenę wpływają: rodzaj aparatu, materiał, miasto oraz renoma gabinetu ortodontycznego.
- Należy liczyć się z dodatkowymi kosztami, takimi jak wizyty kontrolne (150-250 zł), wyciski (100-200 zł) oraz ewentualne naprawy lub wymiana (jak pierwotny koszt lub 100-200 zł).
- Narodowy Fundusz Zdrowia (NFZ) nie refunduje aparatów retencyjnych dla dorosłych; refundacja dla dzieci do 12. roku życia jest ograniczona i rzadko obejmuje retainery.
- Aparat retencyjny należy nosić indywidualnie ustalony czas, często przez kilka lat, a w niektórych przypadkach dożywotnio, aby utrzymać efekty leczenia.
Dlaczego aparat na noc to kluczowa inwestycja po leczeniu ortodontycznym?
Aparat retencyjny, często nazywany po prostu "aparatem na noc", to nic innego jak retainer kluczowy element utrzymania efektów długotrwałego leczenia ortodontycznego. Jego głównym zadaniem jest stabilizacja zębów w nowej, skorygowanej pozycji. Po zdjęciu aparatu stałego, kości i tkanki wokół zębów potrzebują czasu, aby się przebudować i utrwalić nowe ułożenie. Bez retainera, zęby mają naturalną tendencję do powrotu na swoje pierwotne miejsca, co może zniweczyć cały wysiłek i inwestycję w prosty uśmiech. Z mojego doświadczenia wiem, że to właśnie faza retencji jest często bagatelizowana, a to błąd, który może kosztować pacjenta ponowne leczenie.
Skutki braku retencji czy zęby mogą wrócić na stare miejsce?
Niestety, odpowiedź brzmi: tak, zęby mogą wrócić na stare miejsce, a nawet gorzej mogą przesunąć się w zupełnie nieoczekiwane pozycje. Brak regularnego noszenia aparatu retencyjnego prowadzi do tak zwanego nawrotu wady zgryzu. Oznacza to, że zęby, które z takim trudem zostały ustawione w prawidłowej pozycji, zaczną się przemieszczać, powodując stłoczenia, szpary lub inne nieprawidłowości. To nie tylko kwestia estetyki, ale także zdrowia nieprawidłowy zgryz może prowadzić do problemów ze stawem skroniowo-żuchwowym, ścierania zębów czy trudności w utrzymaniu higieny. Dlatego tak ważne jest, aby nie lekceważyć zaleceń ortodonty dotyczących retencji.
Mit kontra rzeczywistość: Jak długo naprawdę trzeba nosić retainer?
Wielu pacjentów pyta mnie, jak długo trzeba nosić aparat retencyjny. Nie ma jednej uniwersalnej odpowiedzi na to pytanie, ponieważ czas noszenia jest ustalany indywidualnie przez ortodontę. Zazwyczaj zaleca się noszenie go każdej nocy przez kilka lat. Jednak w niektórych przypadkach, zwłaszcza gdy wada zgryzu była bardzo zaawansowana lub pacjent ma tendencję do nawrotów, konieczne może być noszenie retainera dożywotnio. Nie jest to jednak tak uciążliwe, jak się wydaje po pewnym czasie staje się to częścią codziennej rutyny, a świadomość, że dzięki temu utrzymujemy piękny uśmiech, jest bardzo motywująca.

Ile kosztuje aparat na zęby na noc? Przegląd cen i czynników wpływających na koszt
Widełki cenowe: Od czego zależy ostateczny koszt Twojego aparatu?
Koszt aparatu retencyjnego w Polsce jest dość zróżnicowany i zależy od kilku kluczowych czynników. Przede wszystkim na cenę wpływa rodzaj aparatu (ruchomy, stały, płytka Hawleya), materiał, z którego jest wykonany, miasto, w którym znajduje się gabinet ortodontyczny (ceny w dużych miastach bywają wyższe), oraz renoma samego gabinetu. Z mojego doświadczenia wynika, że warto zainwestować w sprawdzoną klinikę, nawet jeśli początkowy koszt będzie nieco wyższy, ponieważ jakość wykonania retainera ma bezpośrednie przełożenie na jego skuteczność i trwałość. Ogólne widełki cenowe dla poszczególnych typów aparatów retencyjnych prezentują się następująco:
- Aparat retencyjny ruchomy (szyna termoformowalna): od 400 zł do 800 zł za jeden łuk zębowy. Komplet na obie szczęki to zazwyczaj od 800 zł do 1500 zł.
- Aparat retencyjny stały (drut retencyjny): około 500 zł - 900 zł za jeden łuk.
- Płytka Hawleya: od 600 zł do 1000 zł za jeden łuk.
Ukryte koszty, o których musisz wiedzieć: wizyty kontrolne, wyciski i naprawy
Decydując się na aparat retencyjny, warto pamiętać, że jego zakup to nie jedyny wydatek. Istnieją również dodatkowe koszty, które należy uwzględnić w budżecie:
- Wizyta kontrolna: Po zakończeniu aktywnego leczenia i otrzymaniu retainera, konieczne są regularne wizyty kontrolne u ortodonty. Ich koszt waha się zazwyczaj od 150 zł do 250 zł. Są one kluczowe dla monitorowania stabilności zgryzu i stanu aparatu.
- Wyciski/skany cyfrowe: Do wykonania indywidualnie dopasowanego aparatu niezbędne są wyciski lub coraz częściej skany cyfrowe uzębienia. Koszt tych procedur, jeśli nie jest wliczony w cenę aparatu, to około 100 zł - 200 zł.
- Naprawa lub wymiana aparatu: Aparaty ruchome mogą ulec zużyciu, pęknięciu lub, co gorsza, zagubieniu. Koszt wykonania nowego aparatu ruchomego jest zazwyczaj taki sam jak pierwotnego. W przypadku stałego retainera, naprawa (np. ponowne doklejenie drutu) to koszt rzędu 100 zł - 200 zł. Zawsze zalecam pacjentom, aby dbali o swoje retainery, ponieważ ich wymiana to dodatkowy, często niemały, wydatek.
Rodzaje aparatów retencyjnych wybierz najlepsze rozwiązanie dla siebie
Wybór odpowiedniego aparatu retencyjnego jest kluczowy dla utrzymania efektów leczenia. Ortodonta zawsze doradzi najlepsze rozwiązanie, biorąc pod uwagę indywidualne potrzeby pacjenta i specyfikę wady zgryzu. Poniżej przedstawiam najpopularniejsze typy retainerów.
Przezroczyste szyny (retainery termoformowalne): Wygoda i dyskrecja w cenie
Przezroczyste szyny retencyjne, znane również jako retainery termoformowalne, to obecnie najczęściej wybierany typ aparatu na noc. Wykonuje się je z cienkiego, przezroczystego tworzywa sztucznego na podstawie precyzyjnego wycisku zębów pacjenta. Ich największą zaletą jest dyskrecja i wygoda noszenia są praktycznie niewidoczne i dobrze dopasowane do kształtu zębów. Pacjenci cenią je za łatwość w utrzymaniu higieny i możliwość swobodnego zdejmowania do jedzenia i mycia zębów. Orientacyjna cena za jeden łuk to zazwyczaj od 400 zł do 800 zł.
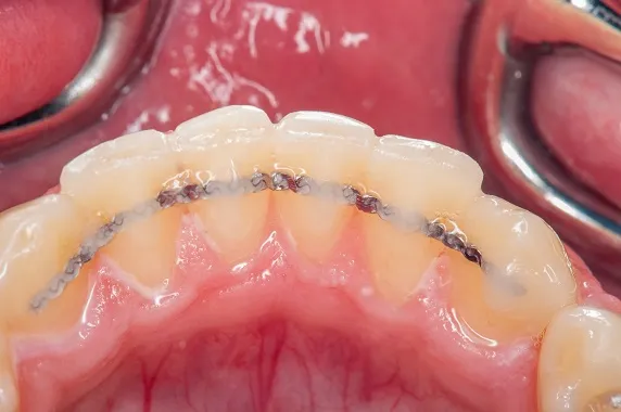
Retainer stały (drut retencyjny): Rozwiązanie "założy i zapomnij"
Retainer stały, czyli drut retencyjny, to cienki, zazwyczaj metalowy drut, który jest przyklejany na stałe do wewnętrznej strony zębów najczęściej od kła do kła, zarówno w szczęce górnej, jak i dolnej. Jego główną zaletą jest to, że jest niewidoczny i nie wymaga pamiętania o jego zakładaniu, co czyni go idealnym rozwiązaniem dla osób, które obawiają się o swoją samodyscyplinę. Jest bardzo komfortowy i nie przeszkadza w codziennym funkcjonowaniu. Wymaga jednak większej dbałości o higienę, szczególnie w okolicach drutu, aby zapobiec gromadzeniu się płytki nazębnej. Koszt założenia stałego retainera na jeden łuk to około 500 zł - 900 zł.
Klasyczna płytka Hawleya: Trwałość i jej specyfika
Klasyczna płytka Hawleya to tradycyjny aparat ruchomy, który składa się z akrylowej płytki, dopasowanej do podniebienia lub języka, oraz metalowego łuku, który przechodzi po zewnętrznej stronie zębów. Jest to rozwiązanie bardzo trwałe i skuteczne, zwłaszcza w przypadku konieczności utrzymania określonych korekt. Płytka Hawleya jest jednak mniej estetyczna i komfortowa niż przezroczyste szyny, ponieważ jest bardziej widoczna i może początkowo wpływać na mowę. Mimo to, w niektórych przypadkach ortodonci wciąż ją zalecają ze względu na jej specyficzne właściwości retencyjne. Cena za jeden łuk wynosi od 600 zł do 1000 zł.
Porównanie w tabeli: Plusy i minusy każdego rozwiązania
Aby ułatwić Państwu podjęcie decyzji, przygotowałem krótkie porównanie trzech głównych typów aparatów retencyjnych:
| Typ aparatu | Zalety | Wady | Orientacyjna cena (za łuk) |
|---|---|---|---|
| Przezroczyste szyny (retainery termoformowalne) | Dyskrecja, wygoda, łatwość w utrzymaniu higieny, możliwość zdejmowania | Mniejsza trwałość niż płytka Hawleya, ryzyko zagubienia, konieczność pamiętania o noszeniu | 400 zł - 800 zł |
| Retainer stały (drut retencyjny) | Niewidoczny, komfortowy, nie wymaga pamiętania o zakładaniu, stała retencja | Wymaga większej dbałości o higienę, trudniejszy w czyszczeniu, możliwość odklejenia się | 500 zł - 900 zł |
| Klasyczna płytka Hawleya | Bardzo trwała, skuteczna w utrzymaniu korekt, możliwość regulacji | Mniej estetyczna, mniej komfortowa, może wpływać na mowę, konieczność pamiętania o noszeniu | 600 zł - 1000 zł |
Proces zamawiania i dopasowania aparatu retencyjnego co musisz wiedzieć?
Proces uzyskania aparatu retencyjnego jest zazwyczaj prosty i szybki, ale wymaga precyzji, aby zapewnić idealne dopasowanie i skuteczność.
Pierwsza wizyta po leczeniu: Wyciski czy skanowanie 3D?
Po zdjęciu aparatu stałego, kluczowym krokiem jest pobranie wycisków lub wykonanie skanów 3D uzębienia. Wyciski to tradycyjna metoda, polegająca na odciśnięciu kształtu zębów w specjalnej masie. Coraz częściej jednak gabinety ortodontyczne wykorzystują nowoczesne skanery 3D, które pozwalają na stworzenie cyfrowego modelu szczęki w zaledwie kilka minut. Jest to metoda szybsza, bardziej komfortowa dla pacjenta i niezwykle precyzyjna. Na podstawie tych danych technik dentystyczny wykonuje indywidualnie dopasowany aparat retencyjny.
Czas oczekiwania i odbiór: Jak długo potrwa wykonanie Twojego retainera?
Typowy czas oczekiwania na wykonanie aparatu retencyjnego wynosi zazwyczaj od kilku dni do około dwóch tygodni. Wszystko zależy od obłożenia laboratorium protetycznego oraz gabinetu ortodontycznego. Po wykonaniu retainera, pacjent jest zapraszany na wizytę odbiorczą. Podczas tej wizyty ortodonta sprawdza dopasowanie aparatu, upewnia się, że jest on komfortowy i nie powoduje podrażnień. To także moment na przekazanie szczegółowych instrukcji dotyczących noszenia i pielęgnacji.
Instrukcja obsługi: Jak prawidłowo zakładać i zdejmować aparat?
Prawidłowe zakładanie i zdejmowanie ruchomego aparatu retencyjnego jest kluczowe dla jego skuteczności i trwałości. Oto ogólne wskazówki, które zazwyczaj przekazuję moim pacjentom:
- Zakładanie: Upewnij się, że aparat jest czysty. Delikatnie umieść go na zębach, zaczynając od tyłu, a następnie równomiernie dociskaj palcami (nigdy nie zagryzaj!), aż poczujesz, że idealnie przylega. Powinien leżeć stabilnie i nie "latać".
- Zdejmowanie: Zawsze zdejmuj aparat obiema rękami, równomiernie, zaczynając od tylnych zębów. Unikaj szarpania za jeden koniec, aby nie wygiąć ani nie uszkodzić aparatu. Nigdy nie używaj ostrych przedmiotów do podważania retainera.
- Pamiętaj: Zawsze postępuj zgodnie z instrukcjami swojego ortodonty, ponieważ każdy aparat może mieć swoje specyficzne cechy.
Pielęgnacja i higiena aparatu retencyjnego zadbaj o jego trwałość
Odpowiednia pielęgnacja aparatu retencyjnego jest tak samo ważna, jak jego regularne noszenie. Dzięki temu zapewnisz mu długą żywotność i unikniesz problemów zdrowotnych.
Codzienne czyszczenie: Czym myć, a czego unikać, by nie zniszczyć aparatu?
Higiena aparatu retencyjnego to podstawa. Oto kilka wskazówek:
-
Ruchome aparaty (szyny, płytki Hawleya):
- Po każdym zdjęciu aparatu, opłucz go pod bieżącą, letnią wodą.
- Przynajmniej raz dziennie, najlepiej rano i wieczorem, dokładnie wyczyść aparat miękką szczoteczką (może być oddzielna, przeznaczona tylko do aparatu) i delikatnym mydłem w płynie lub specjalną pastą do protez. Unikaj zwykłej pasty do zębów, ponieważ jej drobinki ścierne mogą porysować powierzchnię aparatu, tworząc miejsca dla bakterii.
- Co jakiś czas możesz użyć specjalnych tabletek do czyszczenia protez lub aparatów ortodontycznych, które skutecznie usuwają osady i bakterie.
- Czego unikać: Gorącej wody (może odkształcić aparat), silnych środków chemicznych i ściernych past.
-
Stałe retainery (druty retencyjne):
- Wymagają szczególnej dbałości o higienę wokół drutu. Używaj nici dentystycznej ze specjalnym nawlekaczem lub szczoteczek międzyzębowych, aby dokładnie czyścić przestrzenie pod drutem i między zębami.
- Regularne wizyty u higienistki stomatologicznej są kluczowe, aby profesjonalnie usunąć kamień nazębny gromadzący się wokół retainera.
Przechowywanie aparatu nocnego: Klucz do uniknięcia zagubienia i uszkodzeń
Kiedy nie nosisz swojego ruchomego aparatu retencyjnego, zawsze przechowuj go w specjalnym, wentylowanym etui. To absolutna podstawa! Wiele razy widziałem, jak pacjenci gubili swoje retainery, owijając je w serwetki, które później lądowały w koszu, albo zostawiali je na otwartej przestrzeni, narażając na uszkodzenia przez zwierzęta domowe. Etui chroni aparat przed zanieczyszczeniami, uszkodzeniami mechanicznymi i, co najważniejsze, przed zagubieniem. Zawsze podkreślam, że odpowiednie przechowywanie to inwestycja w trwałość aparatu i oszczędność nerwów.
Co robić, gdy aparat pęknie lub się zgubi? Procedura awaryjna
Jeśli aparat retencyjny pęknie, odkształci się lub, co gorsza, zostanie zgubiony, niezwłocznie skontaktuj się z ortodontą. Każdy dzień bez retainera zwiększa ryzyko przesunięcia się zębów i nawrotu wady. Ortodonta oceni sytuację i zdecyduje, czy konieczna jest naprawa (w przypadku stałego retainera) czy wykonanie nowego aparatu. Pamiętaj, że koszt wykonania nowego aparatu ruchomego jest zazwyczaj taki sam jak pierwotnego, a naprawa stałego retainera to również dodatkowy wydatek. Szybka reakcja to klucz do zminimalizowania szkód i dodatkowych kosztów.
Finansowanie i refundacja czy możesz obniżyć koszt aparatu retencyjnego?
Koszty leczenia ortodontycznego, w tym aparatów retencyjnych, mogą być znaczące. Warto zatem sprawdzić dostępne opcje finansowania i ewentualnej refundacji.
Aparat na noc na NFZ: Kto może liczyć na dofinansowanie?
Wielu pacjentów pyta mnie o możliwość refundacji aparatu retencyjnego przez Narodowy Fundusz Zdrowia. Niestety, muszę jasno powiedzieć, że NFZ nie refunduje kosztów aparatów retencyjnych dla dorosłych. Leczenie ortodontyczne dorosłych jest w Polsce świadczeniem w pełni prywatnym. Refundacja leczenia ortodontycznego, w tym aparatów ruchomych, jest możliwa tylko dla dzieci do 12. roku życia. Jednak nawet w ich przypadku, aparaty retencyjne po zakończeniu aktywnego leczenia zazwyczaj nie są objęte tym świadczeniem, co oznacza, że rodzice muszą pokryć ich koszt w całości. To ważna informacja, którą zawsze przekazuję pacjentom na początku leczenia, aby mogli odpowiednio zaplanować budżet.
Płatność w ratach w gabinecie ortodontycznym: Czy to popularna opcja?
Wiele gabinetów ortodontycznych, wychodząc naprzeciw potrzebom pacjentów, oferuje możliwość płatności w ratach. Jest to bardzo popularna opcja, która pozwala rozłożyć koszty leczenia, w tym zakupu aparatu retencyjnego, na dogodne miesięczne wpłaty. Warunki ratalne mogą się różnić w zależności od kliniki, dlatego zawsze warto zapytać o nie podczas pierwszej wizyty konsultacyjnej. To świetne rozwiązanie, które sprawia, że profesjonalna opieka ortodontyczna staje się bardziej dostępna.
Przeczytaj również: Aparat na zęby: Gdzie założyć? Pełny koszt, typy, NFZ i porady
Prywatne ubezpieczenie zdrowotne a koszty retencji
Jeśli posiadasz prywatne ubezpieczenie zdrowotne, warto dokładnie sprawdzić warunki swojej polisy. Niektóre pakiety ubezpieczeniowe mogą w pewnym stopniu pokrywać koszty leczenia ortodontycznego, w tym również fazy retencji. Zakres świadczeń jest jednak bardzo zróżnicowany i zależy od konkretnego ubezpieczyciela i wybranego wariantu polisy. Zawsze zalecam pacjentom, aby skontaktowali się ze swoim ubezpieczycielem i dopytali o szczegóły, zanim podejmą decyzję o leczeniu. Może się okazać, że część kosztów zostanie zrefundowana, co znacząco odciąży domowy budżet.
