Wielu moich pacjentów, gdy słyszy diagnozę paradontozy, od razu zadaje to samo pytanie: „Kiedy wypadną mi zęby?”. To naturalna obawa, bo wizja utraty uzębienia jest dla każdego przerażająca. Paradontoza to podstępna choroba, która faktycznie może prowadzić do takiego scenariusza, ale chcę Państwa uspokoić utrata zębów nie jest nieuniknionym wyrokiem. Dzięki nowoczesnej stomatologii i wczesnej interwencji możemy skutecznie zatrzymać jej postęp. W tym artykule wyjaśnię, na jakim etapie choroby ryzyko staje się realne i co najważniejsze, jakie skuteczne metody leczenia są dostępne, aby Państwa zęby pozostały na swoim miejscu.
Utrata zębów w paradontozie to ostatnie stadium, ale nie wyrok co musisz wiedzieć.
- Paradontoza to przewlekła choroba infekcyjna, która prowadzi do stopniowego zaniku kości podtrzymującej zęby.
- Zęby wypadają w zaawansowanym stadium choroby, gdy zanik kości przekracza krytyczny poziom (zazwyczaj 50-70%).
- Kluczowe objawy zwiastujące wysokie ryzyko utraty zębów to ruchomość III stopnia, głębokie kieszonki dziąsłowe (>6 mm) oraz odsłonięcie szyjek zębowych.
- Nowoczesne metody leczenia, takie jak kiretaż, chirurgia regeneracyjna i szynowanie, mogą skutecznie zatrzymać postęp paradontozy i uratować nawet ruszające się zęby.
- Wczesna diagnoza i interwencja periodontologa są kluczowe, ponieważ paradontoza jest chorobą przewlekłą, której postęp można zatrzymać, ale nie wyleczyć całkowicie.
- Paradontoza dotyka nawet 70% Polaków po 35. roku życia i jest główną przyczyną utraty zębów, obok próchnicy.
Paradontoza, czyli zapalenie przyzębia, to nic innego jak przewlekła choroba infekcyjna, która atakuje tkanki otaczające ząb: dziąsła, kość wyrostka zębodołowego, ozębną i cement korzeniowy. Zaczyna się niewinnie, często od zapalenia dziąseł, które jest stanem odwracalnym. Niestety, jeśli nie zostanie odpowiednio wcześnie zdiagnozowane i leczone, przechodzi w bardziej zaawansowaną formę paradontozę. W tym stadium dochodzi już do nieodwracalnej destrukcji kości, która stanowi fundament dla naszych zębów.
To właśnie postępujący zanik kości jest bezpośrednią przyczyną utraty zębów. Bakterie gromadzące się w płytce nazębnej i kamieniu wywołują stan zapalny, który stopniowo niszczy struktury podtrzymujące ząb. Z czasem kość staje się coraz słabsza, a zęby tracą swoje stabilne umocowanie. Niestety, problem ten jest w Polsce powszechny. Szacuje się, że paradontoza dotyka nawet 70% Polaków po 35. roku życia i jest, obok próchnicy, główną przyczyną utraty zębów w tej grupie wiekowej. Wiele przypadków jest diagnozowanych zbyt późno, gdy choroba jest już w zaawansowanym stadium.
Moim zadaniem jako periodontologa jest nie tylko leczenie, ale przede wszystkim edukacja. Zrozumienie, jak postępuje choroba i jakie objawy powinny nas zaalarmować, jest kluczowe, aby podjąć działania, zanim będzie za późno.

Krytyczny moment: objawy zwiastujące wypadanie zębów
Jednym z najważniejszych i najbardziej niepokojących objawów zaawansowanej paradontozy jest ruchomość zębów. To sygnał, że kość, która powinna stabilnie utrzymywać ząb, jest już w znacznym stopniu zniszczona. Stomatolodzy wyróżniają trzy stopnie ruchomości:
- Stopień I: Ząb porusza się minimalnie, w zakresie do 1 mm w poziomie. Często jest to zauważalne tylko przez lekarza.
- Stopień II: Ruchomość jest wyraźniejsza, przekracza 1 mm w poziomie. Pacjent może już sam ją odczuwać, np. podczas gryzienia.
- Stopień III: To najbardziej zaawansowany stopień, gdzie ząb porusza się w kilku płaszczyznach, w tym pionowej. Jest to bezpośrednie zagrożenie utraty zęba, często wymagające pilnej interwencji.
Kolejnym istotnym wskaźnikiem są kieszonki przyzębne. To przestrzenie, które tworzą się między dziąsłem a zębem w wyniku destrukcji tkanek. Prawidłowa głębokość szczeliny dziąsłowej wynosi zazwyczaj 2-3 mm. Jeśli jednak pomiar sondą periodontologiczną wykazuje głębokość powyżej 6 mm, świadczy to o zaawansowanej chorobie i znacznym zaniku kości. W takich kieszonkach gromadzą się bakterie, które są trudno dostępne dla szczoteczki, co sprzyja dalszemu postępowi infekcji i niszczeniu kości.
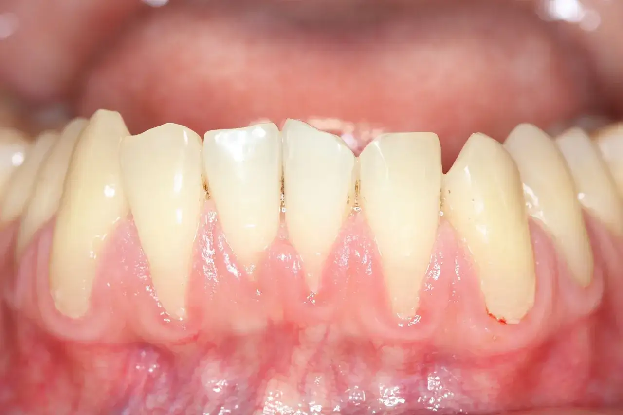
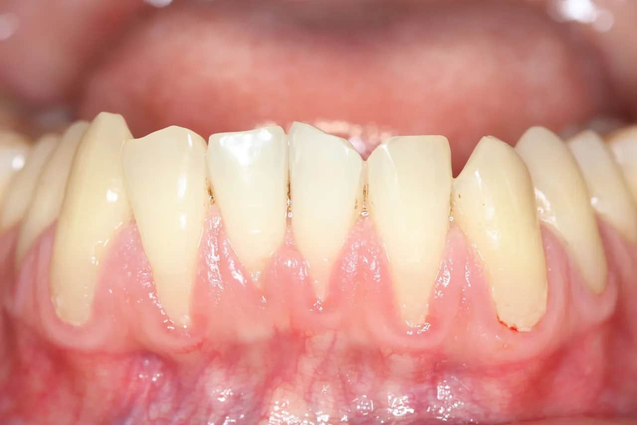
Cofanie się dziąseł, czyli tak zwana recesja dziąseł, to kolejny symptom, który powinien wzbudzić naszą czujność. Zęby zaczynają wydawać się "dłuższe", ponieważ odsłaniają się ich szyjki, a nawet korzenie. To nie tylko problem estetyczny, ale także funkcjonalny odsłonięte powierzchnie korzeni są bardziej wrażliwe na zmiany temperatury i podatne na próchnicę. W zaawansowanych stadiach paradontozy możemy również zaobserwować przesuwanie się zębów, powstawanie między nimi szpar, a nawet ich wychylanie się, co zmienia estetykę uśmiechu i zaburza zgryz.
W zaawansowanych stadiach paradontozy mogą pojawić się również ropnie przyzębne. Są to bolesne, opuchnięte zmiany na dziąsłach, często z widocznym wyciekiem ropy. Świadczą one o ostrej infekcji bakteryjnej w głębokich kieszonkach przyzębnych. Pojawienie się ropnia to sygnał alarmowy, który wymaga natychmiastowej interwencji stomatologa, ponieważ może prowadzić do szybkiej utraty zęba i rozprzestrzenienia się infekcji.
Kiedy dokładnie zęby wypadają? Analiza etapów choroby
Warto podkreślić, że utrata zębów nie następuje z dnia na dzień. Paradontoza to choroba postępująca etapami. W fazie początkowej i umiarkowanej, kiedy zanik kości jest niewielki lub średni, a ruchomość zębów nie jest jeszcze znaczna, choroba jest w pełni do zatrzymania. Przy odpowiednim leczeniu periodontologicznym, regularnych wizytach kontrolnych i skrupulatnej higienie, utrata zębów na tych etapach nie jest zagrożeniem. Kluczem jest tutaj wczesna diagnoza i konsekwentne działanie.
Niestety, zęby wypadają w zaawansowanym stadium paradontozy. Dzieje się tak, gdy zanik kości wyrostka zębodołowego, czyli tej struktury, która utrzymuje ząb w szczęce lub żuchwie, przekracza krytyczny poziom często jest to ponad 50-70% utraty kości. Wówczas ząb traci swoje stabilne umocowanie, zaczyna się ruszać w stopniu III, a jego utrzymanie staje się niemożliwe. W takiej sytuacji ząb albo wypada samoistnie, albo wymaga ekstrakcji, aby zapobiec dalszym komplikacjom i rozprzestrzenianiu się infekcji.
Czy ruszający się ząb można uratować? Tak, w wielu przypadkach jest to możliwe dzięki specjalistycznemu leczeniu periodontologicznemu, jak kiretaż, regeneracja kości i szynowanie.

Stop! Utrata zębów to nie wyrok nowoczesne leczenie w Polsce
Dobra wiadomość jest taka, że utrata zębów w wyniku paradontozy nie jest nieunikniona. Współczesna periodontologia oferuje szereg skutecznych metod leczenia, które mogą zatrzymać postęp choroby, a nawet uratować zęby, które już zaczęły się ruszać. Kluczowe jest tutaj wczesne rozpoznanie i podjęcie współpracy ze specjalistą.
Podstawą leczenia paradontozy jest skaling i root planing, czyli kiretaż. To zabieg głębokiego, profesjonalnego czyszczenia powierzchni korzeni zębów. Wykonuje się go w znieczuleniu miejscowym, aby zapewnić pacjentowi komfort. Polega na usunięciu kamienia nazębnego i płytki bakteryjnej z kieszonek dziąsłowych oraz wygładzeniu powierzchni korzeni. Ma to na celu eliminację siedlisk bakterii i umożliwienie dziąsłom ponownego przylegania do czystej powierzchni zęba. To fundament, bez którego dalsze leczenie nie przyniesie trwałych efektów.W przypadkach, gdy doszło już do znacznego zaniku kości, możemy zastosować zabiegi chirurgii regeneracyjnej. Ich celem jest odbudowa utraconej tkanki kostnej i tkanek przyzębia. Wykorzystuje się do tego różnego rodzaju materiały kościozastępcze, które stymulują wzrost nowej kości, oraz specjalne błony zaporowe, które chronią nowo tworzącą się tkankę przed wrastaniem komórek nabłonka. Coraz częściej stosujemy także preparaty takie jak Emdogain, które zawierają białka macierzy szkliwa, stymulujące naturalną regenerację tkanek przyzębia. Dzięki tym technikom możemy znacząco poprawić stabilność zębów i przedłużyć ich żywotność.
Jeśli zęby są już ruchome, ale nadal jest szansa na ich uratowanie, często stosujemy szynowanie zębów. Polega to na połączeniu kilku ruszających się zębów w jeden stabilny blok za pomocą specjalnej szyny, najczęściej wykonanej z włókna szklanego i kompozytu. Szyna ta jest niewidoczna i trwale przytwierdzona do zębów. Jej zadaniem jest stabilizacja zębów, odciążenie ich od nadmiernych sił żucia i rozłożenie obciążenia na większą powierzchnię. Daje to tkankom przyzębia czas na regenerację i wzmocnienie, a pacjentowi poprawia komfort gryzienia i poczucie bezpieczeństwa.

Przeczytaj również: NFZ u dentysty: Białe plomby, kanałowe, protezy co jest darmowe?
Co możesz zrobić już dziś, aby zapobiec najgorszemu?
Nawet najlepsze leczenie periodontologiczne nie przyniesie trwałych rezultatów bez zaangażowania pacjenta w codzienną, prawidłową higienę jamy ustnej. To absolutna podstawa w walce z paradontozą. Oto kluczowe narzędzia i techniki, które polecam:
- Dokładne szczotkowanie zębów: Minimum dwa razy dziennie, przez dwie minuty, miękką szczoteczką (manualną lub elektryczną/soniczną), z naciskiem na linię dziąseł.
- Nici dentystyczne lub szczoteczki międzyzębowe: Niezbędne do usuwania płytki i resztek pokarmu z przestrzeni międzyzębowych, gdzie szczoteczka nie dociera.
- Irygatory stomatologiczne: Skutecznie wypłukują resztki pokarmu i bakterie z kieszonek dziąsłowych i trudno dostępnych miejsc.
- Płyny do płukania ust: Wspomagają redukcję bakterii, ale nie zastępują szczotkowania i nitkowania.
