Aparaty na zęby: Jaki wybrać? Typy, koszty, dyskrecja.
Zastanawiasz się, jakie aparaty na zęby wybrać? Poznaj typy (stałe, ruchome, nakładki), koszty i różnice. Przewodnik pomoże podjąć świadomą decyzję.
Zastanawiasz się, jakie aparaty na zęby wybrać? Poznaj typy (stałe, ruchome, nakładki), koszty i różnice. Przewodnik pomoże podjąć świadomą decyzję.
Zastanawiasz się, jakie aparaty na zęby wybrać? Poznaj typy (stałe, ruchome, nakładki), koszty i różnice. Przewodnik pomoże podjąć świadomą decyzję.
Krwawiące i bolące dziąsła? Odkryj skuteczne domowe sposoby, apteczne preparaty i zasady profilaktyki. Dowiedz się, kiedy iść do dentysty!
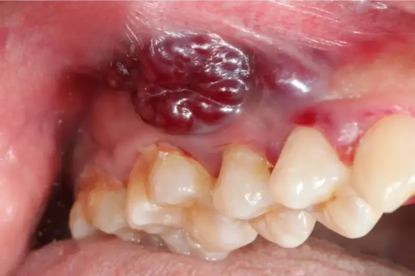
Rak jamy ustnej: poznaj wczesne objawy i sygnały alarmowe. Dowiedz się, jak rozpoznać niepokojące zmiany i dlaczego szybka diagnostyka ratuje życie. Sprawdź nasz poradnik.
Kiedy pierwsza wizyta u dentysty? Poznaj zalecenia ekspertów, jak przygotować dziecko i zadbać o jego zdrowy uśmiech bez strachu. Sprawdź!
Ile zarabia dentysta w Polsce? Poznaj realne zarobki stomatologów, medianę (12 500 PLN) i kluczowe czynniki: specjalizację, doświadczenie, formę zatrudnienia. Sprawdź!
Naucz się, jak prawidłowo płukać dziąsła szałwią na stany zapalne i krwawienie. Sprawdź przepis, technikę, przeciwwskazania i kiedy iść do dentysty.
Ile kosztuje aparat na zęby na noc? Poznaj ceny retainerów, rodzaje, ukryte koszty i zasady pielęgnacji. Sprawdź, jak utrzymać piękny uśmiech!
Ile kosztuje bonding zębów? Sprawdź widełki cenowe, ukryte koszty, czynniki wpływające na cenę i porównanie z licówkami. Dowiedz się, czy to dla Ciebie!
Wybierz idealną szczoteczkę soniczną dla dziecka! Przewodnik eksperta po wieku, funkcjach i rankingach. Uniknij błędów i zadbaj o zdrowy uśmiech. Sprawdź!
Kiedy pierwsza wizyta u dentysty z dzieckiem? Poznaj rekomendacje ekspertów, jak przygotować malucha i co refunduje NFZ. Zadbaj o zdrowy uśmiech!
Czy ząb mleczny z próchnicą trzeba usunąć? Poznaj konsekwencje, nowoczesne metody leczenia i wskazania do ekstrakcji. Podejmij świadomą decyzję!
Grzybica jamy ustnej? Poznaj objawy, przyczyny i skuteczne metody leczenia: domowe sposoby, leki bez recepty i na receptę. Odkryj dietę antygrzybiczą!
Zobacz, jak wyglądają aparaty na zęby: metalowe, estetyczne, lingwalne i nakładki. Porównaj ich wygląd, dyskrecję i personalizację. Wybierz idealny dla siebie!
Podrażnione dziąsła? Poznaj przyczyny, skuteczne domowe sposoby i apteczne preparaty. Sprawdź, kiedy konieczna jest wizyta u stomatologa!
Bolące dziąsła? Szałwia czy rumianek które zioło wybrać? Sprawdź ich działanie, wskazania i przepisy na płukanki. Znajdź ulgę dla swoich dziąseł!
Czym płukać jamę ustną po wyrwaniu zęba? Odkryj bezpieczne metody i domowe sposoby, by przyspieszyć gojenie i uniknąć suchego zębodołu. Sprawdź nasz poradnik!
Ząb 26 lewa górna szóstka. Zrozum jego numerację, anatomię, najczęstsze problemy (próchnica, leczenie kanałowe) i jak o niego dbać. Czytaj więcej!
Zastanawiasz się, jak działa aparat na zęby? Poznaj etapy leczenia, rodzaje aparatów, praktyczne porady i pełne koszty. Odkryj drogę do prostego uśmiechu!
Jak jeść po wizycie u dentysty? Poznaj zasady diety po plombie, ekstrakcji czy leczeniu kanałowym. Uniknij bólu i powikłań. Sprawdź, co możesz jeść!
Ząbkowanie to wyzwanie. Poznaj bezpieczne i skuteczne sposoby na swędzące dziąsła u niemowląt: domowe triki, żele i porady, kiedy iść do lekarza. Szybka ulga dla maluszka!
Czy szczoteczka soniczna jest dla Ciebie? Poznaj jej zalety, wady i porównaj z rotacyjną. Sprawdź, jak wybrać idealny model i zadbać o uśmiech!
Ile zarabia dentysta prywatnie? Poznaj realne dochody, koszty gabinetu i wpływ specjalizacji. Sprawdź, gdzie opłaca się otworzyć praktykę!
Kto zakłada aparat na zęby? Tylko wykwalifikowany ortodonta! Poznaj jego kompetencje, etapy leczenia i uniknij powikłań. Sprawdź nasz przewodnik.
Ile zębów ma dorosły człowiek? Poznaj standardową liczbę (32/28), rolę siekaczy i trzonowców, anomalie i jak dbać o pełny uśmiech na lata. Sprawdź!
Wybielanie zębów: kompleksowy poradnik eksperta. Poznaj metody, bezpieczeństwo, przeciwwskazania i białą dietę. Zadbaj o jasny uśmiech!
Boli Cię rana na dziąśle? Poznaj skuteczne domowe sposoby i apteczne preparaty. Dowiedz się, kiedy iść do dentysty i jak zapobiegać nawrotom. Sprawdź!
Szybka ulga przy zapaleniu jamy ustnej. Poznaj sprawdzone domowe metody, leki OTC na afty, pleśniawki i opryszczkę. Dowiedz się, kiedy szukać pomocy.