Jako ekspert w dziedzinie zdrowia jamy ustnej, wiem, jak wiele niepokoju może wywołać każda nietypowa zmiana w ustach. Ten artykuł ma za zadanie dostarczyć Ci szczegółowych informacji na temat objawów raka jamy ustnej, aby pomóc w identyfikacji potencjalnie niepokojących sygnałów i zrozumieniu, dlaczego wczesna diagnostyka jest absolutnie kluczowa. Moim celem jest edukacja i zmotywowanie Cię do podjęcia szybkich kroków w przypadku jakichkolwiek wątpliwości pamiętaj, że Twoje zdrowie jest w Twoich rękach.
Jak rozpoznać raka jamy ustnej? Kluczowe objawy i wczesne sygnały
- Białe lub czerwone plamy (leukoplakia, erytroplakia) na błonie śluzowej, których nie da się zetrzeć.
- Niegojące się owrzodzenia lub ranki w jamie ustnej, utrzymujące się dłużej niż 2-3 tygodnie.
- Wyczuwalne guzki lub zgrubienia pod błoną śluzową, nawet bez bólu.
- Trudności w przełykaniu, mówieniu lub poruszaniu językiem, które narastają.
- Powiększone, twarde i niebolesne węzły chłonne na szyi.
- Ból promieniujący do ucha lub niespodziewane chwianie się zębów.
Dlaczego wczesne wykrycie raka jamy ustnej jest kluczowe dla Twojego zdrowia?
Wczesne wykrycie raka jamy ustnej to absolutna podstawa w walce z tą chorobą. W Polsce nowotwory jamy ustnej i gardła stanowią około 3% wszystkich nowotworów złośliwych, a rocznie diagnozuje się około 3500-4000 nowych przypadków. To znaczące liczby, które powinny wzbudzać naszą czujność. Niestety, często spotykam się z sytuacją, gdy pacjenci zgłaszają się do mnie zbyt późno.
Niestety, wskaźniki przeżywalności są stosunkowo niskie (ok. 50% w ciągu 5 lat), głównie z powodu późnego wykrywania choroby.
Warto również zauważyć, że obserwujemy wzrost zachorowań u osób młodszych, co jest wiązane z infekcjami wirusem HPV. To pokazuje, że rak jamy ustnej nie jest już wyłącznie problemem seniorów, a świadomość zagrożenia powinna być powszechna, niezależnie od wieku.
Czym są stany przedrakowe? Pierwszy sygnał ostrzegawczy, którego nie wolno ignorować
Zanim dojdzie do rozwoju pełnoobjawowego raka, często pojawiają się tzw. stany przedrakowe. Są to zmiany w błonie śluzowej jamy ustnej, które mogą, ale nie muszą, przekształcić się w nowotwór złośliwy. Ich wczesne rozpoznanie i odpowiednie leczenie jest absolutnie kluczowe dla zapobiegania rozwojowi raka. Ignorowanie tych pierwszych sygnałów to prosta droga do poważniejszych problemów.

Wczesne stadium raka jamy ustnej: subtelne zmiany, których nie wolno przegapić
Wczesne objawy raka jamy ustnej są często podstępne mogą być niebolesne i łatwo przeoczone. Dlatego właśnie tak ważne jest regularne samobadanie i świadomość, na co zwracać uwagę. Moje doświadczenie pokazuje, że wiele osób bagatelizuje te pierwsze sygnały, co niestety opóźnia diagnozę.
Białe i czerwone plamy (leukoplakia i erytroplakia): kiedy powinny wzbudzić Twój niepokój?
Jednymi z najbardziej typowych wczesnych zmian są plamy na błonie śluzowej. Leukoplakia to białe plamy lub smugi, których nie da się zetrzeć. Często pojawiają się na języku, policzkach czy dnie jamy ustnej. Uważa się je za stan przedrakowy około 5-10% tych zmian ulega transformacji nowotworowej. Nie lekceważ ich.
Jeszcze bardziej niepokojąca jest erytroplakia czerwone, aksamitne plamy, często lekko zagłębione. Mają one znacznie wyższy potencjał zezłośliwienia niż leukoplakia, sięgający nawet do 50%. Jeśli zauważysz u siebie takie zmiany, niezależnie od tego, czy bolą, czy nie, natychmiast skonsultuj się z lekarzem. Czas odgrywa tu kluczową rolę.
Niegojąca się ranka lub owrzodzenie: jak odróżnić ją od zwykłej afty?
Wielu pacjentów myli niepokojące owrzodzenia z pospolitymi aftami. Kluczowa różnica leży w czasie gojenia i charakterystyce zmiany. Niepokojące owrzodzenie lub nadżerka to zazwyczaj mała, ale niegojąca się przez 2-3 tygodnie ranka, nawet jeśli nie jest bolesna. Często ma lekko uniesione, wałowate brzegi. Afty z reguły goją się znacznie szybciej (w ciągu kilku dni do tygodnia) i mają bardziej regularne, często białe otoczenie. Każda przewlekła ranka w ustach wymaga profesjonalnej oceny.
Mały guzek lub zgrubienie: co może oznaczać nietypowa zmiana w dotyku?
Podczas samobadania jamy ustnej, nie tylko wzrok jest ważny. Wyczuwalne palcem lub językiem stwardnienie pod błoną śluzową, czyli guzek lub zgrubienie, jest również bardzo niepokojącym objawem. Nawet jeśli nie jest bolesne, może świadczyć o rozwijającym się nowotworze. Zawsze zwracam uwagę moim pacjentom, aby dotykali i sprawdzali konsystencję tkanek w ustach.
Najczęstsze lokalizacje wczesnych zmian: gdzie patrzeć podczas samobadania?
Wiedza o najczęstszych lokalizacjach raka jamy ustnej w Polsce jest niezwykle pomocna podczas samobadania. Z moich obserwacji i danych wynika, że szczególnie należy zwracać uwagę na:
- Język, zwłaszcza jego boczne powierzchnie.
- Dno jamy ustnej.
- Błonę śluzową policzków.
- Dziąsła.
- Podniebienie twarde.
- Wargi, zwłaszcza dolną.
Zachęcam do dokładnego i systematycznego samobadania tych obszarów, najlepiej raz w miesiącu, przy dobrym oświetleniu.

Zaawansowany rak jamy ustnej: objawy, których nie sposób zignorować
Kiedy rak jamy ustnej osiąga zaawansowane stadium, objawy stają się znacznie bardziej widoczne i często bolesne. Niestety, świadczy to o późnym etapie choroby, co znacząco utrudnia leczenie. W tym momencie interwencja medyczna jest już pilna i zazwyczaj bardziej inwazyjna.
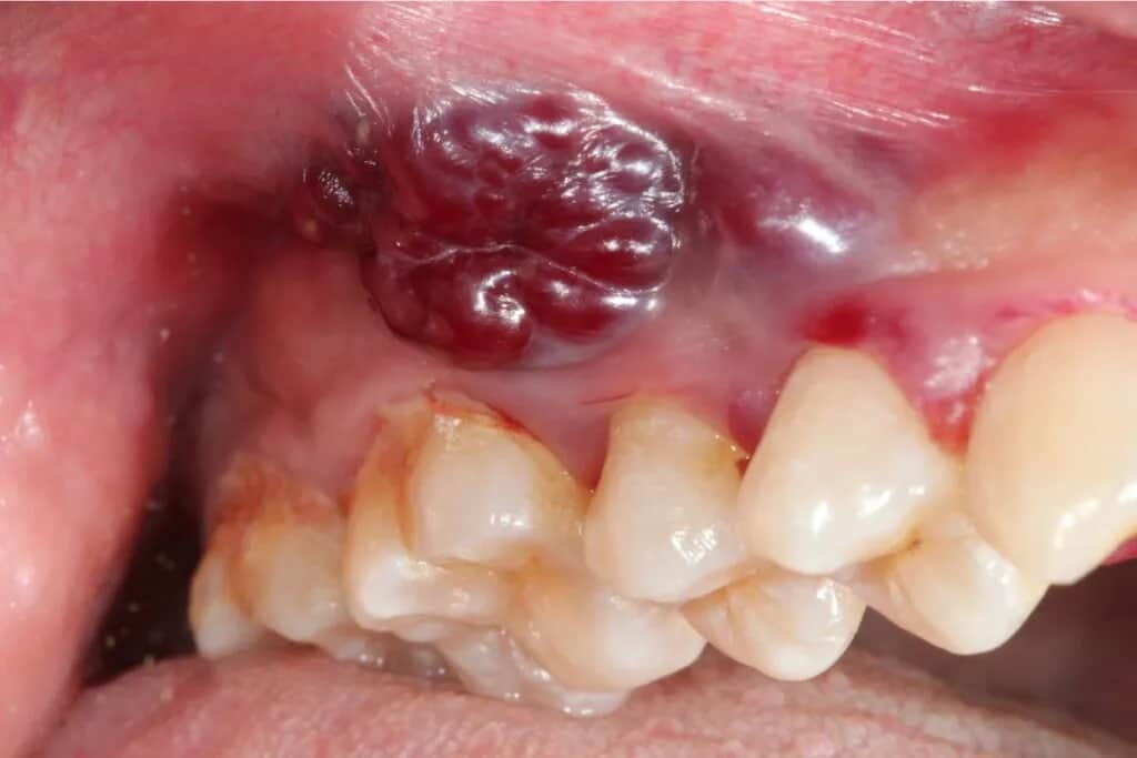
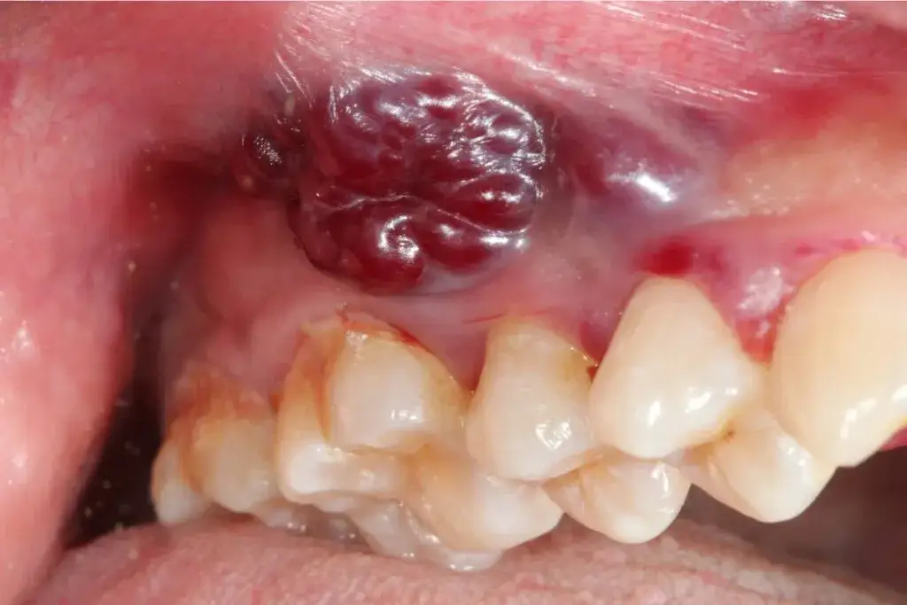
Widoczny guz "kalafiorowaty": charakterystyczny wygląd zaawansowanej zmiany
Jednym z najbardziej charakterystycznych objawów zaawansowanego raka jamy ustnej jest widoczny guz, często opisywany jako "kalafiorowaty". Jest to brodawkowaty lub kalafiorowaty rozrost tkanki, który łatwo krwawi przy dotyku. Taka zmiana jest już zazwyczaj duża i nie pozostawia wątpliwości co do konieczności natychmiastowej konsultacji.
Rozległe, bolesne i krwawiące owrzodzenia: alarmujący sygnał
W zaawansowanym stadium owrzodzenia stają się rozległe, bolesne i często krwawią. Są to duże rany o nieregularnych, twardych brzegach, które mogą naciekać na głębsze tkanki, takie jak kość żuchwy. Ból jest już wtedy zazwyczaj przewlekły i trudny do opanowania, a krwawienia mogą być częste.
Problemy z mową, połykaniem i ruchomością języka: kiedy rak nacieka na inne struktury
Naciekanie nowotworu na sąsiednie struktury, takie jak mięśnie języka, dno jamy ustnej czy kości, prowadzi do poważnych problemów funkcjonalnych. Pacjenci mogą doświadczać widocznych deformacji, trudności w ruchomości języka, co skutkuje problemami z połykaniem (dysfagia) i mową (dyzartria). W skrajnych przypadkach może pojawić się nawet szczękościsk, uniemożliwiający swobodne otwieranie ust.Powiększone węzły chłonne na szyi: co oznaczają i jak je wyczuć?
Powiększone, twarde i niebolesne węzły chłonne na szyi są bardzo alarmującym objawem, ponieważ często świadczą o przerzutach nowotworowych. Podczas samobadania szyi należy delikatnie palpować obszary pod żuchwą i wzdłuż mięśni szyi. Jeśli wyczujesz twarde, nieruchome guzki, które nie są bolesne, to sygnał do natychmiastowej wizyty u lekarza.
Poza widocznymi zmianami: inne objawy raka jamy ustnej, na które warto zwrócić uwagę
Rak jamy ustnej nie zawsze objawia się tylko widocznymi zmianami. Istnieją również symptomy niewizualne, które są równie ważne do zidentyfikowania i mogą wskazywać na rozwijającą się chorobę. Jako Olgierd Kowalski, zawsze podkreślam, że należy zwracać uwagę na każdy nietypowy sygnał wysyłany przez organizm.
Ból promieniujący do ucha: dlaczego nie należy go lekceważyć?
Ból, często promieniujący do ucha, może być zaskakującym, ale ważnym objawem raka jamy ustnej, nawet jeśli nie ma widocznych zmian w samym uchu. Dzieje się tak, ponieważ nerwy unerwiające jamę ustną i ucho są ze sobą połączone. Jeśli doświadczasz przewlekłego bólu ucha, który nie jest związany z infekcją czy urazem, a zwłaszcza jeśli towarzyszą mu inne niepokojące objawy w jamie ustnej, konieczna jest diagnostyka w kierunku nowotworu.
Niespodziewane chwianie się zębów i problemy z protezą
Niespodziewane ruszanie się zębów, ich wypadanie bez wyraźnej przyczyny (np. zaawansowanej choroby przyzębia) lub nagłe problemy z dopasowaniem dotychczasowej protezy zębowej, mogą być sygnałem naciekania nowotworu na kość. Rak może osłabiać struktury kostne, prowadząc do niestabilności zębów. To objaw, który powinien natychmiast skłonić Cię do wizyty u stomatologa lub chirurga szczękowo-twarzowego.Przykry zapach z ust, którego nie można się pozbyć
Przewlekły, przykry zapach z ust (tzw. fetor ex ore), który nie ustępuje pomimo dbałości o higienę jamy ustnej, może być potencjalnym objawem zaawansowanego nowotworu. Rozpadające się tkanki nowotworowe mogą wydzielać specyficzny, nieprzyjemny zapach. Jeśli problem utrzymuje się, a wykluczone zostały inne przyczyny (np. choroby dziąseł, problemy żołądkowe), warto skonsultować się z lekarzem.
Czynniki ryzyka raka jamy ustnej: kto jest najbardziej narażony?
Znajomość czynników ryzyka jest fundamentem świadomej profilaktyki. Wiele z nich możemy eliminować lub minimalizować, co znacząco zmniejsza prawdopodobieństwo zachorowania na raka jamy ustnej. Jako Olgierd Kowalski, zawsze podkreślam, że prewencja jest najlepszą formą leczenia.
Palenie i alkohol: dlaczego to połączenie jest tak niebezpieczne?
Palenie tytoniu (w każdej formie papierosy, cygara, fajki, a nawet bezdymne wyroby tytoniowe) oraz nadużywanie alkoholu to główne i najsilniejsze czynniki ryzyka raka jamy ustnej. Co gorsza, ich połączenie wielokrotnie zwiększa ryzyko zachorowania. Alkohol działa jak rozpuszczalnik, ułatwiając przenikanie substancji rakotwórczych z dymu tytoniowego do komórek błony śluzowej. To niszczycielskie combo, którego należy unikać.
Rola wirusa HPV w rozwoju nowotworów jamy ustnej
Coraz częściej obserwujemy rolę onkogennych typów wirusa brodawczaka ludzkiego (HPV, zwłaszcza typ 16) w rozwoju nowotworów jamy ustnej, szczególnie u młodszych osób, które nie palą i nie nadużywają alkoholu. HPV może być przenoszony drogą płciową, w tym poprzez kontakty oralne. Szczepienia przeciwko HPV, choć kojarzone głównie z rakiem szyjki macicy, mogą również odgrywać rolę w profilaktyce niektórych nowotworów jamy ustnej.
Przewlekłe drażnienie i zła higiena: cisi sprzymierzeńcy choroby
Istnieją także inne czynniki ryzyka, które, choć mniej spektakularne, również mają znaczenie. Niewłaściwa higiena jamy ustnej, przewlekłe drażnienie (np. przez ostre krawędzie zębów, źle dopasowane protezy, czy nawet nawykowe nagryzanie policzka) mogą prowadzić do przewlekłych stanów zapalnych, które sprzyjają transformacji nowotworowej. Dieta uboga w warzywa i owoce, a bogata w przetworzone produkty, również osłabia naturalne mechanizmy obronne organizmu.
Niepokojąca zmiana w jamie ustnej: co robić i do jakiego lekarza się udać?
W przypadku zaobserwowania jakichkolwiek niepokojących objawów, najważniejsze jest natychmiastowe działanie i konsultacja lekarska. Nie ma miejsca na zwlekanie czy samodzielne diagnozowanie. Pamiętaj, że wczesna interwencja ratuje życie i znacząco poprawia rokowania.
Krok pierwszy: Kiedy wizyta u dentysty lub laryngologa jest absolutnie konieczna?
Moja rada jest prosta: jeśli jakakolwiek zmiana w jamie ustnej plama, guzek, owrzodzenie utrzymuje się dłużej niż 2-3 tygodnie, nawet jeśli nie boli, wizyta u specjalisty jest absolutnie konieczna. W pierwszej kolejności możesz udać się do swojego stomatologa, który ma największą wiedzę na temat zdrowia jamy ustnej. Jeśli stomatolog uzna to za konieczne, skieruje Cię do laryngologa (otolaryngologa) lub chirurga szczękowo-twarzowego. Nie bagatelizuj tego!
Jak wygląda diagnostyka? Czego spodziewać się w gabinecie lekarskim?
Proces diagnostyki zazwyczaj rozpoczyna się od dokładnego badania fizykalnego jamy ustnej i szyi. Jeśli lekarz zauważy podejrzaną zmianę, "złotym standardem" jest pobranie wycinka do badania histopatologicznego (biopsja). To jedyny pewny sposób na potwierdzenie lub wykluczenie nowotworu. W zależności od sytuacji, lekarz może zlecić również badania obrazowe, takie jak USG szyi, tomografia komputerowa (TK) lub rezonans magnetyczny (MRI), aby ocenić zaawansowanie choroby i sprawdzić, czy nie ma przerzutów.
Przeczytaj również: Czerniak w jamie ustnej: jak wygląda? Rozpoznaj niepokojące zmiany
Profilaktyka to podstawa: jak regularne samobadanie może uratować Ci życie?
Na koniec chciałbym podkreślić, że profilaktyka i regularne samobadanie jamy ustnej to najprostsze i najskuteczniejsze narzędzia, jakie masz do dyspozycji. Proste, comiesięczne badanie może pomóc wcześnie wykryć zmiany, zanim staną się poważne. To dosłownie może uratować Ci życie. Oto krótka instrukcja, na co zwracać uwagę:
- Użyj lustra i dobrego światła, aby dokładnie obejrzeć całą jamę ustną.
- Obejrzyj wargi (zewnętrzną i wewnętrzną stronę), a następnie dokładnie policzki.
- Sprawdź język jego górną, dolną i boczne powierzchnie. Wyciągnij go, poruszaj nim na boki.
- Obejrzyj dno jamy ustnej (pod językiem) oraz podniebienie twarde.
- Palcami wyczuj wszelkie zgrubienia, guzki lub stwardnienia w tych obszarach, a także na szyi (węzły chłonne).
