Przezroczysty aparat: Koszt w Polsce (7-22 tys. zł). Czy warto?
Paweł Krawczyk - Strona 4
Przeczytaj także
Separacja zębów: Czy boli? Sprawdzone sposoby na ulgę!
Cena RTG zęba 2026: Koszty, refundacja, jak zaoszczędzić?
Ile kosztuje implant zęba? Pełny koszt i ukryte wydatki
Polecane artykuły
Ile kosztuje wybielanie zębów w gabinecie? Przegląd cen i metod.
Krwawiące dziąsła? Odkryj kluczowe witaminy dla ich zdrowia!
Recesja dziąseł: jak rozpoznać, zatrzymać i skutecznie leczyć?
Publikacje autora
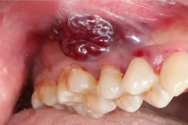
Rak dziąseł: jak wygląda i co robić, by uratować życie?
Jak wygląda rak dziąseł? Rozpoznaj wczesne objawy, czynniki ryzyka i kroki diagnostyczne. Sprawdź, jak wczesne wykrycie ratuje życie.
Wymiana zębów u dziecka: przewodnik dla rodziców (6-13 lat)
Poznaj etapy wymiany zębów mlecznych na stałe u dziecka (6-13 lat). Zrozum kalendarz, rozpoznaj problemy i zadbaj o higienę. Sprawdź nasz przewodnik!
Rak jamy ustnej: wczesne objawy i sygnały, których nie zignorujesz
Rak jamy ustnej: poznaj wczesne objawy i sygnały alarmowe. Dowiedz się, jak rozpoznać niepokojące zmiany i dlaczego szybka diagnostyka ratuje życie. Sprawdź nasz poradnik.
Zarobki dentystów w Polsce: Ile naprawdę zarabia stomatolog?
Ile zarabia dentysta w Polsce? Poznaj realne zarobki stomatologów, medianę (12 500 PLN) i kluczowe czynniki: specjalizację, doświadczenie, formę zatrudnienia. Sprawdź!
Szczoteczka soniczna dla dziecka: Jak wybrać najlepszą? Porady eksperta
Wybierz idealną szczoteczkę soniczną dla dziecka! Przewodnik eksperta po wieku, funkcjach i rankingach. Uniknij błędów i zadbaj o zdrowy uśmiech. Sprawdź!
Jak wyglądają aparaty na zęby? Przewodnik po estetyce i dyskrecji
Zobacz, jak wyglądają aparaty na zęby: metalowe, estetyczne, lingwalne i nakładki. Porównaj ich wygląd, dyskrecję i personalizację. Wybierz idealny dla siebie!
Szałwia czy rumianek na bolące dziąsła? Wybierz idealne zioło!
Bolące dziąsła? Szałwia czy rumianek które zioło wybrać? Sprawdź ich działanie, wskazania i przepisy na płukanki. Znajdź ulgę dla swoich dziąseł!
Jedzenie po wizycie u dentysty: Co jeść, by uniknąć bólu i powikłań?
Jak jeść po wizycie u dentysty? Poznaj zasady diety po plombie, ekstrakcji czy leczeniu kanałowym. Uniknij bólu i powikłań. Sprawdź, co możesz jeść!
Ząbkowanie: Jak ulżyć dziecku? Bezpieczne sposoby na swędzące dziąsła
Ząbkowanie to wyzwanie. Poznaj bezpieczne i skuteczne sposoby na swędzące dziąsła u niemowląt: domowe triki, żele i porady, kiedy iść do lekarza. Szybka ulga dla maluszka!
Szczoteczka soniczna: czy warto? Zalety, wady i wybór idealnej
Czy szczoteczka soniczna jest dla Ciebie? Poznaj jej zalety, wady i porównaj z rotacyjną. Sprawdź, jak wybrać idealny model i zadbać o uśmiech!