Cofające się dziąsła, znane w stomatologii jako recesja dziąseł, to problem, który dotyka wielu z nas, często pozostając początkowo niezauważonym. Jest to stan, w którym brzeg dziąsła przesuwa się w kierunku korzenia zęba, stopniowo odsłaniając jego powierzchnię. Niestety, ignorowanie tego sygnału to prosta droga do poważniejszych komplikacji, dlatego tak ważne jest szybkie zidentyfikowanie problemu i podjęcie odpowiednich działań.
Recesja dziąseł to poważny problem sprawdź, co robić, gdy dziąsło odchodzi od zęba
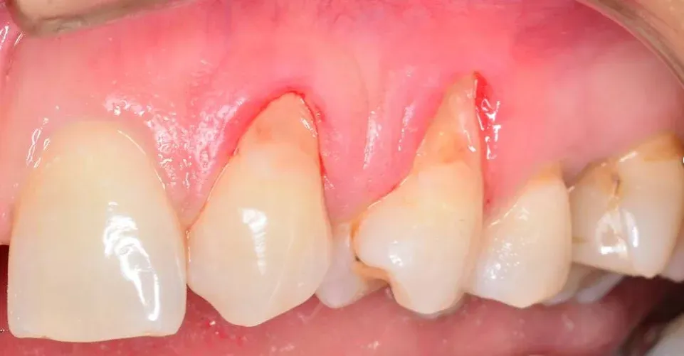
- Recesja dziąseł to proces odsłaniania korzenia zęba, objawiający się nadwrażliwością, wizualnym wydłużeniem zęba i krwawieniem.
- Główne przyczyny to niewłaściwa higiena, choroby przyzębia (paradontoza), czynniki genetyczne, wady zgryzu, bruksizm oraz palenie papierosów.
- Domowe metody mogą jedynie łagodzić objawy; kluczowa jest profesjonalna diagnostyka i leczenie stomatologiczne.
- Leczenie obejmuje higienizację (skaling, kiretaż) oraz zabiegi chirurgiczne, takie jak przeszczepy dziąsła, mające na celu odbudowę utraconej tkanki.
- Brak leczenia prowadzi do pogłębiania się problemu, rozchwiania, a w konsekwencji nawet utraty zębów.
- Koszty specjalistycznych zabiegów chirurgicznych są wysokie i zazwyczaj nierefundowane przez NFZ.
Dlaczego Twoje dziąsło "ucieka" od zęba? Pierwsze sygnały, których nie wolno ignorować
Recesja dziąseł to nic innego jak proces chorobowy, w którym dziąsło stopniowo przesuwa się w dół (w szczęce) lub w górę (w żuchwie), odsłaniając powierzchnię korzenia zęba. To zjawisko, choć początkowo może wydawać się jedynie estetycznym defektem, jest w rzeczywistości sygnałem ostrzegawczym, że w jamie ustnej dzieje się coś niedobrego. Odsłonięty korzeń zęba jest znacznie bardziej wrażliwy i podatny na uszkodzenia niż szkliwo.
Jak rozpoznać, że dziąsło zaczyna się cofać? Najbardziej oczywistym objawem jest wizualne wydłużenie zęba ząb wydaje się dłuższy niż sąsiednie, ponieważ część korzenia staje się widoczna. Często towarzyszy temu nadwrażliwość na zimne, ciepłe, słodkie pokarmy, a także na dotyk. Możesz zauważyć krwawienie podczas szczotkowania zębów, a także zmianę koloru dziąseł stają się one ciemnoczerwone lub sine, co świadczy o stanie zapalnym. W zaawansowanych przypadkach może pojawić się nawet rozchwianie zębów.
Jednym z niebezpiecznych skutków recesji jest powstawanie tzw. kieszonek dziąsłowych. Są to patologiczne przestrzenie między zębem a dziąsłem, głębsze niż standardowe 2-3 mm. W takich kieszonkach idealnie gromadzą się resztki jedzenia i bakterie, tworząc płytkę nazębną i kamień, co z kolei prowadzi do dalszego rozwoju stanu zapalnego, niszczenia kości i pogłębiania recesji. To błędne koło, które bez interwencji specjalisty będzie się nasilać.
- Wizualne wydłużenie zęba: Ząb wydaje się dłuższy niż pozostałe.
- Nadwrażliwość: Ból przy spożywaniu zimnych, ciepłych, słodkich potraw lub napojów.
- Krwawienie dziąseł: Podczas szczotkowania lub nitkowania.
- Zmiana koloru dziąseł: Na ciemnoczerwony lub siny.
- Rozchwianie zębów: W zaawansowanych stadiach.
- Widoczne kieszonki dziąsłowe: Patologiczne przestrzenie między zębem a dziąsłem.

Główne przyczyny odchodzenia dziąseł znajdź winowajcę
Z mojego doświadczenia wiem, że recesja dziąseł rzadko ma jedną, pojedynczą przyczynę. Zazwyczaj jest to wynik współdziałania kilku czynników, które stopniowo prowadzą do odsłaniania korzeni. Zrozumienie ich jest kluczowe do skutecznego leczenia i zapobiegania.
Jedną z najczęstszych przyczyn jest niewłaściwa higiena jamy ustnej. I tu zaskoczenie nie chodzi tylko o jej zaniedbanie! Oczywiście, brak regularnego i dokładnego szczotkowania prowadzi do gromadzenia się płytki bakteryjnej i kamienia nazębnego, co jest głównym czynnikiem zapalenia dziąseł. Jednak równie szkodliwe może być zbyt agresywne, urazowe szczotkowanie zębów, zwłaszcza twardą szczoteczką i z użyciem niewłaściwej techniki. Mechaniczne uszkodzenia brzegu dziąsłowego z czasem skutkują jego cofaniem się.
Kolejnym potężnym winowajcą są choroby przyzębia. Nieleczone zapalenie dziąseł (gingivitis) bardzo często przechodzi w zapalenie przyzębia, czyli popularną paradontozę. To poważna choroba, która prowadzi do stopniowego niszczenia kości i innych tkanek utrzymujących ząb w zębodole. W efekcie dziąsła cofają się, a zęby mogą się rozchwiać.Nie możemy zapominać o czynnikach anatomicznych i genetycznych. Niektórzy ludzie mają po prostu cieńszy biotyp dziąsła, co sprawia, że są bardziej podatni na recesje. Nieprawidłowe ustawienie zębów w łuku, np. stłoczenia, również może sprzyjać cofaniu się dziąseł w miejscach, gdzie tkanka jest bardziej napięta lub narażona na urazy. Do tego dochodzi bruksizm, czyli nieświadome zgrzytanie zębami i ich zaciskanie, które generuje ogromne siły, prowadząc do przeciążeń i uszkodzeń tkanek przyzębia.
Wśród innych czynników, które mogą przyczyniać się do recesji, warto wymienić palenie papierosów. Nikotyna i inne substancje toksyczne zawarte w dymie tytoniowym upośledzają ukrwienie dziąseł i utrudniają ich regenerację. Nieprawidłowo dopasowane korony protetyczne, mosty czy wypełnienia, które drażnią brzeg dziąsła, również mogą wywoływać recesję. Nawet piercing w jamie ustnej, np. wargi czy języka, może mechanicznie uszkadzać dziąsła.
- Niewłaściwa higiena: Agresywne szczotkowanie lub zaniedbanie higieny.
- Choroby przyzębia: Nieleczone zapalenie dziąseł i paradontoza.
- Czynniki genetyczne i anatomiczne: Cienki biotyp dziąsła, wady zgryzu.
- Bruksizm: Zgrzytanie i zaciskanie zębów.
- Palenie papierosów: Upośledzenie ukrwienia dziąseł.
- Nieprawidłowe uzupełnienia protetyczne: Drażniące dziąsła.
Co robić tu i teraz? Pierwsza pomoc w domu, zanim dotrzesz do dentysty
Kiedy zauważysz, że twoje dziąsło odchodzi od zęba, naturalne jest, że szukasz natychmiastowej ulgi. Pamiętaj jednak, że domowe metody są jedynie doraźnym wsparciem i w żadnym wypadku nie zastąpią profesjonalnego leczenia stomatologicznego. Mogą one pomóc złagodzić stany zapalne i zmniejszyć dyskomfort, ale nie cofną recesji ani nie usuną jej przyczyny.
W celu złagodzenia stanów zapalnych i podrażnień polecam stosowanie płukanek ziołowych. Napary z szałwii czy rumianku mają właściwości przeciwzapalne i ściągające. Możesz je stosować kilka razy dziennie. Dobrze sprawdzają się również preparaty z aloesem, które działają kojąco i wspomagają regenerację tkanek.
Absolutnie kluczowa jest jednak zmiana nawyków higienicznych. To podstawa! Jeśli używasz twardej szczoteczki, natychmiast zmień ją na miękką lub ultra miękką. Technika mycia zębów powinna być delikatna zamiast szorowania, stosuj ruchy wymiatające, kierując włosie od dziąsła w stronę korony zęba. Pamiętaj o regularnym nitkowaniu przestrzeni międzyzębowych, aby usunąć płytkę bakteryjną, do której szczoteczka nie ma dostępu. Warto rozważyć również irygator, który skutecznie wypłukuje resztki pokarmowe i bakterie z trudno dostępnych miejsc.
W niektórych przypadkach stomatolog może zalecić krótkotrwałe stosowanie płynów do płukania ust zawierających chlorheksydynę. Jest to silny środek antybakteryjny, który skutecznie redukuje ilość bakterii w jamie ustnej. Jednak jego długotrwałe użycie bez kontroli może prowadzić do przebarwień zębów i zaburzeń smaku, dlatego zawsze należy skonsultować się z dentystą przed rozpoczęciem takiej terapii.
- Płukanki ziołowe: Szałwia, rumianek (działanie przeciwzapalne).
- Preparaty z aloesem: Łagodzą podrażnienia i wspomagają regenerację.
- Zmiana szczoteczki: Na miękką lub ultra miękką.
- Delikatna technika mycia: Ruchy wymiatające, od dziąsła do korony zęba.
- Regularne nitkowanie: Usuwanie płytki bakteryjnej z przestrzeni międzyzębowych.
- Konsultacja w sprawie chlorheksydyny: Stosowanie płynów z chlorheksydyną tylko po zaleceniu stomatologa.

Profesjonalne leczenie, czyli co może zaproponować Ci stomatolog w Polsce
Kiedy domowe metody okazują się niewystarczające, a problem recesji dziąseł się pogłębia, niezbędna jest profesjonalna interwencja. W gabinecie stomatologicznym, a zwłaszcza u periodontologa, dostępnych jest wiele skutecznych metod leczenia, które mają na celu zatrzymanie postępu choroby, a często nawet odbudowę utraconych tkanek.
Zacznijmy od leczenia niechirurgicznego, które stanowi podstawę w wielu przypadkach. Kluczowa jest tutaj profesjonalna higienizacja. Obejmuje ona:
- Skaling: Usuwanie kamienia nazębnego, zarówno tego widocznego (naddziąsłowego), jak i ukrytego pod dziąsłem (poddziąsłowego). Kamień jest siedliskiem bakterii i głównym czynnikiem podtrzymującym stan zapalny.
- Piaskowanie: Usuwanie osadów i przebarwień z powierzchni zębów za pomocą strumienia wody, powietrza i specjalnego piasku.
- Polerowanie: Wygładzenie powierzchni zębów, co utrudnia przyleganie płytki bakteryjnej.
Gdy recesja jest zaawansowana lub gdy chcemy odbudować utraconą tkankę dziąsła, wkracza leczenie chirurgiczne. Tutaj mamy do czynienia z chirurgią plastyczną przyzębia. Najczęściej wykonywanym zabiegiem jest pokrycie recesji. Może ono polegać na zastosowaniu materiału kompozytowego, który maskuje odsłoniętą powierzchnię korzenia, ale jest to rozwiązanie głównie estetyczne. Znacznie skuteczniejsze i trwalsze są przeszczepy dziąsła. W tej technice tkanka dziąsłowa jest pobierana najczęściej z podniebienia pacjenta (tzw. przeszczep autogenny) i przeszczepiana w miejsce ubytku. Celem jest nie tylko pokrycie odsłoniętego korzenia, ale także pogrubienie biotypu dziąsła, co czyni je bardziej odpornym na przyszłe recesje. Istnieją również nowoczesne techniki regeneracyjne z użyciem biomateriałów, które stymulują wzrost nowych tkanek.
Nie można zapominać o leczeniu przyczynowym. Jeśli recesja jest wynikiem wady zgryzu, konieczna może być korekta ortodontyczna. W przypadku bruksizmu stomatolog może zalecić wykonanie szyny relaksacyjnej, która chroni zęby i dziąsła przed nadmiernymi siłami.
-
Leczenie niechirurgiczne:
- Skaling (usuwanie kamienia nad- i poddziąsłowego)
- Piaskowanie i polerowanie (usuwanie osadów)
- Kiretaż (oczyszczanie kieszonek dziąsłowych)
-
Leczenie chirurgiczne (chirurgia plastyczna przyzębia):
- Pokrycie recesji (materiał kompozytowy lub przeszczepy dziąsła)
- Przeszczepy dziąsła (najczęściej z podniebienia)
- Techniki regeneracyjne z użyciem biomateriałów
-
Leczenie przyczynowe:
- Korekta wad zgryzu (ortodoncja)
- Szyna relaksacyjna (przy bruksizmie)
Ile to kosztuje? Przegląd cen zabiegów periodontologicznych w Polsce
Kwestia kosztów leczenia recesji dziąseł jest dla wielu pacjentów bardzo istotna. Niestety, muszę od razu zaznaczyć, że większość specjalistycznych zabiegów periodontologicznych, zwłaszcza tych chirurgicznych, nie jest refundowana przez Narodowy Fundusz Zdrowia, a ich ceny mogą być znaczące. Poniżej przedstawiam orientacyjne koszty, które mogą się różnić w zależności od miasta, renomy gabinetu i doświadczenia specjalisty.
| Zabieg | Orientacyjny koszt (prywatnie) / Refundacja NFZ |
|---|---|
| Skaling (usunięcie kamienia) | Raz w roku refundowany przez NFZ; prywatnie ok. 150-250 zł |
| Pełna higienizacja (skaling, piaskowanie, polerowanie, fluoryzacja) | Ok. 200-400 zł |
| Kiretaż zamknięty (za łuk zębowy) | Ok. 300-600 zł |
| Kiretaż otwarty (za ząb/sektor) | Ok. 400-800 zł |
| Pokrycie recesji/Przeszczep dziąsła (za jeden ząb) | Od 1000 zł do 3000 zł i więcej (nierefundowane przez NFZ) |
| Szyna relaksacyjna (przy bruksizmie) | Ok. 500-1500 zł |
| Konsultacja periodontologiczna | Ok. 100-250 zł |
Jak widać, koszty zabiegów chirurgicznych, takich jak przeszczepy dziąsła, są wysokie. Wynika to ze złożoności procedury, konieczności użycia specjalistycznych materiałów i wysokich kwalifikacji lekarza. To inwestycja w zdrowie i estetykę, która jednak przynosi długoterminowe korzyści.
Przeczytaj również: Bolące dziąsła: Jak szybko znaleźć ulgę i kiedy iść do dentysty?
Zapobieganie jest kluczem jak chronić dziąsła na przyszłość?
Zawsze powtarzam moim pacjentom, że zapobieganie jest najlepszą formą leczenia, a w przypadku recesji dziąseł ta zasada sprawdza się w stu procentach. Odpowiednia profilaktyka może uchronić Cię przed bólem, dyskomfortem i kosztownymi zabiegami. Oto kluczowe zasady, które pomogą Ci chronić dziąsła:
- Prawidłowa technika szczotkowania: Używaj miękkiej lub ultra miękkiej szczoteczki. Myj zęby delikatnymi, wymiatającymi ruchami, kierując włosie od dziąsła w stronę korony zęba. Unikaj szorowania w poprzek. Pamiętaj, że liczy się dokładność, a nie siła.
- Regularne nitkowanie i irygacja: Codzienne używanie nici dentystycznej jest absolutnie niezbędne do usunięcia płytki bakteryjnej i resztek pokarmowych z przestrzeni międzyzębowych, gdzie szczoteczka nie dociera. Irygator może być doskonałym uzupełnieniem, szczególnie dla osób z aparatem ortodontycznym, mostami czy implantami.
- Regularne wizyty kontrolne u dentysty: Przynajmniej raz na 6 miesięcy. Stomatolog może wcześnie wykryć problem i podjąć odpowiednie kroki, zanim recesja się rozwinie.
- Profesjonalna higienizacja: Skaling i piaskowanie co 6-12 miesięcy to podstawa. Usunięcie kamienia i osadów zapobiega stanom zapalnym dziąseł i rozwojowi paradontozy.
- Zbilansowana dieta: Zdrowa dieta bogata w witaminy (szczególnie C i D) i minerały wspiera ogólne zdrowie jamy ustnej i odporność dziąseł.
- Unikanie używek: Palenie papierosów znacząco zwiększa ryzyko chorób przyzębia i utrudnia gojenie.
- Leczenie wad zgryzu i bruksizmu: Jeśli masz wadę zgryzu lub zgrzytasz zębami, skonsultuj się z ortodontą lub protetykiem. Korekta tych problemów może zapobiec przeciążeniom i recesjom.

Konsekwencje zignorowania problemu dlaczego nie można czekać?
Muszę być z Tobą szczery ignorowanie recesji dziąseł to prosta droga do poważnych i często nieodwracalnych problemów. To nie jest tylko kwestia estetyki czy chwilowej nadwrażliwości. Nieleczona recesja dziąseł prowadzi do kaskady negatywnych konsekwencji, które mogą zagrozić stabilności i zdrowiu Twoich zębów.
Przede wszystkim, brak leczenia skutkuje postępującą utratą kości. Dziąsła i kość są ze sobą ściśle powiązane jeśli dziąsło się cofa, często towarzyszy temu zanik kości, która utrzymuje ząb. To z kolei prowadzi do pogłębiania się kieszonek dziąsłowych, które stają się idealnym środowiskiem dla bakterii, pogarszając stan zapalny. W efekcie zęby zaczynają się rozchwiać, a w najbardziej zaawansowanych przypadkach może dojść nawet do ich utraty.
Odsłonięty korzeń zęba jest również znacznie bardziej podatny na próchnicę korzenia. Szkliwo, które chroni koronę zęba, jest najtwardszą tkanką w ludzkim organizmie. Korzeń nie ma tej ochronnej warstwy, przez co jest mniej odporny na działanie kwasów bakteryjnych. Próchnica korzenia często rozwija się szybko i może prowadzić do poważnych stanów zapalnych miazgi, wymagających leczenia kanałowego. W skrajnych przypadkach, jeśli infekcja jest zbyt rozległa, jedynym rozwiązaniem może być usunięcie zęba.
Dlatego tak ważne jest, aby nie zwlekać. Jeśli zauważasz u siebie objawy recesji dziąseł, bezwzględnie i pilnie skontaktuj się z periodontologiem. Specjalista oceni stan Twojej jamy ustnej, zdiagnozuje przyczynę i zaproponuje najskuteczniejsze leczenie. Im szybciej podejmiesz działanie, tym większe szanse na uratowanie zębów i przywrócenie zdrowia dziąsłom.
- Postępująca utrata kości: Prowadzi do osłabienia zębów.
- Pogłębianie się kieszonek dziąsłowych: Idealne środowisko dla bakterii.
- Rozchwianie zębów: Utrata stabilności.
- Utrata zębów: Ostateczna konsekwencja nieleczonej recesji.
- Zwiększone ryzyko próchnicy korzenia: Odsłonięty korzeń jest mniej odporny.
- Stany zapalne miazgi: Konieczność leczenia kanałowego lub usunięcia zęba.
