Bolące dziąsło: szybka ulga i kluczowe informacje o przyczynach dolegliwości
- Najczęstszą przyczyną bólu dziąseł jest stan zapalny wywołany płytką bakteryjną i kamieniem nazębnym, często wynikający z nieprawidłowej higieny.
- Doraźną ulgę przynoszą domowe sposoby, takie jak płukanki ziołowe (szałwia, rumianek), roztwór soli lub sody oczyszczonej oraz zimne okłady.
- W aptece bez recepty dostępne są specjalistyczne żele, maści stomatologiczne i płyny do płukania ust z chlorheksydyną, które działają przeciwbólowo i odkażająco.
- Ból dziąseł często towarzyszy wyrzynaniu się zębów mądrości (ósemek) oraz ząbkowaniu u niemowląt.
- Konieczna jest wizyta u dentysty, gdy ból jest silny, pulsujący, nie ustępuje po kilku dniach, towarzyszy mu gorączka, ropny wyciek lub znaczna opuchlizna.
Przyczyny bólu dziąseł: dlaczego bolą i co je wywołuje?
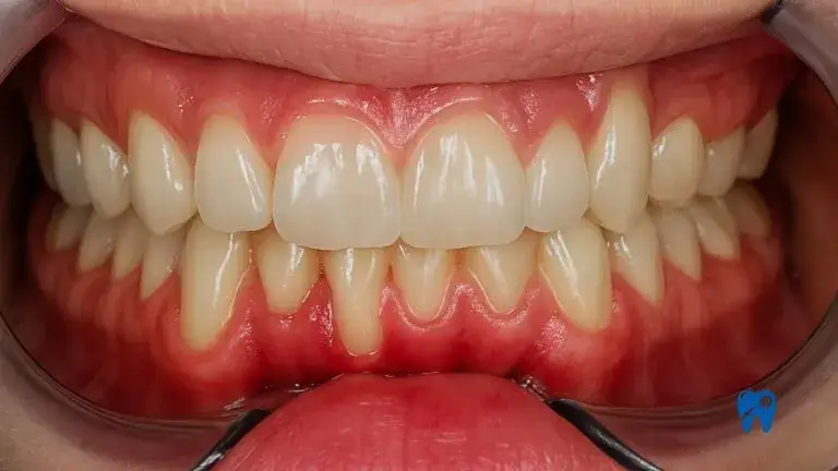
Z mojego doświadczenia wynika, że ból dziąseł to sygnał, którego nie wolno ignorować. Najczęściej jest on wynikiem stanu zapalnego, który rozwija się w jamie ustnej. Ten stan zapalny jest zazwyczaj wywołany przez nagromadzenie płytki bakteryjnej i kamienia nazębnego, co z kolei jest konsekwencją nieprawidłowej lub niewystarczającej higieny jamy ustnej. Zrozumienie przyczyn to pierwszy krok do skutecznego leczenia i zapobiegania nawrotom.Stan zapalny: cichy wróg Twoich dziąseł
Głównym winowajcą bólu dziąseł jest stan zapalny. Rozwija się on, gdy bakterie z płytki nazębnej, która regularnie osadza się na zębach, zaczynają podrażniać tkanki dziąseł. Jeśli płytka nie jest usuwana regularnie, ulega mineralizacji i tworzy twardy kamień nazębny. Zarówno płytka, jak i kamień są siedliskiem bakterii, które produkują toksyny. Te toksyny wywołują reakcję zapalną dziąsła stają się czerwone, opuchnięte, wrażliwe na dotyk i często krwawią podczas szczotkowania. Ten proces, jeśli nieleczony, może prowadzić do poważniejszych problemów, takich jak paradontoza.
Urazy mechaniczne: kiedy szczoteczka i proteza stają się problemem
Czasami ból dziąseł nie ma podłoża bakteryjnego, a jest wynikiem urazów mechanicznych. Zbyt twarda szczoteczka do zębów, agresywne szczotkowanie, nieprawidłowe używanie nici dentystycznej, a nawet źle dopasowana proteza zębowa mogą podrażnić delikatne tkanki dziąseł, prowadząc do otarć, skaleczeń i w konsekwencji do bólu. Zawsze zalecam wybór szczoteczki o miękkim lub średnim włosiu i naukę prawidłowej techniki szczotkowania oraz nitkowania, aby uniknąć takich problemów.Bolesne wyrzynanie ósemek: co musisz wiedzieć?
Ból dziąsła przy wyrzynającej się ósemce, czyli zębie mądrości, to bardzo częsta dolegliwość, z którą spotykam się w gabinecie. Ósemki często mają utrudnione wyrzynanie ze względu na brak miejsca w łuku zębowym, co może prowadzić do ich częściowego lub całkowitego zatrzymania. Wokół częściowo wyrzniętego zęba często gromadzą się resztki jedzenia i bakterie, prowadząc do stanu zapalnego zwanego zapaleniem okołokoronowym. Towarzyszą temu objawy takie jak opuchlizna, zaczerwienienie, krwawienie, a także silny ból, który może promieniować do ucha, gardła czy głowy. W niektórych przypadkach może pojawić się nawet szczękościsk.
Afty, pleśniawki i inne zmiany w jamie ustnej
Nie tylko stany zapalne czy urazy mechaniczne mogą być przyczyną bólu dziąseł. Często spotykam się z pacjentami, którzy cierpią z powodu aft bolesnych owrzodzeń, które mogą pojawiać się na dziąsłach, wewnętrznej stronie policzków czy języku. Inne zmiany, takie jak pleśniawki (infekcje grzybicze), pęcherzyki opryszczkowe czy inne rzadziej występujące zmiany w jamie ustnej, również mogą powodować znaczny dyskomfort i ból dziąseł. W takich przypadkach kluczowe jest postawienie właściwej diagnozy, aby zastosować odpowiednie leczenie.
Wpływ diety, hormonów i ogólnego stanu zdrowia na kondycję dziąseł
- Zmiany hormonalne: Ciąża, menopauza czy nawet cykl menstruacyjny mogą wpływać na wrażliwość dziąseł, czyniąc je bardziej podatnymi na stany zapalne i krwawienia.
- Niedobory witamin: Brak witamin, zwłaszcza witaminy C (szkorbut) i tych z grupy B, osłabia dziąsła, prowadząc do ich krwawienia i bólu.
- Palenie papierosów: Palenie znacząco zwiększa ryzyko chorób dziąseł, maskuje objawy zapalenia i utrudnia gojenie.
- Niektóre choroby ogólnoustrojowe: Cukrzyca, choroby autoimmunologiczne czy obniżona odporność (np. podczas przeziębienia) mogą osłabiać dziąsła i sprzyjać rozwojowi infekcji.
- Stres: Przewlekły stres może osłabiać układ odpornościowy, co pośrednio wpływa na zdrowie jamy ustnej.
Domowe sposoby na bolące dziąsła: natychmiastowa ulga w zasięgu ręki
Kiedy dziąsła zaczynają boleć, często szukamy szybkiej ulgi, zanim udamy się do specjalisty. Na szczęście istnieje wiele sprawdzonych domowych sposobów, które mogą skutecznie złagodzić ból i zmniejszyć stan zapalny. Pamiętajmy jednak, że są to rozwiązania doraźne, które nie zastąpią wizyty u dentysty w przypadku poważniejszych problemów.
Ziołowe płukanki, które przynoszą ukojenie: szałwia, rumianek i kora dębu
Zioła od wieków są cenione za swoje właściwości lecznicze, a w przypadku bolących dziąseł mogą okazać się niezwykle pomocne. Ich działanie antyseptyczne, przeciwzapalne i ściągające przynosi ulgę i wspomaga gojenie.
- Szałwia: Ma silne właściwości antyseptyczne i przeciwzapalne. Aby przygotować płukankę, zalej łyżkę suszonych liści szałwii szklanką wrzątku i parz pod przykryciem przez około 15 minut. Po przestudzeniu płucz jamę ustną kilka razy dziennie.
- Rumianek: Znany ze swoich właściwości łagodzących i przeciwzapalnych. Przygotuj napar tak samo jak szałwię (łyżka suszu na szklankę wrzątku). Płucz jamę ustną letnim naparem, aby ukoić podrażnione dziąsła.
- Kora dębu: Działa silnie ściągająco i przeciwzapalnie, co pomaga w redukcji obrzęku i krwawienia. Łyżkę kory dębu zalej szklanką wody i gotuj na małym ogniu przez około 10-15 minut. Po przestudzeniu i odcedzeniu stosuj jako płukankę.
- Tymianek: Posiada właściwości antybakteryjne i przeciwgrzybicze. Napar z tymianku (łyżeczka na szklankę wrzątku) może wspomóc walkę z infekcjami.
Roztwór soli lub sody oczyszczonej: prosty i skuteczny sposób na stan zapalny
Jednym z najprostszych, a zarazem bardzo skutecznych domowych sposobów na bolące dziąsła jest płukanka z roztworu soli kuchennej lub sody oczyszczonej. Zarówno sól, jak i soda mają właściwości antybakteryjne i pomagają zmniejszyć stan zapalny. Aby przygotować płukankę, rozpuść pół łyżeczki soli lub sody oczyszczonej w szklance ciepłej wody. Dokładnie wymieszaj, aż składnik się rozpuści. Płucz jamę ustną tym roztworem przez około 30 sekund, 2-3 razy dziennie, szczególnie po posiłkach. Poczujesz ulgę w bólu i zauważysz zmniejszenie obrzęku.
Moc zimnych okładów: jak prawidłowo je stosować, by zmniejszyć obrzęk?
Zimne okłady to doskonały sposób na zmniejszenie obrzęku i przekrwienia bolących dziąseł, zwłaszcza gdy ból jest intensywny lub towarzyszy mu opuchlizna policzka. Nigdy nie przykładaj lodu bezpośrednio do skóry! Zamiast tego, owiń kilka kostek lodu w czystą ściereczkę lub ręcznik. Przykładaj taki okład na policzek, w miejscu, gdzie odczuwasz ból dziąsła, na około 10-15 minut. Możesz powtarzać tę czynność co kilka godzin. Zimno działa obkurczająco na naczynia krwionośne, co zmniejsza obrzęk i przynosi ulgę.
Dieta dla bolących dziąseł: co jeść, a czego unikać?
Kiedy dziąsła bolą, jedzenie staje się wyzwaniem. Warto wtedy postawić na posiłki o miękkiej konsystencji, które nie będą dodatkowo podrażniać wrażliwych miejsc. Zrezygnuj z twardych, chrupiących produktów, ostrych przypraw, kwaśnych owoców i napojów, a także bardzo gorących lub bardzo zimnych potraw. Zupy kremy, jogurty, puree ziemniaczane, gotowane warzywa czy delikatne ryby będą idealnym wyborem. Unikaj również słodyczy, które sprzyjają rozwojowi bakterii.

Apteczne rozwiązania na bolące dziąsła: skuteczne preparaty bez recepty
Gdy domowe sposoby okazują się niewystarczające, z pomocą przychodzą preparaty dostępne w aptekach bez recepty. Rynek oferuje szeroki wybór produktów, które skutecznie łagodzą ból, zmniejszają stan zapalny i wspomagają proces gojenia. Zawsze jednak warto skonsultować się z farmaceutą, aby dobrać odpowiedni środek do konkretnej dolegliwości.
Żele i maści stomatologiczne: jak działają i który wybrać?
Żele i maści stomatologiczne to jedne z najpopularniejszych preparatów na bolące dziąsła. Działają miejscowo, przynosząc szybką ulgę. Różnią się składem i mechanizmem działania:
- Z salicylanem choliny: Działa przeciwbólowo i przeciwzapalnie. Jest to składnik często spotykany w żelach na stany zapalne dziąseł.
- Z chlorheksydyną: Posiada silne właściwości antybakteryjne i odkażające, co jest kluczowe w walce z infekcjami. Zmniejsza ilość płytki nazębnej i wspomaga leczenie zapalenia.
- Z lidokainą: Jest to miejscowy środek znieczulający, który szybko uśmierza silny ból. Stosowany jest głównie w przypadku bardzo bolesnych dolegliwości, np. przy wyrzynających się ósemkach.
- Z wyciągami roślinnymi: Preparaty zawierające aloes, rumianek, szałwię czy mirrę działają łagodząco, przeciwzapalnie i wspomagają regenerację dziąseł.
- Z tarczycą bajkalską (np. Baikadent): Tarczyca bajkalska jest znana ze swoich właściwości przeciwzapalnych i antyoksydacyjnych, wspierając zdrowie dziąseł.
Płyny do płukania z chlorheksydyną: kiedy warto po nie sięgnąć?
Płyny do płukania ust z chlorheksydyną to bardzo skuteczne wsparcie w leczeniu stanów zapalnych dziąseł. Chlorheksydyna jest silnym środkiem antyseptycznym, który ogranicza gromadzenie się płytki nazębnej i zabija bakterie odpowiedzialne za infekcje. Stosuje się je zazwyczaj przez krótki okres (np. 7-14 dni), zgodnie z zaleceniami producenta lub dentysty, ponieważ długotrwałe używanie może prowadzić do przebarwień zębów i zaburzeń smaku. Są szczególnie polecane po zabiegach chirurgicznych w jamie ustnej lub w ostrych stanach zapalnych.
Leki przeciwbólowe: doraźne rozwiązanie problemu
W przypadku silnego bólu dziąseł, który utrudnia funkcjonowanie, można sięgnąć po ogólnodostępne leki przeciwbólowe, takie jak paracetamol czy ibuprofen. Pamiętajmy jednak, że leki te jedynie uśmierzają objawy, nie eliminując przyczyny problemu. Są to rozwiązania doraźne, które mają za zadanie przynieść ulgę do momentu wizyty u stomatologa. Zawsze stosuj je zgodnie z ulotką i nie przekraczaj zalecanych dawek.
Ból dziąseł w różnych grupach wiekowych: od niemowlaka po dorosłego
Ból dziąseł to dolegliwość, która może dotknąć każdego, niezależnie od wieku. Jednak przyczyny i sposoby radzenia sobie z problemem często różnią się w zależności od etapu życia. Inaczej podchodzimy do ząbkującego niemowlaka, inaczej do kobiety w ciąży, a jeszcze inaczej do osoby dorosłej z zaawansowanym zapaleniem dziąseł. Ważne jest, aby znać specyfikę tych dolegliwości, by móc skutecznie pomóc.
Bolące dziąsła u niemowlaka: jak pomóc maluchowi podczas ząbkowania?
Ząbkowanie to naturalny, ale często bolesny etap w życiu każdego niemowlaka. Rodzice często obserwują wtedy takie objawy jak obfite ślinienie, rozpulchnione i zaczerwienione dziąsła, wkładanie rączek do ust, rozdrażnienie, problemy ze snem, a czasem nawet lekki wzrost temperatury. Oto kilka sprawdzonych sposobów, aby ulżyć maluchowi:
- Schłodzone gryzaki: Gumowe gryzaki schłodzone w lodówce (nigdy w zamrażarce!) przynoszą ulgę, masując i znieczulając dziąsła.
- Masaż dziąseł: Delikatny masaż czystym palcem lub specjalną silikonową szczoteczką-nakładką może ukoić ból.
- Specjalne żele na ząbkowanie: Dostępne w aptekach żele zawierające substancje łagodzące i miejscowo znieczulające, przeznaczone dla niemowląt. Zawsze upewnij się, że są bezpieczne dla dziecka i stosuj zgodnie z instrukcją.
- Czystość: Regularne przemywanie buzi i dziąseł gazikiem nasączonym przegotowaną wodą pomaga utrzymać higienę.
Ból dziąsła w ciąży: dlaczego to częsty problem i jak sobie z nim radzić?
Ciąża to wyjątkowy czas, ale niestety często towarzyszą jej zmiany w organizmie, które mogą wpływać na zdrowie jamy ustnej. Zmiany hormonalne (wzrost poziomu estrogenów i progesteronu) powodują, że dziąsła stają się bardziej wrażliwe, skłonne do krwawień i stanów zapalnych to tzw. ciążowe zapalenie dziąseł. W takiej sytuacji szczególnie ważna jest rygorystyczna higiena jamy ustnej, regularne szczotkowanie miękką szczoteczką i nitkowanie. Warto również stosować delikatne płukanki ziołowe (np. z rumianku) lub te przepisane przez dentystę, bezpieczne dla kobiet w ciąży. Ważne jest, aby nie lekceważyć problemu i skonsultować się ze stomatologiem, który dobierze bezpieczne metody leczenia.
Przeczytaj również: Zapalenie dziąseł: skuteczne sposoby i leczenie poradnik eksperta
Kiedy ból dziąseł wymaga wizyty u dentysty? Nie lekceważ tych objawów!
Chociaż domowe sposoby i preparaty bez recepty mogą przynieść doraźną ulgę, muszę podkreślić, że są to tylko tymczasowe rozwiązania. Jeśli ból dziąseł utrzymuje się lub towarzyszą mu inne niepokojące objawy, wizyta u dentysty jest absolutnie niezbędna. Lekceważenie problemu może prowadzić do poważnych konsekwencji dla zdrowia jamy ustnej i całego organizmu.
Objawy alarmowe, które wymagają natychmiastowej konsultacji
Niektóre objawy powinny natychmiast skłonić Cię do umówienia wizyty u stomatologa. Nie czekaj, jeśli zauważysz:
- Silny, pulsujący ból, który nie ustępuje po lekach przeciwbólowych.
- Brak poprawy po kilku dniach stosowania domowych sposobów lub preparatów aptecznych.
- Wysoka gorączka towarzysząca bólowi dziąseł.
- Ropny wyciek z dziąsła lub obecność ropnia.
- Znaczna opuchlizna policzka lub całej twarzy.
- Powiększenie węzłów chłonnych pod żuchwą lub na szyi.
- Trudności w otwieraniu ust lub przełykaniu.
- Rozchwianie zębów lub ich przemieszczenie.
Jak zapobiegać bólowi dziąseł? Kluczowe zasady profilaktyki
Najlepszym sposobem na uniknięcie bólu dziąseł jest skuteczna profilaktyka. To proste zasady, które każdy z nas powinien wdrożyć w codzienne życie:
- Prawidłowa higiena jamy ustnej: Szczotkuj zęby co najmniej dwa razy dziennie (najlepiej po każdym posiłku) przez minimum 2 minuty, używając miękkiej lub średniej szczoteczki i pasty z fluorem.
- Używanie nici dentystycznej: Codzienne nitkowanie usuwa płytkę bakteryjną i resztki jedzenia z przestrzeni międzyzębowych, gdzie szczoteczka nie dociera.
- Płyny do płukania ust: Stosuj płyny do płukania ust, najlepiej te z fluorem, które dodatkowo wzmacniają szkliwo.
- Regularne wizyty u dentysty: Przynajmniej raz na 6-12 miesięcy, nawet jeśli nic Cię nie boli. Dentysta oceni stan zdrowia jamy ustnej i wykona profesjonalne czyszczenie (skaling i piaskowanie), usuwając kamień nazębny.
- Zdrowa dieta: Ogranicz spożycie cukru i przetworzonej żywności, które sprzyjają rozwojowi bakterii. Postaw na warzywa, owoce i produkty bogate w witaminy.
- Unikanie palenia papierosów: Palenie jest jednym z głównych czynników ryzyka chorób dziąseł.
Nieleczone zapalenie dziąseł: czym grozi i jak może wpłynąć na cały organizm?
Nieleczone zapalenie dziąseł to nie tylko ból i dyskomfort. To problem, który może mieć poważne konsekwencje. Początkowe zapalenie dziąseł (gingivitis) może przekształcić się w paradontozę, czyli chorobę przyzębia. W jej przebiegu dochodzi do niszczenia tkanek otaczających ząb kości i więzadeł, co w efekcie prowadzi do rozchwiania, a nawet utraty zębów. Co więcej, przewlekłe stany zapalne w jamie ustnej mogą mieć wpływ na ogólny stan zdrowia organizmu, zwiększając ryzyko chorób serca, cukrzycy, a nawet powikłań w ciąży. Dlatego tak ważne jest, aby nie lekceważyć bólu dziąseł i dbać o ich zdrowie.
