Jak rozpoznać torbiel zęba? Kluczowe objawy i co robić
- Torbiel zęba to patologiczna jama w kości, często rozwijająca się bezobjawowo przez lata.
- Najczęstszą przyczyną jest nieleczony stan zapalny miazgi zęba lub tkanek okołowierzchołkowych.
- Wczesne objawy są subtelne (np. zmiana koloru zęba), zaawansowane to ból, opuchlizna dziąsła/twarzy, przetoka ropna, rozchwianie zębów.
- Brak bólu nie wyklucza obecności torbieli, często wykrywana jest przypadkowo na zdjęciu RTG.
- Nieleczona torbiel niszczy kość, może prowadzić do utraty zębów, zapalenia zatok, a nawet złamania szczęki.
- Diagnostyka opiera się na zdjęciach RTG i tomografii CBCT, leczenie to endodoncja lub zabieg chirurgiczny.
Czym jest torbiel zębowa i dlaczego nie można jej lekceważyć?
Torbiel zębowa to patologiczna jama wypełniona płynem, otoczona torebką łącznotkankową, która rozwija się w kości szczęki lub żuchwy. Nie jest to zwykłe zapalenie, które samoistnie minie. Mówimy tu o poważnej zmianie, która stopniowo, ale nieustannie, niszczy otaczającą kość i może prowadzić do bardzo poważnych powikłań. Z mojego doświadczenia wiem, że wielu pacjentów lekceważy początkowe symptomy lub w ogóle nie zdaje sobie sprawy z obecności torbieli, co niestety opóźnia leczenie i zwiększa ryzyko komplikacji.
Skąd bierze się torbiel? Najczęstsze przyczyny powstawania zmian w kości
Powstawanie torbieli zębowej jest złożonym procesem, często związanym z przewlekłymi stanami zapalnymi. Oto najczęstsze przyczyny, z którymi spotykam się w mojej praktyce:
- Przewlekły, nieleczony stan zapalny tkanek okołowierzchołkowych: To najczęstsza przyczyna. Martwica miazgi zęba, często wynikająca z głębokiej próchnicy lub urazu, prowadzi do przewlekłego stanu zapalnego na wierzchołku korzenia, który z czasem może ewoluować w torbiel.
- Głęboka próchnica: Nieleczona próchnica, która dotarła do miazgi zęba, jest często początkiem problemu, prowadząc do jej infekcji i martwicy.
- Uraz zęba: Nawet pozornie niegroźny uraz może uszkodzić miazgę zęba, prowadząc do jej martwicy i w konsekwencji do rozwoju torbieli po latach.
- Powikłania po leczeniu kanałowym: Niekiedy, mimo leczenia kanałowego, w kanale pozostają bakterie, które mogą prowadzić do przewlekłego stanu zapalnego i tworzenia się torbieli.
- Zaburzenia w rozwoju zębów: Na przykład zatrzymany ząb mądrości, czyli taki, który nie wyrżnął się prawidłowo, może być źródłem torbieli zawiązkowych.
- Pozostałości tkanek nabłonkowych: W kości mogą pozostać resztki komórek nabłonkowych z okresu rozwoju zębów, które pod wpływem bodźców zapalnych mogą zacząć się rozrastać, tworząc torbiel.
Dlaczego wczesne wykrycie jest kluczowe dla zdrowia Twoich zębów?
Wczesne wykrycie torbieli jest absolutnie kluczowe dla zdrowia jamy ustnej i ogólnego samopoczucia. Pozwala to uniknąć rozległego niszczenia kości, które torbiel powoduje w miarę swojego wzrostu. Kiedy zmiana jest mała, często możemy ją wyleczyć mniej inwazyjnymi metodami, takimi jak ponowne leczenie kanałowe lub niewielki zabieg chirurgiczny, zachowując przy tym ząb. Ignorowanie torbieli, która cicho rośnie, może prowadzić do utraty zęba przyczynowego, a nawet sąsiednich zębów, oraz konieczności znacznie bardziej skomplikowanych i rozległych zabiegów chirurgicznych, włączając w to odbudowę kości. Im szybciej zareagujemy, tym większe szanse na pełne wyleczenie i minimalizację negatywnych konsekwencji.

Kluczowe objawy torbieli zęba: na te sygnały musisz zwrócić uwagę
Chociaż torbiel zęba często rozwija się bezobjawowo przez długi czas, z czasem pojawiają się sygnały, które powinny wzbudzić nasz niepokój i skłonić do wizyty u stomatologa. Jako stomatolog zawsze podkreślam, że uważna obserwacja własnego ciała to pierwszy krok do wczesnej diagnozy.
Pierwsze, dyskretne symptomy, które łatwo przeoczyć
W początkowej fazie torbiel zęba jest prawdziwą "cichą bombą". Może rozwijać się przez wiele miesięcy, a nawet lat, nie dając żadnych wyraźnych sygnałów. Pacjenci często są zaskoczeni diagnozą, ponieważ nic im nie dolegało. Jednak przy bardzo uważnej obserwacji, można czasem wychwycić pewne dyskretne symptomy. Może to być łagodny, sporadyczny ból, który pojawia się i znika, często mylony ze zwykłym dyskomfortem. Innym sygnałem jest zmiana koloru zęba ząb dotknięty torbielą może stać się ciemniejszy, siny lub matowy, co świadczy o martwicy miazgi. Te subtelne oznaki są łatwe do przeoczenia, ale to właśnie one powinny zapalić czerwoną lampkę.
Zaawansowane objawy, które świadczą o dużym problemie
Gdy torbiel osiągnie znaczne rozmiary, objawy stają się znacznie bardziej dokuczliwe i niepokojące. Wskazują one na zaawansowany problem i bezwzględną konieczność interwencji:
- Silny, pulsujący ból: Często nasila się przy nagryzaniu, dotyku lub zmianach temperatury. Może promieniować do ucha, oka lub skroni.
- Wyraźna opuchlizna dziąsła i twarzy: Obrzęk w okolicy chorego zęba, który może rozprzestrzeniać się na policzek, wargę, a nawet całą stronę twarzy, powodując asymetrię.
- Przetoka ropna: Niewielki guzek lub otwór na dziąśle, z którego okresowo wydobywa się ropa. Jest to znak, że organizm próbuje znaleźć ujście dla nagromadzonego płynu i bakterii.
- Rozchwianie zębów: Torbiel, niszcząc kość, może prowadzić do ruchomości zęba przyczynowego, a także sąsiednich zębów.
- Asymetria twarzy: W przypadku bardzo dużych torbieli, zwłaszcza w szczęce, może dojść do widocznego zniekształcenia kości i zmiany rysów twarzy.
- Charakterystyczne "trzeszczenie pergaminowe": Przy ucisku na zmienione miejsce, pacjent może odczuwać specyficzne trzeszczenie, świadczące o znacznym zniszczeniu kości.
Widoczne oznaki na dziąśle i twarzy: kiedy opuchlizna to alarm?
Opuchlizna związana z torbielą zęba to jeden z najbardziej alarmujących objawów. Początkowo może to być jedynie niewielkie zgrubienie dziąsła w okolicy zęba, które łatwo zignorować. Jednak w miarę wzrostu torbieli, obrzęk staje się coraz bardziej widoczny. Może objawiać się jako wyraźna wypukłość na dziąśle, a następnie rozprzestrzeniać się na tkanki miękkie twarzy policzek, wargę, a nawet okolice oka. Pojawienie się opuchlizny jest sygnałem, że torbiel jest już duża i prawdopodobnie doszło do jej zakażenia. Często towarzyszy temu przetoka ropna, czyli mały otwór na dziąśle, przez który wydostaje się ropa. Wszelka opuchlizna w obrębie jamy ustnej lub twarzy, zwłaszcza jeśli towarzyszy jej ból, wymaga natychmiastowej konsultacji stomatologicznej. Nie ma tu miejsca na zwłokę.
Ból zęba a torbiel: jak odróżnić typowy ból od sygnału zagrożenia?
Ból zęba jest sygnałem ostrzegawczym, którego nigdy nie należy ignorować. Ból związany z torbielą ma często specyficzny charakter. Zazwyczaj jest to ból ćmiący, uporczywy i pulsujący, który może nasilać się przy nagryzaniu, dotyku, a nawet przy zmianach ciśnienia atmosferycznego. Często promieniuje w kierunku ucha, oka lub skroni, co utrudnia precyzyjne wskazanie chorego zęba. W przeciwieństwie do typowego bólu zęba wywołanego próchnicą, który może być ostry i krótkotrwały, ból torbielowy jest bardziej przewlekły i męczący. Co ważne, może on pojawiać się i znikać, co bywa mylące. Jeśli doświadczasz takiego bólu, szczególnie w połączeniu z opuchlizną, rozchwianiem zęba czy zmianą jego koloru, to jest to wyraźny sygnał, że potrzebujesz pilnej diagnostyki.Dlaczego torbiel zęba może rozwijać się bezobjawowo przez lata?
Torbiel zęba to prawdziwa "bomba z opóźnionym zapłonem". Jej zdolność do bezobjawowego rozwoju przez wiele lat jest jedną z najbardziej zdradliwych cech. Mechanizm jest prosty: torbiel powiększa się powoli, stopniowo niszcząc i wypierając otaczającą kość. Ponieważ kość jest tkanką stosunkowo elastyczną i nieunerwioną w taki sposób jak miazga zęba, ten proces początkowo nie powoduje bólu ani innych widocznych objawów. Pacjent nie odczuwa dyskomfortu, a torbiel rośnie w ciszy, osiągając czasem znaczne rozmiary, zanim zacznie uciskać na nerwy, sąsiednie zęby lub spowoduje widoczną deformację. To właśnie dlatego rutynowe kontrole stomatologiczne są tak ważne pozwalają wykryć problem, zanim stanie się on poważny.
Rola przypadkowych zdjęć RTG w diagnozowaniu ukrytych zmian
Właśnie ze względu na bezobjawowy przebieg, rutynowe zdjęcia rentgenowskie odgrywają kluczową rolę w diagnozowaniu torbieli. Bardzo często torbiel jest wykrywana przypadkowo, podczas wykonywania pantomogramu (zdjęcia przeglądowego wszystkich zębów) lub zdjęcia punktowego zęba, które zlecane są z zupełnie innych przyczyn na przykład przed leczeniem ortodontycznym, protetycznym, czy podczas ogólnej kontroli. To właśnie te "przypadkowe" odkrycia ratują zęby i zapobiegają poważnym powikłaniom, ponieważ torbiel zostaje zlokalizowana, zanim zdąży narobić dużych szkód i wywołać ból.
Czy brak bólu oznacza brak problemu? Niekoniecznie
Zdecydowanie muszę podkreślić: brak bólu nie jest równoznaczny z brakiem problemu! To bardzo częste i niebezpieczne przekonanie. Jak już wspomniałem, torbiel może rosnąć i niszczyć kość w absolutnej ciszy przez długi czas. Brak dolegliwości bólowych nie oznacza, że torbiel nie postępuje. Wręcz przeciwnie może to świadczyć o tym, że jeszcze nie osiągnęła rozmiarów, które wywołują ucisk na nerwy lub inne struktury. Ignorowanie bezobjawowej torbieli to prosta droga do poważnych konsekwencji, takich jak rozległe zniszczenia kości, utrata zębów, a nawet wspomniane wcześniej złamania szczęki czy przewlekłe zapalenie zatok. Regularne wizyty u stomatologa i diagnostyka radiologiczna to jedyna skuteczna profilaktyka.
Nieleczona torbiel zęba: jakie są realne zagrożenia i powikłania?
Ignorowanie torbieli zęba to niestety przepis na eskalację problemów zdrowotnych. Torbiel nie zniknie sama, a wręcz przeciwnie będzie się powiększać, prowadząc do coraz poważniejszych i trudniejszych do wyleczenia powikłań. Jako stomatolog widziałem, jak mała, początkowo bezobjawowa zmiana, z czasem przekształcała się w rozległy problem.
Jak torbiel niszczy kość i zagraża sąsiednim zębom?
Głównym zagrożeniem ze strony torbieli jest jej destrukcyjny wpływ na otaczającą kość. Torbiel rośnie, wywierając nacisk i powodując resorpcję (zniszczenie) tkanki kostnej. W efekcie, kość wokół zęba przyczynowego ulega osłabieniu, co prowadzi do jego rozchwiania, a w konsekwencji nawet do utraty. Co więcej, duża torbiel może również zagrażać sąsiednim zębom, powodując ich ruchomość, a nawet resorpcję korzeni. To domino, gdzie jeden problem pociąga za sobą kolejne.
Ryzyko złamania szczęki i problemów z zatokami: czy to możliwe?
Tak, to niestety możliwe i są to bardzo poważne powikłania. W przypadku torbieli zlokalizowanych w szczęce, ich wzrost może prowadzić do wtłoczenia się do zatoki szczękowej. To z kolei skutkuje przewlekłym zapaleniem zatok, które jest trudne do wyleczenia bez usunięcia pierwotnej przyczyny. Jeszcze groźniejsza sytuacja może wystąpić w żuchwie. Duże torbiele, niszcząc znaczną część kości, mogą doprowadzić do jej tak znacznego osłabienia, że dojdzie do patologicznego złamania żuchwy nawet przy niewielkim urazie lub spontanicznie. To pokazuje, jak poważnym problemem jest nieleczona torbiel.
Od stanu zapalnego do ropnia: groźne konsekwencje ignorowania objawów
Nieleczona torbiel jest przewlekłym ogniskiem zapalnym. Z czasem może dojść do jej ostrego zakażenia, co prowadzi do powstania ropnia bolesnego zbiornika ropy, który wymaga natychmiastowej interwencji. Może również rozwinąć się przewlekłe zapalenie okostnej. W bardzo rzadkich, ale niezwykle groźnych przypadkach, istnieje również ryzyko transformacji nowotworowej torbieli, na przykład w szkliwiaka (ameloblastoma), który jest łagodnym, ale miejscowo agresywnym nowotworem. To są skrajne scenariusze, ale ich możliwość podkreśla, jak ważne jest wczesne i skuteczne leczenie.

Jak dentysta diagnozuje torbiel? Nowoczesne i bezbolesne metody wykrywania
Współczesna stomatologia dysponuje szeregiem nowoczesnych i całkowicie bezbolesnych metod diagnostycznych, które pozwalają na precyzyjne wykrycie torbieli zęba. Moim zadaniem jest zapewnienie pacjentom komfortu i pewności, że diagnoza jest trafna i kompleksowa.
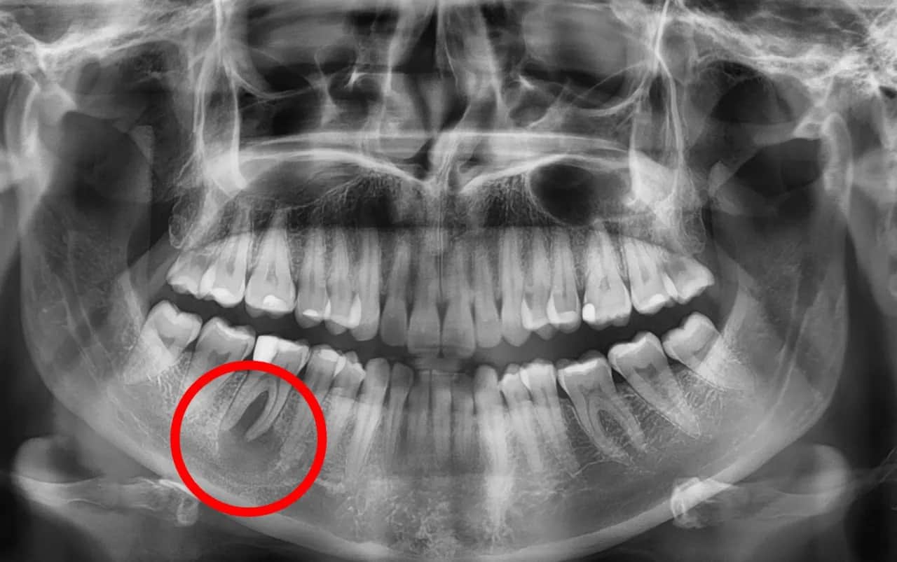
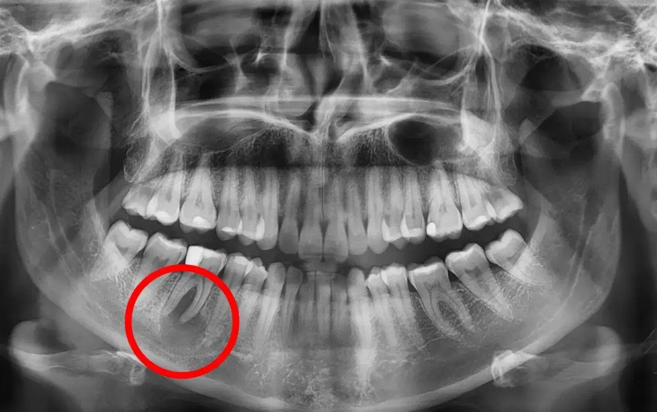
Rola zdjęcia RTG: co stomatolog widzi na pantogramie?
Podstawowym narzędziem diagnostycznym, które pozwala mi zidentyfikować torbiel, jest zdjęcie rentgenowskie (RTG). Wykonujemy zarówno zdjęcia pantomograficzne, które dają przegląd całej szczęki i żuchwy, jak i zdjęcia punktowe, precyzyjnie obrazujące konkretny ząb i jego okolice. Na zdjęciu RTG torbiel jest widoczna jako wyraźne, okrągłe lub owalne przejaśnienie w strukturze kości, często z wyraźnymi, gładkimi granicami. To właśnie dzięki RTG możemy wykryć wiele bezobjawowych torbieli, które w innym przypadku pozostałyby niezauważone.
Tomografia komputerowa (CBCT): kiedy potrzebna jest precyzyjna diagnoza 3D?
W bardziej skomplikowanych przypadkach, gdy torbiel jest duża, znajduje się w pobliżu ważnych struktur anatomicznych (takich jak nerwy, zatoki szczękowe) lub gdy potrzebuję pełnego obrazu trójwymiarowego, zlecamy tomografię komputerową wiązki stożkowej (CBCT). CBCT to obecnie złoty standard w nowoczesnej diagnostyce stomatologicznej. Pozwala mi na dokładną ocenę rozmiaru, precyzyjnej lokalizacji torbieli oraz jej relacji z sąsiednimi zębami i strukturami kostnymi. Dzięki temu mogę zaplanować leczenie z najwyższą precyzją, minimalizując ryzyko powikłań.
Czy badanie diagnostyczne boli? Przebieg wizyty krok po kroku
Chcę uspokoić wszystkich pacjentów badania diagnostyczne w kierunku torbieli, zarówno RTG, jak i CBCT, są całkowicie bezbolesne. Wizyta diagnostyczna zazwyczaj rozpoczyna się od szczegółowego wywiadu i badania klinicznego jamy ustnej. Następnie wykonujemy niezbędne zdjęcia radiologiczne. Cały proces jest szybki i komfortowy. Po uzyskaniu obrazów wspólnie omawiamy wyniki, wyjaśniam, co widać na zdjęciach i przedstawiam możliwe opcje leczenia. Moim celem jest, aby pacjent czuł się w pełni poinformowany i bezpieczny na każdym etapie.
Od leczenia kanałowego po chirurgię: jak skutecznie pozbyć się torbieli?
Skuteczne pozbycie się torbieli zęba jest kluczowe dla zachowania zdrowia jamy ustnej. Metoda leczenia zależy od wielu czynników, takich jak wielkość torbieli, jej lokalizacja oraz stan zęba przyczynowego. W mojej praktyce zawsze dążę do wyboru najmniej inwazyjnej, ale jednocześnie najskuteczniejszej opcji.
Leczenie kanałowe: czy zawsze wystarczy, by uratować ząb?
W przypadku małych torbieli korzeniowych, które są efektem martwicy miazgi, leczenie kanałowe (endodontyczne) może być wystarczające. Polega ono na usunięciu zainfekowanej miazgi z kanałów korzeniowych, ich dokładnym oczyszczeniu, zdezynfekowaniu i szczelnym wypełnieniu. Prawidłowo przeprowadzone leczenie kanałowe często prowadzi do wygojenia się zmiany na wierzchołku korzenia i resorpcji torbieli. Niestety, nie zawsze jest to wystarczające. Przy większych torbielach, leczenie kanałowe może być pierwszym etapem, ale często wymaga uzupełnienia o interwencję chirurgiczną.
Kiedy konieczna jest interwencja chirurga? Omówienie zabiegów
Leczenie chirurgiczne staje się koniecznością w przypadku większych torbieli, gdy leczenie kanałowe okazało się nieskuteczne, lub gdy torbiel jest zlokalizowana w miejscu, gdzie leczenie endodontyczne jest niemożliwe. Współczesna chirurgia stomatologiczna oferuje kilka skutecznych procedur.
Resekcja wierzchołka korzenia: na czym polega ten zabieg?
Resekcja wierzchołka korzenia to zabieg, który pozwala na usunięcie torbieli przy jednoczesnym zachowaniu zęba. Polega on na chirurgicznym odsłonięciu wierzchołka korzenia zęba, usunięciu zainfekowanej części korzenia wraz z torbielą, a następnie wstecznym wypełnieniu kanału korzeniowego. To doskonała opcja, gdy ząb jest stabilny i ma dobrą prognozę, a torbiel jest ograniczona do okolicy wierzchołka.Wyłuszczenie torbieli z ekstrakcją zęba: kiedy to ostateczność?
Wyłuszczenie torbieli, czyli chirurgiczne usunięcie całej zmiany wraz z jej torebką, jest często stosowane w przypadku dużych torbieli. Niestety, w wielu przypadkach, gdy ząb przyczynowy jest już bardzo zniszczony, rozchwiany lub nie kwalifikuje się do dalszego leczenia, wyłuszczenie torbieli jest połączone z ekstrakcją zęba. To ostateczność, ale czasem jedyna droga do całkowitego wyleczenia i zapobieżenia nawrotom.
Czy leczenie torbieli zęba jest bolesne? Nowoczesne znieczulenie w praktyce
Wielu pacjentów obawia się bólu związanego z leczeniem torbieli. Chcę zapewnić, że dzięki nowoczesnym technikom znieczulenia miejscowego, zarówno leczenie kanałowe, jak i zabiegi chirurgiczne są całkowicie bezbolesne. Pacjent odczuwa jedynie delikatne ukłucie podczas podawania znieczulenia. Po zabiegu może wystąpić pewien dyskomfort, obrzęk lub ból, który jest łatwy do opanowania za pomocą standardowych leków przeciwbólowych. Zawsze szczegółowo omawiam z pacjentem, czego może się spodziewać po zabiegu i jak dbać o okolicę operowaną, aby rekonwalescencja przebiegła sprawnie.
Masz podejrzenia? Nie czekaj: dlaczego natychmiastowa wizyta u stomatologa jest kluczowa
Jeśli masz jakiekolwiek podejrzenia dotyczące torbieli zęba, odczuwasz ból, zauważyłeś opuchliznę lub inną niepokojącą zmianę, nie czekaj ani chwili. Natychmiastowa wizyta u stomatologa jest kluczowa. Torbiel nie jest problemem, który rozwiąże się sam, a każda zwłoka zwiększa ryzyko poważnych powikłań i utraty zębów. Pamiętaj, że wczesna diagnoza i leczenie to najlepsza droga do zachowania zdrowego uśmiechu.
Domowe sposoby na torbiel: dlaczego nie działają i są niebezpieczne?
Zdecydowanie odradzam wszelkie próby leczenia torbieli zęba domowymi sposobami. Niestety, w internecie krąży wiele mitów na ten temat. Płukanki ziołowe, okłady czy inne "naturalne" metody są całkowicie nieskuteczne w przypadku torbieli, która jest patologiczną jamą w kości. Co więcej, mogą one pogorszyć stan zapalny, opóźnić właściwe leczenie i doprowadzić do poważniejszych powikłań, takich jak ropień czy rozprzestrzenienie się infekcji. Tylko profesjonalna diagnostyka i leczenie stomatologiczne mogą skutecznie usunąć torbiel i zapobiec jej nawrotom.
Podsumowanie najważniejszych objawów: Twoja lista kontrolna
Aby ułatwić Ci monitorowanie zdrowia jamy ustnej, przygotowałem zwięzłą listę najważniejszych objawów, które powinny skłonić Cię do wizyty u dentysty:
- Ból zęba: Szczególnie ćmiący, pulsujący, nasilający się przy nagryzaniu lub promieniujący.
- Opuchlizna: Widoczne zgrubienie dziąsła lub obrzęk twarzy w okolicy zęba.
- Przetoka ropna: Niewielki guzek na dziąśle, z którego wydobywa się ropa.
- Rozchwianie zęba: Ząb staje się ruchomy, choć wcześniej był stabilny.
- Zmiana koloru zęba: Ząb staje się ciemniejszy, siny lub matowy.
Przeczytaj również: Separacja zębów: Czy boli? Sprawdzone sposoby na ulgę!
Jak przygotować się do wizyty u dentysty z podejrzeniem torbieli?
Przygotowanie do wizyty u dentysty może pomóc w szybszej i dokładniejszej diagnozie. Oto kilka praktycznych wskazówek:
- Spisz objawy: Zanotuj, kiedy pojawiły się pierwsze objawy, jaki mają charakter (np. rodzaj bólu, czy jest stały, czy nasila się), i co, jeśli w ogóle, przynosi ulgę.
- Historia stomatologiczna: Przypomnij sobie, czy ząb, który podejrzewasz o problem, był wcześniej leczony kanałowo, czy doznał urazu.
- Pytania: Przygotuj listę pytań do lekarza to pomoże Ci zrozumieć diagnozę i plan leczenia.
Pamiętaj, że jestem tu, aby Ci pomóc. Nie wahaj się szukać profesjonalnej pomocy, jeśli masz jakiekolwiek obawy dotyczące torbieli zęba.
