Recesja dziąseł: Czy utracona tkanka może odrosnąć i jak temu zaradzić?
- Utracona tkanka dziąsłowa nie odrasta samoistnie. Recesja dziąseł jest procesem nieodwracalnym bez interwencji specjalistycznej.
- Recesja dziąseł to stan, w którym dochodzi do odsłonięcia szyjek i korzeni zębów, prowadząc do nadwrażliwości i problemów estetycznych.
- Główne przyczyny obejmują niewłaściwą higienę, agresywne szczotkowanie, wady zgryzu, bruksizm i predyspozycje genetyczne.
- Skuteczne leczenie wymaga profesjonalnej interwencji, takiej jak skaling, kiretaż, a często także zabiegi chirurgiczne, np. przeszczep dziąsła.
- Kluczowa jest profilaktyka, w tym prawidłowa technika szczotkowania, regularne nitkowanie i wizyty u stomatologa.
- Domowe sposoby mogą jedynie wspomagać zdrowie dziąseł, ale nie są w stanie cofnąć recesji ani zastąpić leczenia.
Zacznijmy od najważniejszej kwestii, która nurtuje wiele osób: czy dziąsła mają zdolność do samoistnej regeneracji? Niestety, muszę jasno powiedzieć, że utracona tkanka dziąsłowa, która uległa zanikowi w wyniku recesji, nie odrasta do pierwotnego stanu. Proces ten jest nieodwracalny bez profesjonalnej interwencji.
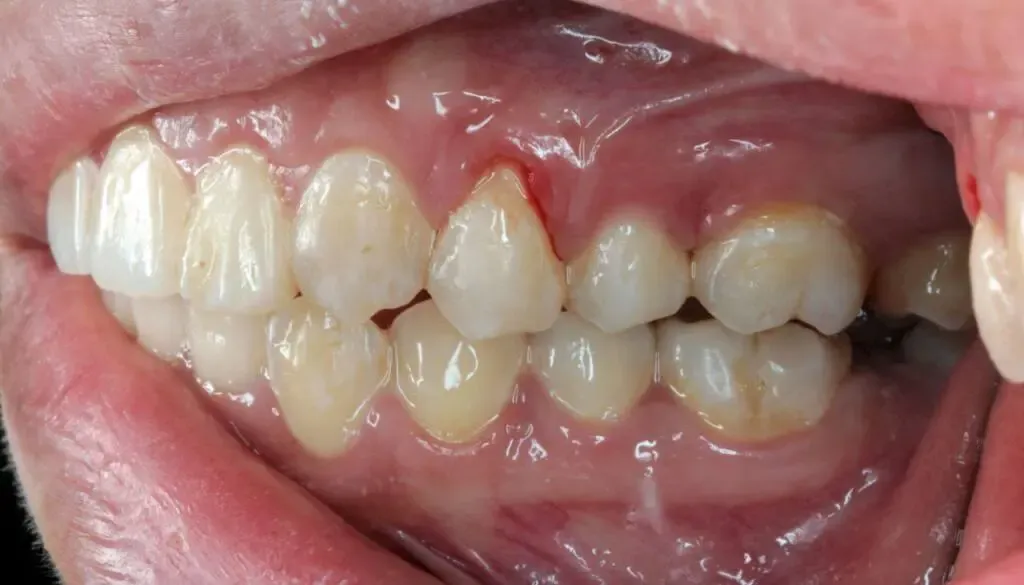
Recesja dziąseł to problem medyczny, który polega na stopniowym cofaniu się brzegu dziąsła, co prowadzi do odsłonięcia szyjek, a nawet korzeni zębów. Skutkuje to nie tylko pogorszeniem estetyki uśmiechu, ale przede wszystkim zwiększoną nadwrażliwością na bodźce termiczne i chemiczne, a także większym ryzykiem rozwoju próchnicy korzeni i chorób przyzębia. Bez odpowiedniego leczenia, ten stan może prowadzić do poważniejszych konsekwencji.

Dlaczego dziąsła się cofają? Poznaj główne przyczyny
Z mojego doświadczenia wynika, że recesja dziąseł rzadko ma jedną, izolowaną przyczynę. Zazwyczaj jest to wynik współdziałania kilku czynników. Oto najczęstsze z nich, na które zwracam uwagę w swojej praktyce:
- Niewłaściwa technika szczotkowania: Agresywne, poziome ruchy szczoteczką o twardym włosiu to jeden z głównych winowajców. Zamiast delikatnie oczyszczać, dosłownie "zdzieramy" tkankę dziąsłową.
- Niewystarczająca higiena jamy ustnej: Brak regularnego i dokładnego usuwania płytki nazębnej prowadzi do gromadzenia się kamienia nazębnego. Ten z kolei podrażnia dziąsła, wywołując stan zapalny (zapalenie dziąseł, a następnie paradontozę), co jest prostą drogą do recesji.
- Wady zgryzu i przeciążenia zębów: Nieprawidłowe ułożenie zębów lub wady zgryzu mogą prowadzić do nierównomiernego rozłożenia sił podczas żucia. Niektóre zęby są wtedy nadmiernie obciążone, co może skutkować uszkodzeniem kości i dziąsła wokół nich.
- Bruksizm (zgrzytanie zębami): Niekontrolowane zgrzytanie lub zaciskanie zębów, często podczas snu, wywiera ogromny nacisk na zęby i otaczające je tkanki. To przewlekłe przeciążenie może przyczyniać się do cofania się dziąseł.
- Predyspozycje genetyczne: Niektórzy z nas po prostu mają genetycznie uwarunkowany tzw. cienki biotyp dziąsła. Takie dziąsła są bardziej delikatne i podatne na recesję, nawet przy prawidłowej higienie.
- Palenie papierosów: Palenie znacząco osłabia układ odpornościowy, upośledza ukrwienie dziąseł i utrudnia gojenie się tkanek. To sprawia, że palacze są znacznie bardziej narażeni na choroby przyzębia i recesję.
- Zmiany hormonalne: Wahania hormonalne, np. w okresie ciąży, menopauzy czy podczas przyjmowania niektórych leków, mogą wpływać na wrażliwość dziąseł i ich podatność na stany zapalne.
- Nieprawidłowo wykonane wypełnienia lub uzupełnienia protetyczne: Wystające, niedopasowane wypełnienia lub korony mogą drażnić dziąsło, prowadząc do jego stanu zapalnego i w konsekwencji do recesji.
Jak rozpoznać recesję dziąseł? Zwróć uwagę na te objawy
Wczesne rozpoznanie recesji dziąseł jest kluczowe dla skutecznego leczenia. Oto objawy, na które powinieneś zwrócić uwagę:
- Optyczne wydłużenie zębów: To często pierwszy sygnał, który zauważają pacjenci. Zęby wydają się dłuższe niż kiedyś, ponieważ linia dziąsła się obniżyła.
- Zwiększona wrażliwość na zimno, ciepło i kwaśne pokarmy: Odsłonięte szyjki i korzenie zębów nie są chronione szkliwem, co sprawia, że bodźce termiczne i chemiczne docierają bezpośrednio do zakończeń nerwowych, wywołując ból.
- Widoczne wgłębienia przy linii dziąsła: Możesz zauważyć ubytki tkanki dziąsłowej, które tworzą charakterystyczne "kieszonki" lub zagłębienia u podstawy zęba.
- Krwawienie lub zaczerwienienie dziąseł: Choć to objawy zapalenia dziąseł, często towarzyszą recesji. Dziąsła mogą być opuchnięte, tkliwe i krwawić podczas szczotkowania lub nitkowania.
- Ruchomość zębów w zaawansowanych stadiach: W bardzo zaawansowanych przypadkach recesji, gdy dochodzi do znacznego ubytku kości wspierającej ząb, może pojawić się jego ruchomość. To sygnał alarmowy, którego absolutnie nie wolno ignorować.
Jeśli zauważysz u siebie którykolwiek z tych objawów, nie zwlekaj z wizytą u stomatologa lub periodontologa. Wczesna diagnoza i leczenie mogą zapobiec dalszemu postępowi recesji i poważniejszym problemom.

Recesja to nie wyrok! Skuteczne metody leczenia w Polsce
Chociaż utracona tkanka dziąsłowa nie odrasta samoistnie, medycyna stomatologiczna oferuje szereg skutecznych metod leczenia, które pozwalają zatrzymać proces recesji, a często nawet odbudować utracone dziąsło. Jako Olgierd Kowalski, zawsze podkreślam, że kluczem jest indywidualne podejście i wybór odpowiedniej metody przez specjalistę periodontologa.
Leczenie niechirurgiczne
Podstawą każdego leczenia chorób dziąseł, w tym recesji, jest eliminacja stanu zapalnego. Obejmuje to profesjonalne zabiegi higienizacyjne: skaling naddziąsłowy i poddziąsłowy, czyli usunięcie kamienia nazębnego z powierzchni zębów i spod linii dziąseł. W bardziej zaawansowanych przypadkach konieczny jest kiretaż, czyli głębokie czyszczenie kieszonek dziąsłowych, aby usunąć z nich bakterie i zmienione zapalnie tkanki. Te zabiegi są fundamentem, bez którego żadne dalsze leczenie nie będzie skuteczne.Leczenie chirurgiczne przeszczep dziąsła
Gdy recesja jest już zaawansowana i chcemy pokryć odsłonięte korzenie, najpopularniejszą i często najskuteczniejszą metodą jest przeszczep dziąsła. Procedura ta polega na pobraniu niewielkiego fragmentu tkanki dziąsłowej, najczęściej z podniebienia pacjenta (tzw. przeszczep autogenny), a następnie przeszczepieniu jej w miejsce ubytku dziąsła. Przeszczepiona tkanka integruje się z istniejącymi dziąsłami, pokrywając odsłonięte powierzchnie zębów, co redukuje nadwrażliwość i poprawia estetykę. Istnieją również inne techniki, takie jak przeszczepy z tkanki łącznej czy zastosowanie biomateriałów, które również dają bardzo dobre rezultaty.
Leczenie chirurgiczne sterowana regeneracja tkanek
W niektórych przypadkach, zwłaszcza gdy recesji towarzyszy również ubytek kości, stosuje się zaawansowane techniki sterowanej regeneracji tkanek (GTR). Polega to na zastosowaniu specjalnych biomateriałów, takich jak membrany (błony) lub białka stymulujące wzrost, które umieszcza się w miejscu ubytku. Materiały te tworzą barierę, która zapobiega wrastaniu komórek nabłonka i tkanki łącznej, jednocześnie stymulując organizm do odbudowy utraconej tkanki dziąsłowej i kostnej. To skomplikowana, ale bardzo efektywna metoda, pozwalająca na kompleksową odbudowę struktur wspierających ząb.
Przeczytaj również: Koniec z krwawieniem! Jak mieć zdrowe dziąsła? Poradnik
Koszty leczenia
Koszty leczenia recesji dziąseł mogą się różnić w zależności od stopnia zaawansowania problemu, wybranej metody oraz lokalizacji kliniki. Poniżej przedstawiam orientacyjne ceny w Polsce:
| Rodzaj zabiegu | Orientacyjny koszt |
|---|---|
| Konsultacja periodontologiczna | 250 - 300 zł |
| Kiretaż zamknięty (za 1/4 łuku zębowego) | ok. 300 - 450 zł |
| Chirurgiczne pokrycie recesji (przeszczep dziąsła dla jednego zęba) | od 1500 zł wzwyż |
| Sterowana regeneracja kości | od 2000 - 3000 zł |
Lepiej zapobiegać niż leczyć: Skuteczna profilaktyka recesji dziąseł
Jako specjalista, zawsze podkreślam, że profilaktyka jest fundamentem zdrowia jamy ustnej. W przypadku recesji dziąseł, odpowiednie nawyki mogą znacząco zmniejszyć ryzyko jej wystąpienia lub dalszego postępowania. Oto kluczowe strategie:
- Używanie szczoteczki z miękkim włosiem i prawidłowa technika mycia zębów: Zapomnij o agresywnym szorowaniu. Wybieraj szczoteczki z miękkim lub bardzo miękkim włosiem i stosuj delikatne, wymiatające ruchy od dziąsła w kierunku korony zęba. Unikaj szczotkowania poziomego i zbyt dużego nacisku.
- Regularne nitkowanie przestrzeni międzyzębowych i stosowanie irygatora: Sama szczoteczka nie jest w stanie usunąć wszystkich resztek jedzenia i płytki bakteryjnej z przestrzeni międzyzębowych. Codzienne używanie nici dentystycznej oraz irygatora (szczególnie polecam dla osób z wrażliwymi dziąsłami) jest absolutnie niezbędne.
- Regularne wizyty kontrolne u stomatologa i profesjonalna higienizacja: Odwiedzaj dentystę co najmniej raz na 6-12 miesięcy. Profesjonalne czyszczenie zębów (skaling i piaskowanie) pozwala usunąć kamień nazębny, którego nie jesteś w stanie usunąć samodzielnie, zapobiegając stanom zapalnym.
- Leczenie wad zgryzu i bruksizmu: Jeśli masz wadę zgryzu lub zgrzytasz zębami, koniecznie skonsultuj się z ortodontą lub protetykiem. Leczenie ortodontyczne może skorygować nieprawidłowe ułożenie zębów, a w przypadku bruksizmu, stosowanie szyny relaksacyjnej na noc ochroni Twoje zęby i dziąsła przed nadmiernym obciążeniem.
- Stosowanie past do zębów dedykowanych problemom z dziąsłami: Na rynku dostępne są pasty zawierające składniki aktywne, takie jak fluorek cyny, chlorheksydyna (w krótkotrwałym stosowaniu), czy ekstrakty ziołowe, które wspierają zdrowie dziąseł i zmniejszają ich wrażliwość. Wybierz taką, która najlepiej odpowiada Twoim potrzebom.
Domowe sposoby na wsparcie dziąseł: Co jest skuteczne, a co nie?
Wielu moich pacjentów pyta o domowe sposoby na poprawę stanu dziąseł. Istnieją metody, które mogą wspierać zdrowie dziąseł i łagodzić niektóre objawy, ale ważne jest, aby zrozumieć ich rolę:
- Płukanki ziołowe: Płukanki z naparów ziołowych, takich jak szałwia, rumianek czy kora dębu, mają właściwości przeciwzapalne i ściągające. Mogą pomóc w łagodzeniu podrażnień i stanów zapalnych dziąseł.
- Stosowanie preparatów z kwasem hialuronowym lub koenzymem Q10: Żele i pasty zawierające te składniki mogą wspomagać regenerację tkanek, zmniejszać stan zapalny i przyspieszać gojenie się dziąseł.
- Dieta bogata w witaminę C: Witamina C jest kluczowa dla produkcji kolagenu, który jest podstawowym składnikiem tkanki łącznej dziąseł. Dieta bogata w cytrusy, paprykę, brokuły i inne warzywa oraz owoce może wspierać ogólne zdrowie dziąseł.
Muszę jednak jasno podkreślić, że wszystkie te domowe metody mają charakter wyłącznie wspomagający. Mogą one przynieść ulgę w łagodnych stanach zapalnych i poprawić komfort, ale nie są w stanie cofnąć recesji dziąseł ani zastąpić profesjonalnej diagnostyki i leczenia u periodontologa. Traktowanie ich jako jedynego rozwiązania jest błędem, który może prowadzić do pogorszenia stanu i poważniejszych konsekwencji.
