Zdrowe dziąsła są jasnoróżowe i jędrne sprawdź, jak je rozpoznać i kiedy szukać pomocy
- Zdrowe dziąsła charakteryzują się jasnoróżowym kolorem, matową i jędrną teksturą oraz nie krwawią podczas szczotkowania czy nitkowania.
- Alarmujące sygnały to zmiana koloru na czerwony lub siny, obrzęk, bolesność, krwawienie i nieprzyjemny zapach z ust.
- Główną przyczyną problemów z dziąsłami jest niewystarczająca higiena prowadząca do gromadzenia się płytki bakteryjnej i kamienia nazębnego.
- Recesja dziąseł, czyli ich cofanie się, może być spowodowana m.in. nieprawidłowym szczotkowaniem lub wadami zgryzu.
- Zdrowie dziąseł ma istotny wpływ na cały organizm, zwiększając ryzyko chorób serca czy komplikacji cukrzycy.
- Kluczem do utrzymania zdrowych dziąseł jest codzienna, prawidłowa higiena oraz regularne wizyty u stomatologa i profesjonalna higienizacja.

Jak rozpoznać zdrowe dziąsła: kluczowe cechy
Zastanawiałeś się kiedyś, jak powinny wyglądać naprawdę zdrowe dziąsła? To pytanie, które często zadają mi pacjenci. Samodzielna ocena stanu dziąseł to pierwszy i niezwykle ważny krok do utrzymania zdrowia jamy ustnej. Zachęcam Cię do uważnej obserwacji to, co zobaczysz, może powiedzieć Ci bardzo wiele o kondycji Twojego uśmiechu.
Kolor ma znaczenie: jaki odcień różu świadczy o zdrowiu?
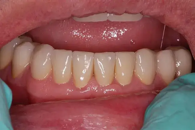
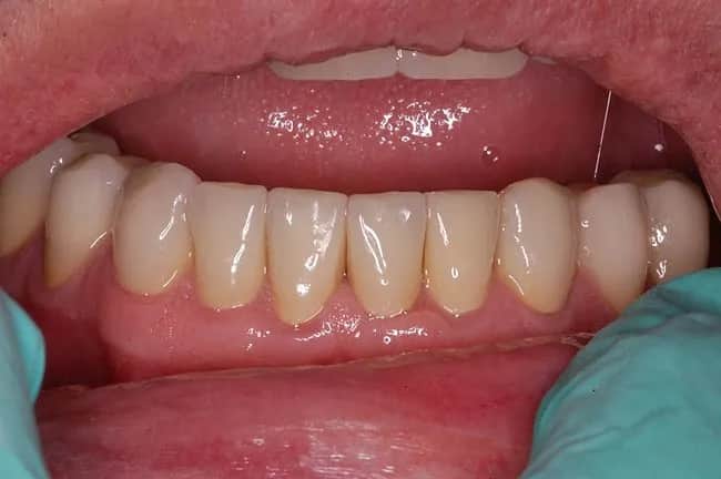
Zdrowe dziąsła mają charakterystyczny, jasnoróżowy lub koralowo-różowy kolor. To właśnie ten odcień jest jednym z pierwszych wskaźników ich dobrej kondycji. Pamiętaj, że wszelkie odstępstwa od tej barwy, takie jak intensywna czerwień czy siny fiolet, powinny wzbudzić Twoją czujność. To często sygnał, że coś jest nie tak.
Idealna tekstura i kształt: jak powinny wyglądać dziąsła przylegające do zębów?
Poza kolorem, bardzo ważna jest tekstura i kształt. Zdrowe dziąsła są matowe i mogą mieć delikatnie kropkowaną powierzchnię, przypominającą skórkę pomarańczy. Są jędrne, sprężyste i ściśle przylegają do zębów, tworząc wokół nich charakterystyczne, ostro zakończone brodawki międzyzębowe. Jeśli Twoje dziąsła są opuchnięte, miękkie lub błyszczące, to znak, że warto przyjrzeć się im bliżej.
Test szczoteczki: dlaczego zdrowe dziąsła nie krwawią?
To absolutna podstawa, którą zawsze podkreślam: zdrowe dziąsła nie krwawią. Ani podczas szczotkowania, ani podczas nitkowania. Jeśli zauważasz krew na szczoteczce, nici dentystycznej czy nawet podczas jedzenia, to nie jest to normalne zjawisko. Krwawienie, nawet minimalne, zawsze jest sygnałem problemu, który wymaga uwagi i często konsultacji ze stomatologiem.

Czerwone flagi, których nie możesz ignorować: kiedy wygląd dziąseł powinien cię zaniepokoić
Skoro już wiesz, jak wyglądają zdrowe dziąsła, łatwiej będzie Ci rozpoznać sygnały ostrzegawcze. W mojej praktyce często spotykam się z pacjentami, którzy ignorują drobne zmiany, a to właśnie te pierwsze odstępstwa od normy są kluczowe. Mogą wskazywać na rozwijający się stan zapalny lub inne problemy, które z czasem mogą stać się poważniejsze.
Od zaczerwienienia po fiolet: co zdradza kolor twoich dziąseł?
Jak już wspomniałem, zdrowy kolor to jasny róż. Jeśli Twoje dziąsła stają się intensywnie czerwone, sine, a nawet fioletowe, to bardzo silny sygnał alarmowy. Zmiana koloru najczęściej oznacza stan zapalny, czyli reakcję obronną organizmu na obecność bakterii. Im ciemniejszy i bardziej intensywny kolor, tym zazwyczaj poważniejszy stan zapalny.
Opuchlizna i bolesność: pierwsze sygnały alarmowe stanu zapalnego
Kolejne typowe objawy stanu zapalnego to obrzęk i opuchlizna. Dziąsła, które tracą swoją jędrność i stają się miękkie, gąbczaste, a często także błyszczące, są ewidentnie chore. Towarzyszy temu często bolesność i nadwrażliwość, zarówno na dotyk, jak i na zmiany temperatury. Nie lekceważ tych sygnałów to Twoje ciało próbuje Ci coś powiedzieć.
Krwawienie przy myciu zębów: dlaczego to nigdy nie jest normalny objaw?
Powtarzam to do znudzenia, ale to niezwykle ważne: krwawienie dziąseł podczas szczotkowania, nitkowania czy nawet jedzenia twardych pokarmów nigdy nie jest normalnym zjawiskiem. To nie jest kwestia "zbyt mocnego" szczotkowania, ale niemal zawsze świadczy o stanie zapalnym. Jeśli dziąsła krwawią, oznacza to, że są podrażnione i wymagają interwencji najczęściej profesjonalnej higienizacji i poprawy domowej higieny.
Cofające się dziąsła (recesja): gdy zęby wydają się dłuższe niż kiedyś
Recesja dziąseł to proces, w którym dziąsła cofają się, odsłaniając szyjki zębowe, a czasem nawet korzenie zębów. W efekcie zęby wydają się dłuższe niż kiedyś. Konsekwencje są nieprzyjemne: nadwrażliwość na zimno i ciepło, a także zwiększone ryzyko próchnicy korzenia. Recesja może być spowodowana przez wiele czynników:
- Nieprawidłowa technika szczotkowania (zbyt mocne szorowanie)
- Wady zgryzu lub bruksizm (zgrzytanie zębami)
- Zaawansowane zapalenie przyzębia
Nieprzyjemny zapach z ust: ukryty związek z chorobami dziąseł
Halitoza, czyli nieprzyjemny zapach z ust, często bywa bagatelizowana lub przypisywana diecie. Tymczasem bardzo często jest to jeden z objawów problemów z dziąsłami i chorób jamy ustnej. Bakterie odpowiedzialne za stany zapalne dziąseł produkują lotne związki siarki, które są źródłem nieświeżego oddechu. Jeśli zauważasz u siebie ten problem, warto sprawdzić stan dziąseł.
Dlaczego dziąsła są w złej kondycji: główne przyczyny problemów
Zrozumienie przyczyn problemów z dziąsłami to klucz do skutecznej profilaktyki i leczenia. Często jest to wynik połączenia kilku czynników, a nie tylko jednego. Jako stomatolog, zawsze staram się edukować moich pacjentów, że zdrowie dziąseł to złożona kwestia, na którą mamy realny wpływ.
Płytka bakteryjna i kamień nazębny: niewidzialni wrogowie twojego uśmiechu
Bez wątpienia, niewystarczająca higiena jamy ustnej jest główną i najczęstszą przyczyną problemów z dziąsłami. Resztki jedzenia i bakterie tworzą na zębach miękki nalot płytkę bakteryjną. Jeśli nie jest ona regularnie usuwana, z czasem ulega mineralizacji i przekształca się w twardy kamień nazębny. Zarówno płytka, jak i kamień, są siedliskiem bakterii, które podrażniają dziąsła i wywołują stan zapalny.
Złe nawyki, które niszczą dziąsła: od palenia po zbyt mocne szczotkowanie
Niektóre nawyki znacząco pogarszają kondycję dziąseł. Palenie papierosów to jeden z największych wrogów osłabia odporność dziąseł, utrudnia ich gojenie i maskuje objawy zapalenia, ponieważ zwęża naczynia krwionośne, zmniejszając krwawienie. Innym szkodliwym nawykiem jest nieprawidłowa technika szczotkowania zbyt mocne szorowanie może prowadzić do mechanicznego uszkodzenia dziąseł i ich recesji.Wpływ diety i niedoborów witamin na zdrowie dziąseł
Nie możemy zapominać o roli diety. Zbilansowane odżywianie ma ogromne znaczenie dla zdrowia całego organizmu, w tym dziąseł. Szczególnie ważne są witaminy C i K. Niedobory witaminy C mogą prowadzić do osłabienia tkanki dziąsłowej i zwiększonej skłonności do krwawień (szkorbut), natomiast witamina K jest kluczowa dla prawidłowego krzepnięcia krwi. Dbając o dietę, wspierasz naturalne mechanizmy obronne dziąseł.
Choroby ogólnoustrojowe a stan jamy ustnej: kiedy problem leży głębiej?
Czasami problemy z dziąsłami są objawem czegoś więcej. Choroby ogólnoustrojowe, takie jak cukrzyca, mogą znacząco wpływać na stan jamy ustnej, czyniąc dziąsła bardziej podatnymi na stany zapalne i utrudniając ich gojenie. Podobnie, zmiany hormonalne, na przykład w okresie ciąży, dojrzewania czy menopauzy, mogą zwiększać wrażliwość dziąseł i skłonność do krwawień. W takich przypadkach konieczne jest kompleksowe podejście do leczenia.
Jak odzyskać zdrowie dziąseł: praktyczny plan działania
Dobra wiadomość jest taka, że w większości przypadków zdrowie dziąseł można odzyskać lub znacząco poprawić. Wymaga to konsekwencji i odpowiednich działań, zarówno w domu, jak i w gabinecie stomatologicznym. Pamiętaj, że nigdy nie jest za późno, aby zacząć dbać o swoje dziąsła.
Prawidłowa higiena na co dzień: czy na pewno robisz to dobrze?
Podstawą jest regularne i prawidłowe szczotkowanie zębów co najmniej dwa razy dziennie, przez dwie minuty. Używaj miękkiej szczoteczki i pamiętaj o odpowiedniej technice, aby skutecznie usuwać płytkę nazębną bez podrażniania dziąseł. Wiele osób szczotkuje zbyt mocno, co może prowadzić do recesji. Jeśli masz wątpliwości co do swojej techniki, poproś higienistkę stomatologiczną o instruktaż.Rola nici dentystycznej, irygatora i płukanek w walce o zdrowe dziąsła
Szczotkowanie to tylko część sukcesu. Przestrzenie międzyzębowe stanowią idealne miejsce dla bakterii, dlatego nitkowanie zębów lub użycie irygatora jest absolutnie kluczowe dla kompleksowej higieny. Płyny do płukania ust mogą być dobrym uzupełnieniem, szczególnie te o działaniu antybakteryjnym, ale nigdy nie zastąpią mechanicznego usuwania płytki nazębnej. To wszystko razem tworzy tarczę ochronną dla Twoich dziąseł.
Domowe sposoby wspierające leczenie: odpowiednia dieta i ogólna dbałość
Wspieranie zdrowia dziąseł w domu to także dbałość o ogólny stan organizmu. Dieta bogata w witaminy, zwłaszcza witaminę C (cytrusy, papryka, brokuły) i K (zielone warzywa liściaste), wzmacnia odporność i wspomaga regenerację tkanek. Unikaj nadmiernego spożycia cukru, który sprzyja rozwojowi bakterii. Pamiętaj, że zdrowy styl życia to fundament zdrowych dziąseł.
Kiedy wizyta u dentysty jest absolutnie konieczna? Profesjonalna higienizacja i leczenie
Nawet przy najlepszej higienie domowej, regularne wizyty u stomatologa są niezastąpione. Zalecam wizyty kontrolne co 6-12 miesięcy oraz profesjonalną higienizację, czyli usuwanie kamienia nazębnego (skaling). Kamienia nie da się usunąć samodzielnie w domu. W przypadku zaawansowanych problemów, takich jak zapalenie przyzębia, leczenie może obejmować:
- Regularne wizyty kontrolne (co 6-12 miesięcy)
- Profesjonalna higienizacja (skaling)
- Zabiegi periodontologiczne w przypadku zaawansowanych chorób
- Antybiotykoterapia jako wsparcie leczenia
Nie zwlekaj z wizytą, jeśli zauważysz niepokojące objawy.
Przeczytaj również: Zapalenie dziąseł: skuteczne sposoby i leczenie poradnik eksperta
Zdrowe dziąsła to więcej niż piękny uśmiech: jak wpływają na cały organizm
Współczesna stomatologia coraz mocniej podkreśla holistyczne podejście do zdrowia. Jama ustna nie jest odizolowaną częścią ciała to brama do całego organizmu. Problemy z dziąsłami mogą mieć daleko idące konsekwencje dla Twojego ogólnego stanu zdrowia, o czym niestety wciąż zbyt mało się mówi.
Zaskakujące połączenie: stan zapalny dziąseł a ryzyko chorób serca
To może brzmieć zaskakująco, ale stan zapalny dziąseł jest powiązany ze zwiększonym ryzykiem chorób sercowo-naczyniowych. Bakterie z chorej jamy ustnej mogą przedostawać się do krwiobiegu, przyczyniając się do rozwoju miażdżycy i zwiększając ryzyko zawału serca czy udaru. Dbałość o dziąsła to więc nie tylko profilaktyka próchnicy, ale także ważny element profilaktyki chorób serca.
Cukrzyca i problemy z dziąsłami: dwukierunkowe zagrożenie
Związek między cukrzycą a chorobami dziąseł jest dwukierunkowy i niezwykle istotny. Osoby z cukrzycą są bardziej podatne na stany zapalne dziąseł i szybciej rozwijają zaawansowane choroby przyzębia. Z drugiej strony, nieleczone choroby dziąseł mogą utrudniać kontrolę poziomu cukru we krwi, pogarszając przebieg cukrzycy. Wzajemna kontrola i ścisła współpraca z lekarzem i stomatologiem są tutaj kluczowe.
Zdrowie jamy ustnej w ciąży: dlaczego dbałość o dziąsła jest kluczowa dla mamy i dziecka?
Ciąża to wyjątkowy czas, w którym zmiany hormonalne sprawiają, że dziąsła stają się szczególnie wrażliwe i podatne na stany zapalne. Nieleczone zapalenie dziąseł w ciąży może mieć poważne konsekwencje, zwiększając ryzyko przedwczesnego porodu i niskiej masy urodzeniowej dziecka. Dlatego przyszłe mamy powinny ze szczególną troską dbać o higienę jamy ustnej i regularnie odwiedzać stomatologa.
