Wielu moich pacjentów, zanim umówi się na wizytę, zadaje mi kluczowe pytanie: „Panie Olgierdzie, ile właściwie potrwa usuwanie kamienia nazębnego?”. To naturalne, że chcemy wiedzieć, ile czasu musimy zarezerwować w naszym kalendarzu na dbanie o zdrowie jamy ustnej. W tym artykule postaram się precyzyjnie odpowiedzieć na to pytanie, wyjaśniając, od czego zależy długość zabiegu i czego możesz spodziewać się w gabinecie.
Ile trwa usuwanie kamienia nazębnego kluczowe informacje o czasie zabiegu
- Standardowy skaling ultradźwiękowy trwa zazwyczaj od 30 do 60 minut, w zależności od ilości kamienia.
- Kompleksowa higienizacja (skaling, piaskowanie, polerowanie, fluoryzacja) to zazwyczaj 45 do 75 minut.
- Czas zabiegu jest silnie uzależniony od stanu higieny jamy ustnej i ilości nagromadzonych złogów.
- W przypadku skalingu poddziąsłowego (kiretażu) wizyta może trwać nawet 1,5-2 godziny i być rozłożona na kilka spotkań.
- Regularne wizyty co 6-12 miesięcy mogą skrócić czas kolejnych zabiegów.
Ile potrwa Twoja wizyta u higienistki?
Dla wielu pacjentów wizyta u stomatologa czy higienistki bywa źródłem pewnego stresu, a niepewność co do czasu trwania zabiegu może go dodatkowo potęgować. Właśnie dlatego tak ważne jest, aby wiedzieć, ile czasu należy przeznaczyć na profesjonalne czyszczenie zębów. Znajomość szacowanego czasu pozwala nie tylko efektywnie zaplanować dzień, ale także daje poczucie kontroli nad sytuacją, co znacząco redukuje niepokój. Zawsze staram się, aby moi pacjenci czuli się komfortowo i byli dobrze poinformowani.
Od 30 minut do ponad godziny od czego zależy czas trwania skalingu?
Standardowy zabieg usuwania kamienia nazębnego, czyli skaling ultradźwiękowy, zazwyczaj trwa od 30 do 60 minut. Jeśli jednak mówimy o kompleksowej higienizacji, która obejmuje skaling, piaskowanie, polerowanie i fluoryzację, wtedy musimy zarezerwować od 45 do 75 minut. Kluczowym czynnikiem wpływającym na ten czas jest oczywiście ilość nagromadzonego kamienia nazębnego. Im więcej złogów, tym więcej pracy i tym dłużej potrwa cała procedura. Warto o tym pamiętać, przygotowując się do wizyty.

Profesjonalne czyszczenie zębów krok po kroku
Pełna higienizacja to nie tylko samo usuwanie kamienia. To kompleksowa procedura, która składa się z kilku etapów, mających na celu zapewnienie optymalnego zdrowia i estetyki jamy ustnej. Oto, jak zazwyczaj wygląda profesjonalne czyszczenie:
- Skaling ultradźwiękowy: To podstawa, podczas której za pomocą specjalnego urządzenia ultradźwiękowego rozbijam i usuwam twardy kamień nazębny zarówno z powierzchni zębów, jak i spod dziąseł. Jest to najbardziej czasochłonny etap, ale niezwykle efektywny.
- Skaling ręczny: Po skalingu ultradźwiękowym często używam delikatnych narzędzi ręcznych, zwanych kiretami, aby precyzyjnie doczyścić trudno dostępne miejsca, zwłaszcza w okolicach poddziąsłowych, gdzie ultradźwięki mogą nie dotrzeć idealnie.
- Piaskowanie: Ten etap ma na celu usunięcie miękkich osadów, przebarwień po kawie, herbacie czy nikotynie. Wykonuję go za pomocą strumienia wody pod ciśnieniem z drobnym proszkiem. Zazwyczaj trwa to od 10 do 15 minut i znacząco poprawia estetykę uśmiechu.
- Polerowanie: Po usunięciu kamienia i osadów, powierzchnia zębów jest polerowana specjalnymi pastami i szczoteczkami. Wygładzenie szkliwa jest kluczowe, ponieważ utrudnia ponowne osadzanie się płytki nazębnej i kamienia. Ten etap zajmuje około 5 do 10 minut.
- Fluoryzacja (lakierowanie): Na koniec, na oczyszczone zęby nakładam preparat z wysokim stężeniem fluoru. Ma to za zadanie wzmocnić szkliwo, zwiększyć jego odporność na próchnicę oraz zminimalizować ewentualną nadwrażliwość pozabiegową. Fluoryzacja to kwestia kilku minut.

Co może wydłużyć wizytę u higienistki?
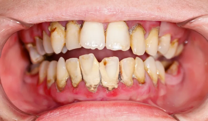
Jak już wspomniałem, ilość i lokalizacja kamienia nazębnego są głównymi wyznacznikami czasu trwania zabiegu. Jeśli kamień nagromadził się w dużej ilości, zarówno nad dziąsłami (naddziąsłowy), jak i pod nimi (poddziąsłowy), higienistka będzie potrzebowała więcej czasu na jego dokładne usunięcie. Kamień poddziąsłowy jest trudniejszy do zlokalizowania i usunięcia, co naturalnie wydłuża procedurę. Moim celem jest zawsze dokładne oczyszczenie, aby zapewnić długotrwały efekt.
Skaling naddziąsłowy a poddziąsłowy na czym polega różnica w czasie i technice?
Rozróżnienie między skalingiem naddziąsłowym a poddziąsłowym jest kluczowe dla zrozumienia czasu trwania zabiegu. Skaling naddziąsłowy to usuwanie kamienia widocznego gołym okiem, który osadza się na koronach zębów. Jest to procedura stosunkowo szybka i zazwyczaj bezbolesna. Natomiast skaling poddziąsłowy, często nazywany kiretażem, to znacznie bardziej zaawansowany i czasochłonny zabieg. Polega on na usunięciu kamienia i zainfekowanej tkanki z kieszonek dziąsłowych, czyli przestrzeni między zębem a dziąsłem. Jest to konieczne w przypadku zaawansowanej choroby przyzębia (paradontozy). Ze względu na głębokość i precyzję, jaką wymaga, jedna wizyta skalingu poddziąsłowego może trwać nawet 1,5-2 godziny i często jest rozkładana na kilka spotkań, aby nie obciążać pacjenta i zapewnić maksymalną skuteczność. Taki zabieg niemal zawsze wymaga znieczulenia miejscowego.
Czy usuwanie kamienia boli? Kiedy znieczulenie może wydłużyć procedurę?
Pytanie o ból jest jednym z najczęstszych, jakie słyszę. Odczucia podczas usuwania kamienia są bardzo indywidualne i zależą od progu bólu pacjenta oraz od ilości nagromadzonego kamienia. W większości przypadków skaling naddziąsłowy jest bezbolesny lub wiąże się jedynie z lekkim dyskomfortem. Jednakże, jeśli kamienia jest dużo, szczególnie poddziąsłowego, lub pacjent ma bardzo wrażliwe zęby czy odsłonięte szyjki, mogę zastosować znieczulenie miejscowe. Podanie znieczulenia to dodatkowe kilka minut, które należy doliczyć do całkowitego czasu wizyty, ale znacząco zwiększa komfort pacjenta i pozwala na dokładniejsze wykonanie zabiegu bez pośpiechu.
Ile czasu zarezerwować na kompleksową higienizację?
Podsumowując, jeśli planujesz standardową wizytę profilaktyczną, która obejmuje skaling ultradźwiękowy, piaskowanie, polerowanie i fluoryzację, powinieneś zarezerwować w swoim grafiku od 45 do 75 minut. To optymalny czas, który pozwala mi na dokładne wykonanie wszystkich etapów, bez pośpiechu i z dbałością o każdy detal. Zawsze staram się, aby wizyta przebiegła sprawnie, ale przede wszystkim skutecznie.
Pierwsza wizyta higienizacyjna dlaczego może potrwać dłużej?
W przypadku pierwszej wizyty higienizacyjnej, zwłaszcza jeśli pacjent nie miał wcześniej regularnych zabiegów profesjonalnego czyszczenia zębów, czas trwania może być nieco dłuższy. Wynika to z kilku czynników: po pierwsze, zazwyczaj jest więcej kamienia i osadów do usunięcia. Po drugie, muszę dokładnie ocenić ogólny stan higieny jamy ustnej, stan dziąseł i zębów, co wymaga dodatkowego czasu na diagnostykę i ewentualne instruktaże. To inwestycja w przyszłe, krótsze i łatwiejsze wizyty.
Co po zabiegu? Krótkoterminowe i długoterminowe aspekty
Po zabiegu usuwania kamienia nazębnego, może wystąpić przejściowa nadwrażliwość zębów, szczególnie na zimne lub gorące pokarmy. Jest to zupełnie normalne i zazwyczaj ustępuje samoistnie w ciągu kilku dni. Aby złagodzić ten dyskomfort, zalecam stosowanie past do zębów przeznaczonych dla zębów wrażliwych oraz unikanie bardzo kwaśnych produktów. Długoterminowo, regularne usuwanie kamienia to podstawa profilaktyki chorób dziąseł i próchnicy, co przekłada się na zdrowy i piękny uśmiech na lata.
"Biała dieta" ile godzin należy jej przestrzegać, by nie zmarnować efektu?
Po piaskowaniu i polerowaniu zęby są bardziej podatne na przebarwienia, ponieważ ich powierzchnia jest świeżo oczyszczona i pozbawiona ochronnej warstwy. Dlatego też, aby nie zmarnować efektu zabiegu, zalecam przestrzeganie tzw. "białej diety" przez 24 do 48 godzin. Oznacza to unikanie wszelkich barwiących pokarmów i napojów, takich jak kawa, herbata, czerwone wino, soki owocowe, ciemne sosy, buraki czy jagody. Postaw na wodę, mleko, białe pieczywo, ryż, drób czy nabiał. To krótki okres wyrzeczeń, który zapewni długotrwały efekt bielszych zębów.
Jak często powtarzać zabieg, aby kolejne wizyty były krótsze?
Regularność to klucz do zdrowych zębów i krótszych wizyt. Zazwyczaj zalecam moim pacjentom profesjonalne czyszczenie zębów co 6 do 12 miesięcy. Częstotliwość ta może być dostosowana indywidualnie, w zależności od predyspozycji do odkładania się kamienia i stanu higieny jamy ustnej. Pamiętaj, że regularne zabiegi nie tylko zapobiegają poważniejszym problemom, ale także sprawiają, że kolejne wizyty są znacznie krótsze, mniej inwazyjne i bardziej komfortowe. Mniej kamienia to krótszy czas spędzony na fotelu.
Jak efektywnie zaplanować wizytę i o co zapytać?
Aby jak najlepiej przygotować się do wizyty i efektywnie zaplanować swój czas, zawsze zachęcam pacjentów do zadawania pytań. Oto kilka kluczowych kwestii, o które warto zapytać przed umówieniem się na czyszczenie zębów:
- Jaki jest szacowany czas trwania całej wizyty?
- Czy wizyta będzie obejmować tylko skaling, czy pełną higienizację (skaling, piaskowanie, polerowanie, fluoryzacja)?
- Czy w moim przypadku może być potrzebne znieczulenie miejscowe?
- Czy są jakieś specjalne zalecenia, do których powinienem się przygotować przed wizytą?
- Jaki jest koszt całej procedury?
Odpowiedzi na te pytania pozwolą Ci dokładnie zaplanować dzień i rozwieją wszelkie wątpliwości.
Przeczytaj również: Ile kosztuje aparat na zęby na noc? Utrzymaj uśmiech bez przepłacania.
Inwestycja czasu w zdrowie dlaczego regularne usuwanie kamienia to oszczędność w przyszłości?
Może się wydawać, że poświęcenie godziny czy półtorej na wizytę u higienistki to dużo. Jednak z mojego doświadczenia wiem, że to inwestycja, która zwraca się wielokrotnie. Regularne usuwanie kamienia nazębnego to najlepsza profilaktyka przeciwko próchnicy, chorobom dziąseł, a w konsekwencji utracie zębów. Zapobiegając tym problemom, oszczędzasz nie tylko pieniądze na droższe i bardziej skomplikowane leczenie (np. leczenie kanałowe, ekstrakcje, implanty), ale także swój cenny czas i zdrowie. Pamiętaj, że zdrowe zęby to nie tylko piękny uśmiech, ale i lepsze ogólne samopoczucie.
