Widok zaczerwienionych, opuchniętych dziąseł u dziecka potrafi mocno zaniepokoić każdego rodzica. Wiem o tym doskonale, ponieważ sam wielokrotnie spotykałem się z takimi obawami w mojej praktyce. Celem tego artykułu jest dostarczenie Państwu jasnych i praktycznych wskazówek, które pomogą szybko rozpoznać objawy zapalenia dziąseł u malucha, odróżnić je od ząbkowania i podjąć odpowiednie kroki. Dzięki tej wiedzy poczują się Państwo pewniej w ocenie sytuacji i będą wiedzieć, kiedy niezbędna jest wizyta u stomatologa.
Zaczerwienione i krwawiące dziąsła: jak rozpoznać zapalenie dziąseł u dziecka i co robić?
- Zaczerwienienie, obrzęk i krwawienie dziąseł to główne wizualne objawy zapalenia.
- Ból, nieświeży oddech, rozdrażnienie i brak apetytu mogą wskazywać na problem.
- Kluczową różnicą między zapaleniem a ząbkowaniem jest krwawienie dziąseł, nietypowe dla fizjologicznego wyrzynania się zębów.
- Najczęstsze przyczyny to niedostateczna higiena jamy ustnej i dieta bogata w cukry.
- W przypadku utrzymujących się lub nasilających objawów, konieczna jest wizyta u stomatologa dziecięcego.

Jak rozpoznać zapalenie dziąseł u dziecka?
Zdrowy wygląd dziąseł to podstawa prawidłowego rozwoju jamy ustnej i ogólnego samopoczucia dziecka. Kiedy dziąsła są zdrowe, mają charakterystyczny, jasnoróżowy kolor, są zwarte, gładkie i ściśle przylegają do zębów. Brak krwawienia podczas szczotkowania czy jedzenia to również znak, że wszystko jest w porządku. Niestety, w niektórych okresach życia dziecka, dziąsła są szczególnie narażone na stany zapalne. Rozpoznanie tych momentów i wczesne wykrycie problemu jest kluczowe dla uniknięcia poważniejszych komplikacji.
W mojej praktyce często obserwuję, że istnieją pewne okresy w życiu dziecka, kiedy dziąsła są szczególnie podatne na stany zapalne. Warto o nich pamiętać, aby zachować wzmożoną czujność:
- Ząbkowanie: To naturalny proces, który jednak często wiąże się z miejscowym stanem zapalnym. Wyrzynające się zęby podrażniają dziąsła, co może prowadzić do zaczerwienienia i obrzęku.
- Wymiana uzębienia (5-13 lat): Okres, w którym zęby mleczne wypadają, a na ich miejsce pojawiają się zęby stałe, to czas intensywnych zmian w jamie ustnej. Luźne zęby mleczne i wyrzynające się stałe mogą sprzyjać gromadzeniu się płytki nazębnej i stanom zapalnym.
- Okres dojrzewania: Zmiany hormonalne w organizmie nastolatka mogą wpływać na reakcję dziąseł na płytkę bakteryjną, zwiększając ich podatność na zapalenie.
Przeczytaj również: Ból po wyrwaniu zęba? Sprawdzone sposoby na ulgę i szybkie gojenie
Kluczowe sygnały alarmowe zapalenia dziąseł u dzieci
Kiedy patrzymy na dziąsła dziecka, szukamy przede wszystkim zmian wizualnych. Zdrowe dziąsła są jasnoróżowe i zwarte. W przypadku zapalenia, ich wygląd drastycznie się zmienia. Zauważymy, że dziąsła stają się zaczerwienione, często przyjmując barwę od żywoczerwonej do nawet sino-fioletowej. Co więcej, stają się obrzęknięte i rozpulchnione, tracąc swój naturalny, zwarty kontur. To wyraźny sygnał, że dzieje się coś niepokojącego.
Jednym z najbardziej charakterystycznych i niepokojących objawów zapalenia dziąseł jest krwawienie. Może ono pojawiać się spontanicznie, bez wyraźnej przyczyny, ale znacznie częściej zauważamy je podczas codziennych czynności, takich jak szczotkowanie zębów, nitkowanie, a nawet jedzenie twardszych pokarmów. Jeśli dziąsła krwawią, to niemal pewny znak, że mamy do czynienia ze stanem zapalnym i nie należy tego bagatelizować.
Oprócz widocznych zmian, zapalenie dziąseł często objawia się również bólem i dyskomfortem:
- Dziecko może skarżyć się na bolesność lub tkliwość dziąseł.
- Może unikać dotyku w okolicy dziąseł, a nawet reagować płaczem podczas mycia zębów, co jest dla mnie sygnałem alarmowym.
- Często pojawia się nadwrażliwość na zimne lub ciepłe pokarmy i napoje, co dodatkowo utrudnia dziecku jedzenie.
Innym, często niedocenianym objawem, który powinien zaniepokoić rodzica, jest nieświeży oddech, czyli halitoza. Jeśli mimo regularnego szczotkowania zębów, z ust dziecka nadal wydobywa się nieprzyjemny zapach, może to wskazywać na namnażanie się bakterii odpowiedzialnych za stan zapalny dziąseł. Ten zapach jest często uporczywy i nie ustępuje po standardowej higienie, co odróżnia go od chwilowego nieświeżego oddechu po posiłku.

Ząbkowanie czy zapalenie dziąseł? Jak odróżnić objawy
Ząbkowanie to naturalny, choć często bolesny etap w życiu każdego malucha. Objawy ząbkowania są zazwyczaj dość charakterystyczne:
- Miejscowe rozpulchnienie i zaczerwienienie dziąseł w miejscu, gdzie ma się wyrznąć ząb.
- Intensywne ślinienie się, które może prowadzić do podrażnień skóry wokół ust.
- Potrzeba gryzienia twardych przedmiotów, co ma na celu złagodzenie swędzenia i ucisku.
- Ból, który jest najbardziej intensywny tuż przed przebiciem się zęba przez dziąsło.
Rozróżnienie zapalenia dziąseł od ząbkowania bywa wyzwaniem, ponieważ oba stany mogą powodować zaczerwienienie i obrzęk. Kluczową różnicą, na którą zawsze zwracam uwagę, jest rozległość zmian. Przy ząbkowaniu zaczerwienienie i opuchlizna są zazwyczaj lokalne, ograniczone do obszaru, gdzie wyrzyna się ząb. Natomiast w przypadku zapalenia dziąseł, zmiany te są często bardziej rozległe i mogą obejmować większy obszar jamy ustnej. Najważniejszym sygnałem alarmowym, który niemal jednoznacznie wskazuje na zapalenie, jest krwawienie dziąseł. Krwawienie nie jest typowe dla fizjologicznego ząbkowania, dlatego jeśli je zauważymy, powinniśmy potraktować to jako wyraźny sygnał, że coś jest nie tak.
Jak zachowanie dziecka zdradza problem z dziąsłami?
Ból i dyskomfort w jamie ustnej mają ogromny wpływ na codzienne funkcjonowanie dziecka. Jednym z pierwszych sygnałów, który może zaniepokoić rodziców, jest nagła niechęć do jedzenia i picia. Dziecko może odmawiać przyjmowania posiłków, szczególnie tych twardych, które wymagają gryzienia i mogą podrażniać bolące dziąsła. Nawet ulubione potrawy mogą zostać odrzucone, co jest wyraźnym znakiem, że maluch odczuwa ból.
Dyskomfort związany z zapaleniem dziąseł wpływa również na nastrój i ogólne zachowanie dziecka. Z moich obserwacji wynika, że często prowadzi to do:- Rozdrażnienia i niepokoju: Dziecko staje się marudne, płaczliwe, często bez wyraźnej przyczyny, co jest naturalną reakcją na ciągły ból.
- Płaczliwości: Maluch może być bardziej płaczliwy niż zwykle, a jego pocieszenie staje się trudniejsze.
- Problemów ze snem: Dolegliwości bólowe często nasilają się w nocy, gdy dziecko leży, co może prowadzić do częstszego wybudzania się, niespokojnego snu i ogólnego zmęczenia zarówno dziecka, jak i rodziców.

Czerwone flagi: kiedy objawy zapalenia dziąseł wymagają pilnej konsultacji?
Zapalenie dziąseł u dziecka, choć często miejscowe, może czasem wskazywać na poważniejsze problemy. Jeśli zauważą Państwo, że zaczerwienieniu i obrzękowi dziąseł towarzyszy podwyższona temperatura lub gorączka, a także ogólne osłabienie, to sygnał, że należy działać szybko. Takie objawy mogą świadczyć o infekcjach wirusowych, takich jak opryszczkowe zapalenie jamy ustnej (wywołane wirusem HSV-1), lub bakteryjnych, które wymagają profesjonalnej oceny i leczenia.
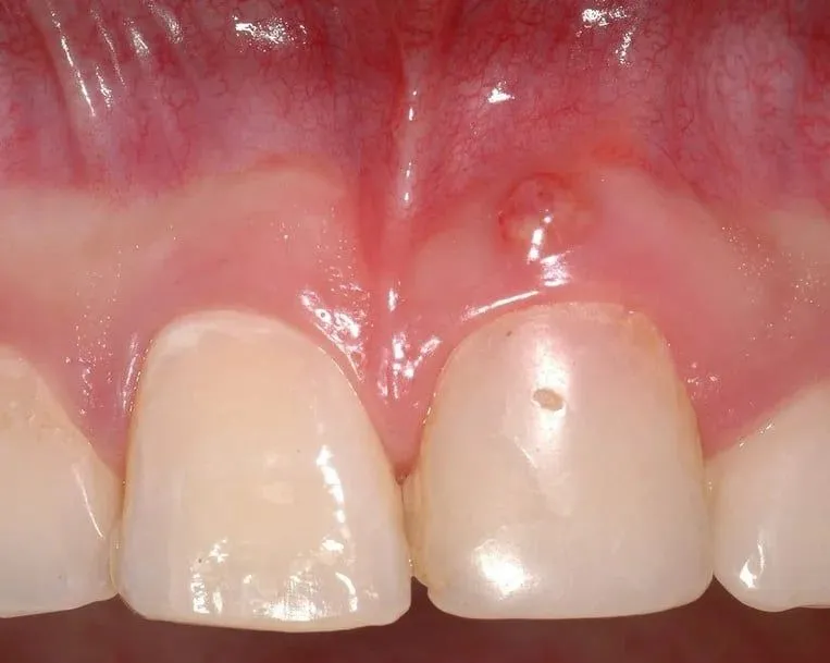
Innym bardzo poważnym objawem, który wymaga natychmiastowej interwencji stomatologicznej, jest pojawienie się ropnia na dziąśle. Ropień to mały pęcherzyk wypełniony ropą, który wskazuje na zaawansowany stan zapalny i nagromadzenie się infekcji. Jest to sygnał, że infekcja postępuje i może prowadzić do poważniejszych konsekwencji, jeśli nie zostanie szybko wyleczona przez specjalistę.
Co wywołuje zapalenie dziąseł u dzieci? Najczęstsze przyczyny
Jako stomatolog, mogę z całą pewnością stwierdzić, że niedostateczna higiena jamy ustnej jest najczęstszą przyczyną zapalenia dziąseł u dzieci. Nieregularne lub niedokładne szczotkowanie zębów prowadzi do gromadzenia się płytki nazębnej lepkiej warstwy pełnej bakterii. Te bakterie produkują toksyny, które podrażniają dziąsła, wywołując stan zapalny. To prosta, ale często niedoceniana zależność.
Ściśle związana z higieną jest również dieta bogata w cukry. Słodkie napoje, soki, słodycze zwłaszcza spożywane często i między posiłkami stanowią idealną pożywkę dla bakterii w jamie ustnej. Cukry te sprzyjają namnażaniu się drobnoustrojów, które nie tylko niszczą szkliwo, ale także intensyfikują procesy zapalne w dziąsłach. Zawsze podkreślam rodzicom, jak ważna jest kontrola nad ilością cukru w diecie dziecka.
Oprócz higieny i diety, zapalenie dziąseł mogą wywoływać infekcje wirusowe i bakteryjne, na przykład opryszczkowe zapalenie jamy ustnej, które jest wywołane wirusem HSV-1. Jest to dość bolesne schorzenie, które wymaga specjalistycznego leczenia. Istnieją również inne czynniki ryzyka, które mogą predysponować dzieci do problemów z dziąsłami:
- Wady zgryzu, które utrudniają prawidłową higienę.
- Oddychanie przez usta, prowadzące do wysuszania błony śluzowej.
- Obniżona odporność organizmu.
- Niedobory witamin, szczególnie witaminy C, która jest kluczowa dla zdrowia dziąseł.
Co robić, gdy podejrzewasz zapalenie dziąseł u dziecka?
Jeśli podejrzewają Państwo zapalenie dziąseł u swojego dziecka, oto pierwsze kroki, które można podjąć w domu, aby złagodzić dyskomfort i poprawić sytuację:
- Delikatna, ale dokładna higiena: Używajcie miękkiej szczoteczki do zębów i pasty z fluorem odpowiedniej dla wieku dziecka. Szczotkujcie zęby i dziąsła bardzo delikatnie, ale starannie, aby usunąć płytkę nazębną. Można również zastosować płukanki z łagodnymi roztworami antyseptycznymi (np. z chlorheksydyną w niskim stężeniu, jeśli dziecko potrafi płukać usta i nie połyka płynu) lub ziołowymi (np. rumianek, szałwia).
- Modyfikacja diety: Na czas bólu i dyskomfortu, podawajcie dziecku miękkie pokarmy, które nie będą podrażniać dziąseł. Unikajcie twardych, chrupiących, kwaśnych i bardzo słodkich produktów.
- Nawadnianie: Upewnijcie się, że dziecko pije dużo wody, co pomaga utrzymać odpowiednie nawilżenie jamy ustnej i wypłukuje resztki jedzenia.
- Leki przeciwbólowe: W razie silnego bólu, można podać dziecku odpowiednią dawkę paracetamolu lub ibuprofenu, dostosowaną do jego wieku i wagi, po konsultacji z lekarzem lub farmaceutą.
- Utrzymywanie się lub nasilanie objawów: Jeśli objawy zapalenia dziąseł nie ustępują lub pogarszają się pomimo domowej pielęgnacji przez kilka dni.
- Pojawienie się "czerwonych flag": Gorączka, ogólne osłabienie, powiększone węzły chłonne lub, co najpilniejsze, pojawienie się ropnia na dziąśle.
- Brak poprawy po kilku dniach domowej opieki: Jeśli po 3-5 dniach stosowania zaleceń domowych nie widać żadnej poprawy, to znak, że potrzebna jest fachowa pomoc.
- Silny ból: Kiedy ból jest tak intensywny, że utrudnia dziecku jedzenie, picie lub sen, a leki przeciwbólowe nie przynoszą ulgi.
- Niepewność co do diagnozy: Jeśli mają Państwo jakiekolwiek wątpliwości, czy to ząbkowanie, czy zapalenie dziąseł, zawsze lepiej skonsultować się ze stomatologiem, aby uzyskać pewną diagnozę i odpowiednie leczenie.
