Recesja dziąseł to cofanie się tkanki dowiedz się, jak ją rozpoznać i leczyć.
- Recesja dziąseł to proces zaniku tkanki dziąsłowej, prowadzący do odsłonięcia szyjek i korzeni zębów, co sprawia, że zęby wydają się dłuższe.
- Najczęstsze przyczyny to nieprawidłowa higiena (zarówno zaniedbanie, jak i agresywne szczotkowanie), paradontoza, predyspozycje genetyczne oraz wady zgryzu.
- Kluczowe objawy to nadwrażliwość zębów na zimno/ciepło, widoczne wydłużenie koron zębów, krwawienie dziąseł i dyskomfort.
- Nieleczona recesja może prowadzić do próchnicy korzenia, zaawansowanej choroby przyzębia, uszkodzeń mechanicznych, a nawet utraty zębów.
- Metody leczenia obejmują profilaktykę, leczenie zachowawcze (profesjonalne czyszczenie, instruktaż higieny) oraz zaawansowane zabiegi chirurgiczne, takie jak przeszczep dziąsła.
- Kluczowe znaczenie ma profilaktyka, czyli prawidłowa higiena jamy ustnej i regularne wizyty u stomatologa.
Co to jest recesja dziąseł i dlaczego nie wolno jej ignorować?
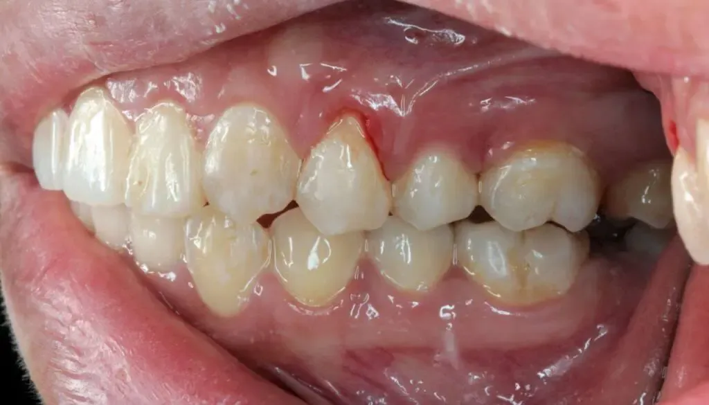
Recesja dziąseł, w terminologii medycznej często określana jako zanik dziąseł, to nic innego jak stopniowe cofanie się tkanki dziąsłowej. W efekcie tego procesu dochodzi do odsłonięcia szyjek zębów, a w bardziej zaawansowanych przypadkach nawet ich korzeni. Wizualnie zęby mogą wydawać się wtedy optycznie dłuższe, co dla wielu pacjentów jest pierwszym zauważalnym sygnałem. Jako stomatolog, zawsze podkreślam, że to nie tylko problem estetyczny. Odsłonięte korzenie są znacznie bardziej podatne na próchnicę, nadwrażliwość i uszkodzenia mechaniczne, co w dłuższej perspektywie może prowadzić do poważnych konsekwencji dla zdrowia całej jamy ustnej. Ignorowanie recesji dziąseł to prosta droga do pogorszenia stanu uzębienia i konieczności bardziej inwazyjnego leczenia w przyszłości.
Jak rozpoznać problem? Pierwsze, często subtelne objawy cofania się dziąseł
Rozpoznanie recesji dziąseł w początkowych stadiach bywa trudne, ponieważ objawy mogą być subtelne i łatwe do zbagatelizowania. Jednak są pewne sygnały, na które zawsze zwracam uwagę moim pacjentom:
- Nadwrażliwość zębów: To jeden z najczęstszych i najbardziej uciążliwych objawów. Odsłonięte szyjki zębowe, pozbawione ochronnej warstwy dziąsła, reagują bólem na zimne, ciepłe, słodkie lub kwaśne pokarmy i napoje.
- Widoczne wydłużenie koron zębów: Zęby zaczynają wyglądać na dłuższe niż wcześniej, a linia dziąseł wyraźnie się obniża. To sygnał, że tkanka dziąsłowa uległa cofnięciu.
- Krwawienie dziąseł: Chociaż krwawienie często kojarzone jest z zapaleniem dziąseł, może również towarzyszyć recesji, zwłaszcza jeśli jest ona powiązana z chorobami przyzębia.
- Zmiana koloru dziąseł: Dziąsła mogą stać się bledsze lub ciemniejsze w miejscach recesji, a ich struktura może wydawać się cieńsza i delikatniejsza.
- Ból lub dyskomfort w okolicy dziąseł: Pacjenci mogą odczuwać ogólny dyskomfort, ucisk lub nawet ból w obszarze, gdzie dziąsła uległy cofnięciu.
Jeśli zauważysz u siebie którykolwiek z tych objawów, nie zwlekaj z wizytą u stomatologa. Wczesna diagnoza i interwencja są kluczowe.

Główne przyczyny recesji dziąseł
Złe nawyki, które niszczą Twoje dziąsła czy popełniasz te błędy?
W mojej praktyce często obserwuję, jak codzienne nawyki, pozornie niewinne, stają się głównymi winowajcami recesji dziąseł. Jednym z najczęstszych problemów jest nieprawidłowa higiena jamy ustnej. Co ciekawe, dotyczy to zarówno jej zaniedbania, prowadzącego do gromadzenia się płytki bakteryjnej i stanów zapalnych, jak i... zbyt agresywnego szczotkowania. Używanie twardej szczoteczki i energiczne, poziome ruchy mogą dosłownie "zdzierać" delikatną tkankę dziąsłową. To błąd, który popełnia zaskakująco wielu pacjentów, wierząc, że im mocniej, tym czyściej. Inne złe nawyki to:
- Palenie tytoniu: Nikotyna i inne substancje chemiczne zawarte w dymie papierosowym osłabiają dziąsła, zmniejszają ich ukrwienie i utrudniają regenerację, co sprzyja recesji.
- Piercing w jamie ustnej: Kolczyki w języku czy wargach mogą mechanicznie podrażniać dziąsła, prowadząc do ich cofania się w miejscach stałego kontaktu.
Warto przyjrzeć się swoim codziennym rytuałom, bo często to właśnie w nich tkwi źródło problemu.
Gdy problem tkwi głębiej: paradontoza, genetyka i wady zgryzu
Niestety, nie zawsze recesja dziąseł jest wynikiem naszych błędów. Czasem problem tkwi znacznie głębiej, w czynnikach, na które mamy mniejszy wpływ. Jednym z głównych winowajców są choroby przyzębia, zwłaszcza paradontoza. To zaawansowane zapalenie dziąseł prowadzi do niszczenia tkanek utrzymujących ząb w kości, co skutkuje nie tylko cofaniem się dziąsła, ale także zanikiem kości. Recesja jest więc często jednym z kluczowych objawów tej poważnej choroby. Ponadto, nie można ignorować predyspozycji genetycznych. Osoby z tzw. cienkim biotypem dziąsła, czyli naturalnie delikatną i cienką tkanką dziąsłową, są znacznie bardziej narażone na recesje, nawet przy wzorowej higienie. Do tego dochodzą wady zgryzu i nieprawidłowe ustawienie zębów. Zęby, które są stłoczone, wychylone lub obrócone, mogą być narażone na nadmierne obciążenia mechaniczne, co sprzyja cofaniu się dziąseł w tych konkretnych obszarach.
Inni winowajcy: od aparatu ortodontycznego po nocne zgrzytanie zębami
Lista czynników ryzyka recesji dziąseł jest długa i obejmuje również te, które na pierwszy rzut oka mogą wydawać się mniej oczywiste. Jednym z nich jest bruksizm, czyli nieświadome zgrzytanie lub zaciskanie zębów, najczęściej w nocy. Nadmierne siły wywierane na zęby i dziąsła prowadzą do przeciążeń, które mogą skutkować uszkodzeniem tkanek przyzębia i w konsekwencji recesją. Innym czynnikiem może być leczenie ortodontyczne. Choć aparaty ortodontyczne korygują wady zgryzu i poprawiają estetykę, w niektórych przypadkach, zwłaszcza bez odpowiedniego przygotowania lub przy zbyt szybkim przesuwaniu zębów, mogą przyczynić się do cofania się dziąseł. Dlatego tak ważne jest, aby leczenie ortodontyczne było prowadzone przez doświadczonego specjalistę, który monitoruje stan dziąseł przez cały okres terapii.
Konsekwencje nieleczonej recesji dziąseł
Nadwrażliwość i ból jak recesja wpływa na komfort życia?
Kiedy dziąsła się cofają, odsłaniając szyjki zębów, a czasem nawet fragmenty korzeni, pacjenci bardzo szybko odczuwają skutki w postaci zwiększonej nadwrażliwości. Zęby stają się wrażliwe na bodźce termiczne zimne napoje czy lody, gorąca kawa, a także na pokarmy słodkie lub kwaśne. To nie jest jedynie dyskomfort; dla wielu osób staje się to prawdziwym utrapieniem, znacząco obniżającym komfort życia. Codzienne jedzenie i picie staje się bolesne, a nawet oddychanie zimnym powietrzem może wywołać nieprzyjemne doznania. Poza nadwrażliwością, w okolicy odsłoniętych dziąseł często pojawia się ból lub ogólny dyskomfort, który może być stały lub nasilać się podczas szczotkowania czy jedzenia. To sygnał, że tkanki są podrażnione i wymagają uwagi.
Próchnica korzenia i ryzyko utraty zębów najpoważniejsze zagrożenia
Nieleczona recesja dziąseł to znacznie więcej niż tylko nadwrażliwość czy problem estetyczny. Odsłonięte korzenie zębów są pozbawione ochronnej warstwy szkliwa, co czyni je niezwykle podatnymi na próchnicę korzenia. Próchnica ta postępuje znacznie szybciej i jest trudniejsza do leczenia niż ta na koronie zęba. Co więcej, recesja często jest powiązana z zaawansowaną chorobą przyzębia (paradontozą), która prowadzi do postępującego zaniku kości wokół zębów. W konsekwencji zęby mogą stać się rozchwiane, a w skrajnych przypadkach nawet wypaść. Odsłonięte korzenie są również bardziej narażone na uszkodzenia mechaniczne, na przykład podczas zbyt energicznego szczotkowania. Wszystkie te czynniki sumują się, tworząc poważne zagrożenie dla stabilności i długoterminowego utrzymania zębów w jamie ustnej. Dlatego tak ważne jest, aby nie lekceważyć tego problemu i podjąć odpowiednie leczenie.
Skuteczne metody profilaktyki i leczenia recesji dziąseł
Podstawa to prewencja: Zmień te 3 rzeczy w codziennej higienie już dziś
Jak zawsze powtarzam moim pacjentom, najlepszym leczeniem jest zapobieganie. W przypadku recesji dziąseł profilaktyka odgrywa kluczową rolę i w dużej mierze opiera się na prawidłowej codziennej higienie jamy ustnej. Oto trzy kluczowe zmiany, które warto wprowadzić już dziś:
- Delikatne szczotkowanie zębów miękką szczoteczką: Zrezygnuj z twardych szczoteczek i agresywnych ruchów. Używaj szczoteczki z miękkim włosiem i szczotkuj zęby delikatnymi, wymiatającymi ruchami od dziąsła do korony zęba. To zapobiegnie mechanicznemu uszkadzaniu dziąseł.
- Regularne stosowanie nici dentystycznej lub irygatora: Sama szczoteczka nie usunie wszystkich resztek pokarmowych i płytki bakteryjnej z przestrzeni międzyzębowych. Nici dentystyczne lub irygator są niezbędne do utrzymania czystości w tych trudno dostępnych miejscach, co zapobiega stanom zapalnym dziąseł.
- Systematyczne wizyty kontrolne u stomatologa i profesjonalne zabiegi higienizacyjne: Przynajmniej raz na 6-12 miesięcy należy odwiedzać stomatologa na kontrolę i wykonywać profesjonalne czyszczenie zębów (skaling i piaskowanie). To pozwala usunąć kamień nazębny i płytkę bakteryjną, które są głównymi przyczynami stanów zapalnych i recesji.
Gdy profilaktyka to za mało: leczenie zachowawcze w gabinecie stomatologicznym
Nawet przy najlepszej profilaktyce, czasem recesja dziąseł już wystąpiła lub jej przyczyny są bardziej złożone. W takich sytuacjach, zwłaszcza w początkowych stadiach, możemy zastosować leczenie zachowawcze w gabinecie stomatologicznym. Moim pierwszym krokiem jest zawsze dokładny instruktaż prawidłowej higieny jamy ustnej. Upewniam się, że pacjent rozumie, jak prawidłowo szczotkować zęby i używać nici dentystycznej, aby nie pogłębiać problemu. Następnie wykonujemy profesjonalne czyszczenie zębów, czyli skaling (usunięcie kamienia nazębnego) i piaskowanie (usunięcie osadów). To kluczowe dla eliminacji bakterii i stanów zapalnych. Jeśli recesja jest wynikiem zapalenia dziąseł, samo usunięcie przyczyny i leczenie stanu zapalnego może zatrzymać postęp cofania się tkanki i częściowo ją zregenerować. W niektórych przypadkach stosujemy również specjalne pasty lub żele zmniejszające nadwrażliwość.
Zaawansowane leczenie chirurgiczne recesji dziąseł
Na czym polega chirurgiczna odbudowa dziąsła? Przegląd nowoczesnych metod
W przypadkach, gdy recesja dziąseł jest zaawansowana, a leczenie zachowawcze nie przynosi oczekiwanych rezultatów, konieczne staje się leczenie chirurgiczne. Głównym celem takich zabiegów jest pokrycie odsłoniętych korzeni zębów, co przywraca im ochronę, redukuje nadwrażliwość i poprawia estetykę. Istnieje wiele technik chirurgicznych, które dobierane są indywidualnie do potrzeb pacjenta i specyfiki recesji. Do najczęściej stosowanych należą płaty przesunięte dokoronowo, gdzie własna tkanka dziąsłowa pacjenta jest delikatnie przesuwana w kierunku korony zęba, aby pokryć odsłoniętą powierzchnię. Coraz częściej wykorzystuje się również biomateriały, takie jak błony kolagenowe, które wspomagają regenerację tkanek i mogą być stosowane samodzielnie lub w połączeniu z przeszczepami, aby uzyskać optymalne efekty. Wybór metody zależy od wielu czynników, w tym od grubości dziąsła, szerokości i głębokości recesji oraz ogólnego stanu zdrowia pacjenta.Przeszczep dziąsła z podniebienia złoty standard w leczeniu recesji
Spośród wszystkich metod chirurgicznej odbudowy dziąsła, przeszczep tkanki łącznej pobranej z podniebienia pacjenta jest uznawany za "złoty standard" i najskuteczniejszą technikę, zwłaszcza w przypadkach głębokich i szerokich recesji. Zabieg ten polega na pobraniu niewielkiego fragmentu tkanki łącznej (bez nabłonka) z podniebienia pacjenta miejsca, gdzie dziąsło jest grube i dobrze ukrwione. Następnie ten przeszczep jest precyzyjnie umieszczany w obszarze recesji i mocowany szwami. Tkanka z podniebienia doskonale integruje się z istniejącym dziąsłem, tworząc nową, mocną i zdrową warstwę, która skutecznie pokrywa odsłonięty korzeń. Co ważne, przeszczep nie tylko odbudowuje utraconą tkankę, ale także wzmacnia dziąsło w leczonym miejscu, czyniąc je bardziej odpornym na przyszłe urazy i recesje. Choć brzmi to inwazyjnie, zabieg jest przeprowadzany w znieczuleniu miejscowym i zazwyczaj jest dobrze tolerowany przez pacjentów, a jego efekty są trwałe i przewidywalne.
Przeczytaj również: Cofające się dziąsła? Odbudowa, leczenie, profilaktyka i ceny
Co musisz wiedzieć o gojeniu i zaleceniach po zabiegu?
Okres po zabiegu chirurgicznym jest równie ważny jak sam zabieg dla osiągnięcia optymalnych rezultatów. Właściwa opieka pozabiegowa zapewnia prawidłowe gojenie i minimalizuje ryzyko powikłań. Oto ogólne zalecenia, które zawsze przekazuję moim pacjentom:
- Higiena jamy ustnej: Przez pierwsze dni należy unikać szczotkowania operowanego miejsca. Zamiast tego stosuje się specjalne płukanki antyseptyczne zalecone przez stomatologa. Pozostałe obszary jamy ustnej należy szczotkować bardzo delikatnie.
- Dieta: Przez około tydzień po zabiegu zalecana jest dieta miękka, chłodna lub letnia. Należy unikać gorących, twardych, ostrych i kwaśnych pokarmów, które mogłyby podrażnić ranę.
- Unikanie wysiłku fizycznego: Przez kilka dni po zabiegu należy unikać intensywnego wysiłku fizycznego, który mógłby zwiększyć ciśnienie krwi i spowodować krwawienie.
- Leki: Stomatolog może przepisać leki przeciwbólowe oraz antybiotyki, aby zapobiec infekcji. Należy je przyjmować zgodnie z zaleceniami.
- Kontrole pozabiegowe: Niezbędne są regularne wizyty kontrolne w celu oceny gojenia i usunięcia szwów.
- Unikanie palenia: Palenie tytoniu znacząco opóźnia gojenie i zwiększa ryzyko niepowodzenia zabiegu, dlatego należy go bezwzględnie unikać.
Po leczeniu: jak zapobiegać nawrotom recesji dziąseł?
Zakończenie leczenia recesji dziąseł to ważny krok, ale nie koniec drogi. Aby cieszyć się trwałymi efektami i zapobiec nawrotom, kluczowa jest długoterminowa dbałość o higienę jamy ustnej i regularne kontrole stomatologiczne. Niestety, bez konsekwentnego przestrzegania zasad profilaktyki, problem może powrócić. Dlatego zawsze podkreślam, że kluczowe zasady, o których mówiłem wcześniej, powinny stać się stałym elementem codziennej rutyny. To inwestycja w zdrowie i piękno uśmiechu na lata.
- Delikatne, ale dokładne szczotkowanie zębów miękką szczoteczką.
- Codzienne używanie nici dentystycznej lub irygatora.
- Regularne wizyty kontrolne u stomatologa i profesjonalne zabiegi higienizacyjne (skaling, piaskowanie).
- Leczenie wszelkich wad zgryzu czy bruksizmu.
- Unikanie palenia tytoniu.
