Podrażnione dziąsła to powszechny problem, który może sygnalizować poważniejsze dolegliwości. Ten artykuł pomoże Ci zrozumieć przyczyny dyskomfortu, nauczy Cię skutecznych domowych metod łagodzenia objawów oraz wskaże, kiedy konieczna jest wizyta u stomatologa, by odzyskać zdrowy i komfortowy uśmiech.
Podrażnione dziąsła wymagają szybkiej reakcji poznaj przyczyny i skuteczne metody ulgi
- Najczęstszą przyczyną podrażnień dziąseł jest niewłaściwa higiena jamy ustnej i nagromadzenie płytki bakteryjnej.
- Objawy takie jak zaczerwienienie, obrzęk, krwawienie i bolesność nie powinny być ignorowane.
- Domowe sposoby, takie jak płukanki ziołowe (szałwia, rumianek) czy roztwór soli, mogą przynieść tymczasową ulgę.
- Dostępne bez recepty żele, maści i specjalistyczne pasty (np. Sachol, Meridol) zawierają składniki aktywne łagodzące stany zapalne.
- Wizyta u stomatologa jest niezbędna, gdy objawy utrzymują się dłużej niż kilka dni lub pojawia się silny ból, ropa czy ruchomość zębów.
- Profilaktyka, w tym prawidłowe szczotkowanie i regularne wizyty kontrolne, to klucz do zdrowych dziąseł.
Czym są podrażnione dziąsła i dlaczego nie wolno ich ignorować?
Kiedy mówimy o podrażnionych dziąsłach, zazwyczaj mamy na myśli stan zapalny, czyli reakcję obronną organizmu na działanie szkodliwych czynników, najczęściej bakterii. Objawia się to zaczerwienieniem, obrzękiem, a często także krwawieniem. Wielu moich pacjentów początkowo bagatelizuje te sygnały, uznając je za drobnostkę. Jednak ja, jako stomatolog, zawsze podkreślam, że to pierwszy sygnał, że coś jest nie tak w jamie ustnej.
Ignorowanie podrażnionych dziąseł to prosta droga do znacznie poważniejszych problemów. Nieleczony stan zapalny może rozprzestrzeniać się głębiej, prowadząc do rozwoju paradontozy choroby, która uszkadza tkanki utrzymujące zęby. W najgorszym scenariuszu, paradontoza może skutkować nieodwracalną utratą zębów. Dlatego tak ważne jest, aby reagować szybko i skutecznie.
Pierwsze objawy, które powinny zapalić czerwoną lampkę
Z mojego doświadczenia wiem, że wczesne rozpoznanie objawów jest kluczowe. Oto sygnały, na które zawsze zwracam uwagę i które powinny skłonić Cię do działania:
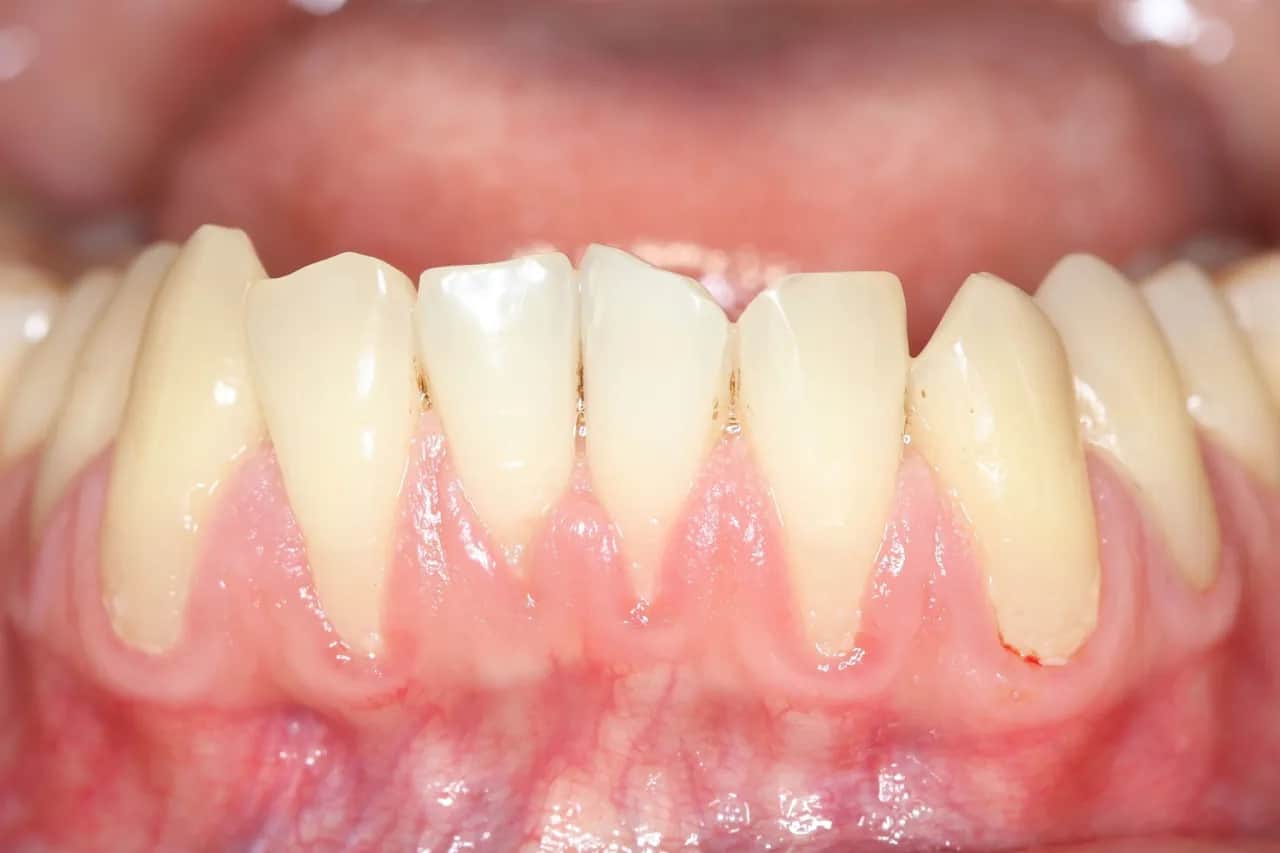
- Zaczerwienienie i obrzęk: Zdrowe dziąsła mają bladoróżowy kolor i są jędrne. Jeśli zauważysz, że stały się ciemnoczerwone i spuchnięte, to znak, że toczy się w nich stan zapalny.
- Krwawienie: To jeden z najbardziej alarmujących objawów. Dziąsła nie powinny krwawić podczas szczotkowania zębów czy nitkowania. Jeśli tak się dzieje, to niemal pewny sygnał zapalenia.
- Bolesność lub tkliwość: Dyskomfort, ból przy dotyku, jedzeniu, a nawet samoistny ból to jasne wskazanie na problem.
- Nieświeży oddech (halitoza): Bakterie odpowiedzialne za stan zapalny dziąseł często produkują lotne związki siarki, które są przyczyną nieprzyjemnego zapachu z ust.
- Recesja dziąseł: W bardziej zaawansowanych przypadkach możesz zauważyć, że dziąsła zaczynają się cofać, odsłaniając szyjki zębowe. To nie tylko problem estetyczny, ale i funkcjonalny, zwiększający wrażliwość zębów.

Poznaj najczęstsze przyczyny podrażnionych dziąseł
Podrażnione dziąsła to problem, który może mieć wiele źródeł. Zrozumienie, co leży u podstaw Twojego dyskomfortu, jest pierwszym krokiem do skutecznego leczenia i zapobiegania nawrotom. Przyczyny są różnorodne, od prostych błędów w codziennej higienie, po bardziej złożone kwestie zdrowotne.
Błędy w codziennej higienie cichy wróg zdrowych dziąseł
W mojej praktyce najczęściej spotykam się z tym, że za podrażnione dziąsła odpowiada niewłaściwa higiena jamy ustnej. Kiedy nie szczotkujemy zębów regularnie i dokładnie, na ich powierzchni, a także wzdłuż linii dziąseł, gromadzi się płytka bakteryjna. Te bakterie produkują toksyny, które podrażniają dziąsła, prowadząc do stanu zapalnego. Co więcej, zbyt twarda szczoteczka, agresywne szczotkowanie lub nieprawidłowa technika nitkowania mogą powodować urazy mechaniczne, które również przyczyniają się do podrażnień i krwawienia. Pamiętaj, delikatność jest kluczowa!
Dieta i styl życia co osłabia Twoje dziąsła od wewnątrz?
Nie tylko to, co robimy na zewnątrz, ma znaczenie. Nasz organizm potrzebuje odpowiedniego wsparcia od wewnątrz, a dziąsła nie są wyjątkiem. Niedobory witamin, zwłaszcza witaminy C i tych z grupy B, mogą znacząco osłabić dziąsła, czyniąc je bardziej podatnymi na stany zapalne. Witamina C jest niezbędna do produkcji kolagenu, który buduje tkanki dziąseł, a jej brak może prowadzić do krwawień. Ogromny wpływ ma również palenie tytoniu. Palenie nie tylko zwiększa ryzyko chorób przyzębia, ale także maskuje objawy zapalenia, utrudniając wczesne wykrycie problemu i spowalniając proces gojenia.
Aparat ortodontyczny, proteza, ciąża kiedy dziąsła wymagają szczególnej troski?
Są okresy w życiu i sytuacje, kiedy dziąsła stają się szczególnie wrażliwe. Zmiany hormonalne, na przykład w okresie ciąży, dojrzewania czy menopauzy, mogą sprawić, że dziąsła reagują silniejszym stanem zapalnym nawet na niewielką ilość płytki bakteryjnej. To zjawisko jest szczególnie widoczne u kobiet w ciąży, gdzie często obserwujemy tzw. ciążowe zapalenie dziąseł. Ponadto, urazy mechaniczne spowodowane źle dopasowanymi protezami zębowymi lub aparatami ortodontycznymi mogą ciągle podrażniać tkanki, prowadząc do przewlekłego stanu zapalnego. W takich przypadkach regularne kontrole u stomatologa i ortodonty są absolutnie niezbędne.Gdy problem leży głębiej: choroby i leki wpływające na stan jamy ustnej
Czasami podrażnione dziąsła są sygnałem, że w organizmie dzieje się coś poważniejszego. Istnieje szereg chorób ogólnoustrojowych, które mogą manifestować się problemami z dziąsłami:
- Cukrzyca: Niekontrolowana cukrzyca znacząco zwiększa ryzyko chorób przyzębia i utrudnia ich leczenie.
- Białaczka: Może powodować obrzęk, krwawienie i bolesność dziąseł.
- Anoreksja i bulimia: Niedobory żywieniowe i częste wymioty osłabiają dziąsła i szkliwo.
- Spadek odporności: Choroby takie jak HIV/AIDS czy leczenie immunosupresyjne sprawiają, że dziąsła są bardziej podatne na infekcje.
Dodatkowo, niektóre leki mogą mieć wpływ na stan dziąseł, powodując ich przerost lub stany zapalne. Należą do nich między innymi leki przeciwpadaczkowe, niektóre leki stosowane w chorobach układu krążenia oraz sterydy. Zawsze informuj swojego stomatologa o wszystkich przyjmowanych lekach.
Szybka ulga w domowym zaciszu ze sprawdzonymi sposobami na ból i obrzęk
Kiedy dziąsła bolą i są opuchnięte, szukamy natychmiastowej ulgi. Na szczęście, zanim sięgniemy po apteczne preparaty, możemy wypróbować kilka sprawdzonych domowych sposobów. Mogą one skutecznie złagodzić objawy i przynieść ukojenie, zwłaszcza w początkowej fazie podrażnienia.
Moc ziół: Jak przygotować lecznicze płukanki z szałwii, rumianku i kory dębu?
Natura oferuje nam wiele cennych składników, które doskonale radzą sobie ze stanami zapalnymi. Zioła takie jak szałwia, rumianek, kora dębu czy tymianek są znane ze swoich właściwości przeciwzapalnych, ściągających i antyseptycznych. Płukanki z ich naparów mogą znacząco zmniejszyć obrzęk i ból. Aby przygotować taką płukankę, wystarczy zalać łyżkę suszonych ziół szklanką wrzącej wody i parzyć pod przykryciem przez około 10-15 minut. Po przestudzeniu i odcedzeniu, płucz usta 2-3 razy dziennie. Pamiętaj, aby napar był letni, nie gorący.
Roztwór soli i sody oczyszczonej proste, ale skuteczne remedium
To klasyka, która nigdy nie wychodzi z mody. Roztwór ciepłej wody z solą to jeden z najprostszych i najskuteczniejszych domowych sposobów na podrażnione dziąsła. Sól działa odkażająco, pomaga zmniejszyć obrzęk i łagodzi ból. Aby przygotować płukankę, rozpuść pół łyżeczki soli w szklance ciepłej wody. Płucz usta przez około 30 sekund, 2-3 razy dziennie. Możesz również spróbować płukanki z dodatkiem sody oczyszczonej (pół łyżeczki na szklankę wody), która pomaga zneutralizować kwasy i działa antybakteryjnie. Ważne, aby roztwór był ciepły, ale nie gorący, by dodatkowo nie podrażniać.Zimne okłady i delikatny masaż: natychmiastowe ukojenie dla bolących dziąseł
Czasem najprostsze metody przynoszą najszybszą ulgę. Jeśli dziąsła są bardzo opuchnięte i bolesne, zimne okłady przyłożone z zewnątrz do policzka (nigdy bezpośrednio na dziąsła!) mogą pomóc zmniejszyć obrzęk i ukoić ból. Wystarczy owinąć kostki lodu w czystą ściereczkę i przykładać na kilka minut. Dodatkowo, delikatny masaż dziąseł czystym palcem lub specjalną gumową szczoteczką może poprawić krążenie krwi w tkankach i przynieść ulgę. Pamiętaj jednak, aby robić to bardzo ostrożnie i delikatnie, aby nie pogorszyć stanu zapalnego.

Apteczne preparaty bez recepty, gdy domowe metody nie wystarczą
Chociaż domowe sposoby są często skuteczne, czasem potrzebujemy silniejszego wsparcia. W aptekach dostępna jest szeroka gama preparatów bez recepty, które zostały stworzone specjalnie z myślą o podrażnionych dziąsłach. Mogą one przynieść ulgę, gdy ziołowe płukanki czy roztwory soli okazują się niewystarczające.
Żele i maści na podrażnione dziąsła jak działają i który wybrać?
Żele i maści działają miejscowo, dostarczając składniki aktywne bezpośrednio tam, gdzie są potrzebne. Na polskim rynku znajdziesz kilka popularnych i skutecznych preparatów:
- Sachol: Zawiera salicylan choliny, który działa przeciwbólowo i przeciwzapalnie. Jest to jeden z najczęściej polecanych preparatów na stany zapalne jamy ustnej.
- Baikadent: Bazuje na wyciągu z tarczycy bajkalskiej, znanej z właściwości przeciwzapalnych i antyoksydacyjnych.
- Dentosept A: To preparat z wyciągami ziołowymi, które wspomagają regenerację dziąseł i działają odkażająco.
- Elugel: Zawiera chlorheksydynę, silny środek antybakteryjny, który skutecznie zwalcza bakterie odpowiedzialne za stany zapalne. Jest szczególnie polecany po zabiegach chirurgicznych w jamie ustnej.
Wybór konkretnego preparatu często zależy od indywidualnych preferencji i nasilenia objawów. Zawsze warto skonsultować się z farmaceutą, który pomoże dobrać odpowiedni produkt.
Pasty do zębów na problemy z dziąsłami na jakie składniki zwrócić uwagę?
Specjalistyczne pasty do zębów to podstawa codziennej higieny dla osób z wrażliwymi lub podrażnionymi dziąsłami. Marki takie jak Meridol, Lacalut, Paradontax czy Corsodyl oferują produkty, które zawierają składniki aktywne, takie jak chlorheksydyna, aminofluorek czy fluorek cyny. Te substancje skutecznie zwalczają bakterie płytki nazębnej, redukują stan zapalny i wzmacniają dziąsła. Regularne stosowanie takich past, zgodnie z zaleceniami producenta, może znacząco poprawić kondycję dziąseł i zapobiec nawrotom problemów.
Lecznicze płyny do płukania ust kiedy i jak je stosować, by nie zaszkodzić?
Lecznicze płyny do płukania ust, takie jak Corsodyl czy Meridol, są doskonałym uzupełnieniem codziennej higieny, zwłaszcza w walce z bakteriami. Pomagają dotrzeć do trudno dostępnych miejsc i zapewniają długotrwałą ochronę. Płyny zawierające chlorheksydynę są bardzo skuteczne, ale należy stosować je z umiarem i zgodnie z zaleceniami, zazwyczaj przez krótki okres (np. 7-14 dni), ponieważ zbyt długie używanie może zaburzyć naturalną florę bakteryjną jamy ustnej, a nawet powodować przebarwienia zębów. Zawsze czytaj ulotkę i w razie wątpliwości zapytaj stomatologa lub farmaceutę.
Jak pomóc najmłodszym, gdy mają podrażnione dziąsła?
Podrażnione dziąsła to problem, który dotyka również dzieci. Najczęściej obserwujemy to podczas ząbkowania, kiedy to dziąsła maluchów stają się opuchnięte, zaczerwienione i bolesne. Inne przyczyny mogą obejmować niewłaściwą higienę jamy ustnej, a nawet drobne urazy. W przypadku najmłodszych kluczowa jest delikatność. Możemy stosować specjalne żele na ząbkowanie, które działają miejscowo znieczulająco, a także chłodne gryzaki. Jeśli objawy utrzymują się, są bardzo nasilone lub towarzyszy im gorączka, zawsze należy skonsultować się z pediatrą lub stomatologiem dziecięcym. Nigdy nie podawaj dziecku leków bez wcześniejszej konsultacji z lekarzem.
Kiedy wizyta u stomatologa jest konieczna?
Chociaż domowe sposoby i apteczne preparaty bez recepty mogą przynieść ulgę, muszę podkreślić, że istnieją sytuacje, w których interwencja stomatologa jest absolutnie niezbędna. Ignorowanie poważniejszych sygnałów może prowadzić do nieodwracalnych konsekwencji dla zdrowia Twojej jamy ustnej.
Sygnały alarmowe, których nigdy nie należy lekceważyć
Jeśli zauważysz którykolwiek z poniższych objawów, niezwłocznie umów się na wizytę do stomatologa:
- Objawy utrzymują się dłużej niż kilka dni: Jeśli mimo stosowania domowych metod i dbania o higienę, ból, krwawienie czy obrzęk nie ustępują, to znak, że problem jest poważniejszy.
- Silny, pulsujący ból: Taki ból może wskazywać na zaawansowany stan zapalny, ropień lub inne poważne schorzenie.
- Pojawienie się ropnej wydzieliny: Ropa jest zawsze sygnałem infekcji bakteryjnej, która wymaga natychmiastowego leczenia.
- Ruchomość zębów: To bardzo niepokojący objaw, wskazujący na zaawansowaną paradontozę i ryzyko utraty zębów.
- Gorączka: Gorączka w połączeniu z problemami dziąseł może świadczyć o ogólnoustrojowej infekcji.
Pamiętaj, nieleczone zapalenie dziąseł może prowadzić do paradontozy, a w konsekwencji nawet do utraty zębów. Nie ryzykuj!
Jak wygląda profesjonalne leczenie stanów zapalnych dziąseł?
Podczas wizyty stomatolog dokładnie oceni stan Twoich dziąseł i zębów. Pierwszym i często najważniejszym krokiem jest profesjonalna higienizacja, czyli usunięcie kamienia nazębnego i płytki bakteryjnej (skaling, piaskowanie). To właśnie kamień jest głównym siedliskiem bakterii. W zależności od przyczyny i zaawansowania problemu, stomatolog może również zalecić:
- Leczenie przyczynowe: Jeśli problemem jest źle dopasowana proteza czy aparat ortodontyczny, konieczna będzie ich korekta.
- Przepisanie silniejszych leków: W niektórych przypadkach, zwłaszcza przy silnych infekcjach, może być konieczne zastosowanie antybiotyków lub specjalistycznych płynów do płukania ust na receptę.
- Instruktaż higieny: Stomatolog lub higienistka stomatologiczna pokaże Ci, jak prawidłowo szczotkować zęby i używać nici dentystycznej, aby zapobiec nawrotom.
Pamiętaj, że profesjonalne leczenie to inwestycja w Twoje zdrowie i uśmiech.
Złote zasady profilaktyki dla zdrowych dziąseł
Jak to często bywa, lepiej zapobiegać niż leczyć. W przypadku zdrowia dziąseł profilaktyka odgrywa absolutnie kluczową rolę. Stosując się do kilku prostych zasad, możesz znacząco zmniejszyć ryzyko podrażnień i stanów zapalnych, ciesząc się zdrowym i komfortowym uśmiechem przez długie lata.
Prawidłowa technika szczotkowania i nitkowania instruktaż krok po kroku
Podstawą jest prawidłowa higiena jamy ustnej. Używaj miękkiej szczoteczki i szczotkuj zęby co najmniej dwa razy dziennie, przez około dwie minuty. Skup się na ruchach wymiatających, zaczynając od dziąseł i kierując się w stronę korony zęba. Unikaj zbyt mocnego szorowania, które może uszkodzić zarówno dziąsła, jak i szkliwo. Równie ważne jest regularne nitkowanie zębów przynajmniej raz dziennie. Nić dentystyczna pozwala usunąć płytkę bakteryjną i resztki jedzenia z przestrzeni międzyzębowych, gdzie szczoteczka nie dociera. To właśnie tam najczęściej zaczynają się problemy z dziąsłami.
Przeczytaj również: Zapalenie dziąseł: skuteczne sposoby i leczenie poradnik eksperta
Rola regularnych wizyt kontrolnych i profesjonalnej higienizacji
Nawet jeśli dbasz o higienę w domu, regularne wizyty kontrolne u stomatologa są nieocenione. Ja zawsze zachęcam moich pacjentów do odwiedzania gabinetu co najmniej raz na sześć miesięcy. Podczas takiej wizyty stomatolog może wcześnie wykryć wszelkie niepokojące zmiany i zapobiec rozwojowi poważniejszych problemów. Dodatkowo, profesjonalna higienizacja, czyli skaling (usunięcie kamienia nazębnego) i piaskowanie (usunięcie osadów i przebarwień), powinna być wykonywana regularnie. To zabiegi, które usuwają twarde złogi, których nie jesteś w stanie pozbyć się samodzielnie, a które są główną przyczyną stanów zapalnych dziąseł.
