Dorosły człowiek ma zazwyczaj 32 zęby stałe oto co musisz wiedzieć o ich liczbie
- Najczęściej dorosły człowiek posiada 32 zęby stałe, wliczając w to cztery zęby mądrości.
- Bez zębów mądrości, które nie u każdego się wyrzynają lub są usuwane, liczba zębów stałych wynosi 28.
- Pełen łuk zębowy składa się z 16 zębów w szczęce i 16 w żuchwie.
- Wyróżnia się cztery główne rodzaje zębów stałych: siekacze, kły, przedtrzonowce i trzonowe, każdy z nich pełniącą inną funkcję.
- Anomalie takie jak brak zawiązków zębów (hipodoncja) lub obecność zębów nadliczbowych (hiperdoncja) mogą zmieniać standardową liczbę uzębienia.

Ile zębów powinien mieć dorosły człowiek?
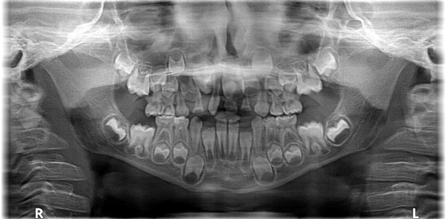
Standardowo, dorosły człowiek posiada 32 zęby stałe. W tę liczbę wlicza się pełen zestaw uzębienia, w tym cztery zęby mądrości, znane również jako ósemki. Oznacza to 16 zębów w szczęce (górnej szczęce) i 16 zębów w żuchwie (dolnej szczęce), tworzących kompletny łuk zębowy, przystosowany do efektywnego rozdrabniania pokarmu.
Jednakże, często spotykamy się z sytuacją, gdzie liczba zębów stałych wynosi 28. Dzieje się tak, gdy zęby mądrości nie wyrżną się w ogóle, są zatrzymane w kości, lub zostaną usunięte z powodu problemów zdrowotnych. W takim przypadku 28 zębów jest również wariantem normy i w żaden sposób nie świadczy o nieprawidłowości, o ile pozostałe zęby są zdrowe i funkcjonalne.
Zęby mądrości, czyli trzecie zęby trzonowe, wyrzynają się najpóźniej zazwyczaj między 17. a 26. rokiem życia, choć u niektórych osób mogą pojawić się później lub wcale. Są one często przyczyną wielu problemów, takich jak ból, stany zapalne, stłoczenia innych zębów, a nawet uszkodzenia sąsiednich zębów. Szacuje się, że problemy z ósemkami dotyczą nawet co trzeciego pacjenta, co często prowadzi do konieczności ich chirurgicznego usunięcia. Właśnie dlatego tak wielu dorosłych ma 28, a nie 32 zęby.
Poznaj swój uśmiech: rodzaje zębów stałych i ich funkcje
Każdy ząb w naszej jamie ustnej ma swoje specyficzne zadanie, które wspólnie przyczyniają się do prawidłowego procesu żucia i trawienia. Oto podział zębów stałych i ich funkcje:
| Rodzaj zęba | Liczba i funkcja |
|---|---|
| Siekacze | Łącznie 8 (4 w szczęce, 4 w żuchwie). To przednie zęby, o płaskiej, ostrej krawędzi. Ich główną funkcją jest odgryzanie i cięcie kęsów pokarmu. Są również kluczowe dla estetyki uśmiechu i prawidłowej wymowy. |
| Kły | Łącznie 4 (2 w szczęce, 2 w żuchwie). Położone obok siekaczy, są najdłuższymi i najbardziej spiczastymi zębami. Ich zadaniem jest rozrywanie twardszych kawałków pokarmu. Pełnią też ważną rolę w prowadzeniu żuchwy podczas ruchów bocznych. |
| Przedtrzonowce | Łącznie 8 (4 w szczęce, 4 w żuchwie). Znajdują się za kłami. Mają dwie guzki na powierzchni żującej. Służą do wstępnego miażdżenia i rozcierania pokarmu, przygotowując go do dalszego przetwarzania przez zęby trzonowe. |
| Trzonowce | Łącznie 12 (6 w szczęce, 6 w żuchwie), wliczając w to zęby mądrości. To największe zęby, z szeroką powierzchnią żującą, wyposażoną w wiele guzków. Ich główną funkcją jest intensywne rozcieranie i mielenie pokarmu na drobne cząstki, co ułatwia trawienie. |
Droga do pełnego uzębienia: jak i kiedy pojawiają się zęby stałe
Proces wymiany zębów mlecznych na stałe to fascynujący etap w rozwoju każdego człowieka. Rozpoczyna się on zazwyczaj około 6. roku życia i, nie licząc zębów mądrości, trwa do około 13. roku życia. W tym czasie zęby mleczne stopniowo wypadają, ustępując miejsca większym i trwalszym zębom stałym. Warto podkreślić, że pierwsze zęby trzonowe, tzw. szóstki, są pierwszymi zębami stałymi, które pojawiają się w jamie ustnej wyrzynają się za ostatnimi zębami mlecznymi, nie zastępując żadnego z nich. Są one niezwykle ważne dla prawidłowego rozwoju zgryzu.Ogólna kolejność wyrzynania się głównych grup zębów stałych wygląda następująco:
- Pierwsze zęby trzonowe (szóstki) około 6. roku życia.
- Siekacze centralne i boczne między 6. a 9. rokiem życia.
- Pierwsze zęby przedtrzonowe między 9. a 11. rokiem życia.
- Kły między 10. a 12. rokiem życia.
- Drugie zęby przedtrzonowe między 10. a 12. rokiem życia.
- Drugie zęby trzonowe (siódemki) między 11. a 13. rokiem życia.
- Trzecie zęby trzonowe (zęby mądrości/ósemki) między 17. a 26. rokiem życia, choć ich pojawienie się jest bardzo indywidualne.

Gdy natura płata figle: najczęstsze anomalie w liczbie zębów
Chociaż standardowa liczba zębów stałych to 32 (lub 28 bez ósemek), natura czasami zaskakuje, prowadząc do anomalii w ich liczbie. Dwie najczęściej spotykane to hipodoncja i hiperdoncja.
Hipodoncja to wrodzony brak zawiązków zębów, co oznacza, że dany ząb nigdy się nie wykształci i nie wyrżnie. Jest to jedna z częstszych anomalii rozwojowych, dotykająca kilku procent populacji. Najczęściej hipodoncja dotyczy zębów mądrości, co w pewnym sensie ułatwia życie, eliminując potencjalne problemy z ósemkami. Niestety, może również obejmować drugie zęby przedtrzonowe lub boczne siekacze, co już ma znaczący wpływ na estetykę i funkcję zgryzu. W takich przypadkach często konieczne jest leczenie ortodontyczne lub protetyczne, aby uzupełnić braki i zapewnić prawidłowe funkcjonowanie jamy ustnej.
Z kolei hiperdoncja, czyli obecność zębów nadliczbowych, występuje rzadziej niż hipodoncja. Polega ona na wykształceniu się dodatkowych zębów poza standardową liczbą. Zęby nadliczbowe najczęściej pojawiają się w okolicy siekaczy w szczęce, gdzie mogą powodować stłoczenia, przemieszczenia innych zębów, a także problemy z higieną i estetyką. Czasami są to zęby o prawidłowym kształcie, innym razem są to małe, stożkowate twory. W większości przypadków zęby nadliczbowe wymagają usunięcia, aby zapobiec komplikacjom i umożliwić prawidłowe ustawienie pozostałych zębów w łuku.
Dlaczego tracimy zęby stałe? Główne zagrożenia dla uśmiechu
Utrata zębów stałych to problem, który niestety dotyka wielu dorosłych, zwłaszcza w starszych grupach wiekowych. Chociaż dane statystyczne wskazują na ogólną poprawę stanu uzębienia Polaków na przestrzeni lat, wciąż mierzymy się z wyzwaniami. Niestety, znaczny odsetek osób po 45. roku życia nie posiada pełnego uzębienia, a niektórzy borykają się z bezzębiem. Z mojego doświadczenia wynika, że główne przyczyny utraty zębów stałych są w dużej mierze możliwe do uniknięcia dzięki odpowiedniej profilaktyce:
- Zaawansowana próchnica: Nieleczona próchnica prowadzi do głębokich ubytków, które mogą zniszczyć ząb do tego stopnia, że jedynym rozwiązaniem staje się jego usunięcie. Bakterie próchnicowe, jeśli nie są kontrolowane, penetrują coraz głębiej, docierając do miazgi zęba, co często kończy się stanem zapalnym i koniecznością ekstrakcji.
- Choroby przyzębia (paradontoza): To schorzenia tkanek otaczających ząb, takie jak dziąsła i kość. Niewłaściwa higiena prowadzi do gromadzenia się płytki nazębnej i kamienia, co wywołuje stany zapalne. W zaawansowanej paradontozie dochodzi do zaniku kości, która utrzymuje ząb, co w konsekwencji prowadzi do jego rozchwiania i wypadnięcia.
- Urazy mechaniczne: Wypadki, upadki czy urazy sportowe mogą skutkować wybiciem zęba lub jego poważnym uszkodzeniem, wymagającym usunięcia.
Przeczytaj również: Czy masz torbiel zęba? Objawy, na które musisz zwrócić uwagę
Jak zachować komplet zębów stałych na całe życie? Kluczowe zasady
Zachowanie pełnego, zdrowego uzębienia na całe życie to cel, który jest w zasięgu ręki każdego z nas, pod warunkiem konsekwentnego przestrzegania kilku kluczowych zasad profilaktyki. Jako specjalista, zawsze podkreślam, że inwestycja w profilaktykę to najlepsza inwestycja w zdrowie jamy ustnej.
- Codzienna, dokładna higiena jamy ustnej: To podstawa. Szczotkowanie zębów powinno odbywać się co najmniej dwa razy dziennie, rano i wieczorem, przez minimum dwie minuty. Kluczowa jest technika pamiętaj o ruchach wymiatających, a nie szorujących, docierając do każdej powierzchni zęba. Nie zapominaj o używaniu nici dentystycznej lub irygatora, aby usunąć resztki pokarmu i płytkę bakteryjną z przestrzeni międzyzębowych, gdzie szczoteczka nie dociera. Płyny do płukania ust mogą być dodatkiem, ale nigdy nie zastąpią szczotkowania i nitkowania.
-
Regularne wizyty u stomatologa i higienistki: Nawet najlepsza higiena domowa nie zastąpi profesjonalnego czyszczenia i kontroli. Zalecam wizyty kontrolne u stomatologa co najmniej raz na sześć miesięcy. W tym czasie dentysta może wykryć wczesne stadia próchnicy lub chorób przyzębia, zanim staną się poważnym problemem. Wizyty u higienistki stomatologicznej, podczas których usuwany jest kamień nazębny (skaling) i osady (piaskowanie), są równie ważne, ponieważ kamień nazębny jest główną przyczyną paradontozy i nie da się go usunąć domowymi sposobami.
-
Zbilansowana dieta i ograniczenie cukru: To, co jemy, ma bezpośredni wpływ na zdrowie naszych zębów. Ogranicz spożycie cukrów prostych i kwasów, które sprzyjają rozwojowi próchnicy. Unikaj częstego podjadania między posiłkami, ponieważ każdy kontakt zęba z cukrem inicjuje proces demineralizacji szkliwa. Włącz do swojej diety produkty bogate w wapń (nabiał, zielone warzywa liściaste), fosfor (ryby, mięso) i witaminę D (tłuste ryby, jajka), które wzmacniają kości i zęby. Pij dużo wody, która pomaga w naturalnym oczyszczaniu jamy ustnej i stymuluje produkcję śliny, neutralizującej kwasy.
