Wybielanie zębów: Jak bezpiecznie rozjaśnić uśmiech? Poradnik eksperta
7 października 2025
Wybielanie zębów: kompleksowy poradnik eksperta. Poznaj metody, bezpieczeństwo, przeciwwskazania i białą dietę. Zadbaj o jasny uśmiech!
7 października 2025
Wybielanie zębów: kompleksowy poradnik eksperta. Poznaj metody, bezpieczeństwo, przeciwwskazania i białą dietę. Zadbaj o jasny uśmiech!
Dowiedz się, co naprawdę przysługuje Ci u dentysty na NFZ. Białe plomby, leczenie kanałowe, protezy zobacz pełen zakres refundacji i swoje prawa.
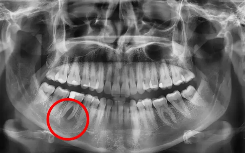
Zastanawiasz się, jakie są objawy torbieli zęba? Poznaj dyskretne i zaawansowane sygnały. Dowiedz się, dlaczego rośnie cicho i jak ją wyleczyć. Sprawdź!
Odkryj, jakie witaminy na zęby i minerały wzmocnią szkliwo oraz dziąsła. Poznaj ich rolę, naturalne źródła w diecie i zasady bezpiecznej suplementacji.
Sprawdź, ile kosztuje uzupełnienie braku piątego zęba! Porównaj ceny implantów, mostów i protez. Poznaj ukryte koszty i zasady refundacji NFZ. Podejmij świadomą decyzję.
Jak utrzymać efekt po higienizacji zębów? Poznaj zasady białej diety: co jeść, a czego unikać, by chronić szkliwo i wspierać dziąsła. Sprawdź!
Wypadanie zębów mlecznych: objawy, kalendarz, porady dla rodziców. Sprawdź, co jest normą, a kiedy reagować. Zadbaj o uśmiech dziecka!
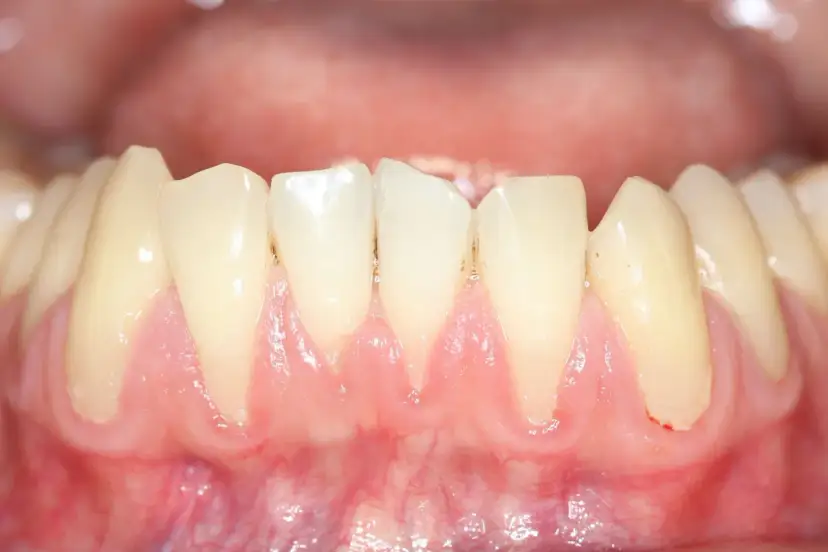
Paradontoza: Kiedy zęby wypadają? Poznaj objawy zaawansowanej choroby i skuteczne metody leczenia, by uratować swój uśmiech. Sprawdź, co możesz zrobić!
Opuchlizna od zęba? Odkryj 5 domowych sposobów na szybką ulgę, poznaj przyczyny i sprawdź, kiedy pilnie udać się do dentysty. Poradnik eksperta.
Najnowsze wpisy z kategorii Aparaty na zęby