Stan zapalny dziąseł to powszechny problem, który, choć często bagatelizowany, może prowadzić do poważnych konsekwencji dla zdrowia jamy ustnej. Nieleczony, potrafi eskalować do paradontozy, a nawet utraty zębów. W tym artykule przedstawię sprawdzone, praktyczne rozwiązania i szczegółowe instrukcje dotyczące płukanek, które mogą przynieść natychmiastową ulgę i wspomóc leczenie.
Skuteczne płukanki na stan zapalny dziąseł natychmiastowa ulga i instrukcje stosowania
- Domowe płukanki (z soli, sody oczyszczonej, wody utlenionej) przynoszą szybką ulgę i są łatwe w przygotowaniu.
- Zioła takie jak szałwia, rumianek czy kora dębu oferują naturalne działanie przeciwzapalne i ściągające.
- Apteczne płyny z chlorheksydyną są skuteczne w zaawansowanych stanach, ale wymagają ostrożności i krótkotrwałego stosowania.
- Kluczowa jest prawidłowa higiena jamy ustnej, w tym delikatne szczotkowanie i nitkowanie.
- Nieleczone zapalenie dziąseł może prowadzić do poważniejszych problemów, w tym paradontozy i utraty zębów.
- Wizyta u stomatologa jest niezbędna, jeśli objawy utrzymują się dłużej niż kilka dni lub są bardzo nasilone.
Zapalenie dziąseł: dlaczego nie wolno go ignorować?
Zapalenie dziąseł, znane również jako gingivitis, to problem, z którym boryka się wielu z nas. Niestety, często lekceważymy jego pierwsze objawy, co jest dużym błędem. Jako ekspert w dziedzinie zdrowia jamy ustnej, zawsze podkreślam, że wczesna interwencja jest kluczowa. Ignorowanie stanu zapalnego dziąseł to prosta droga do poważniejszych schorzeń, które mogą mieć długotrwałe konsekwencje dla naszego uśmiechu i ogólnego zdrowia.
Czym jest stan zapalny dziąseł i skąd się bierze?
Stan zapalny dziąseł to nic innego jak reakcja obronna organizmu na obecność bakterii. Główną przyczyną jest nagromadzenie płytki bakteryjnej wzdłuż linii dziąseł, która nie jest regularnie usuwana. Ta lepka warstwa bakterii i resztek jedzenia, jeśli nie zostanie usunięta podczas codziennego szczotkowania i nitkowania, z czasem twardnieje, tworząc kamień nazębny. Kamień ten działa drażniąco na dziąsła, prowadząc do ich stanu zapalnego.
Pierwsze sygnały alarmowe: Jak rozpoznać problem, zanim będzie za późno
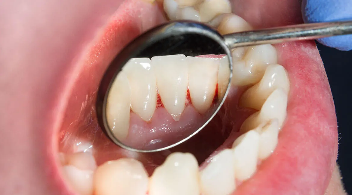
Wczesne rozpoznanie objawów jest niezwykle ważne. Oto kluczowe sygnały, na które powinniśmy zwrócić uwagę:
- Zaczerwienienie i obrzęk dziąseł dziąsła stają się ciemniejsze i spuchnięte.
- Bolesność dziąsła mogą być wrażliwe na dotyk, a nawet spontanicznie boleć.
- Krwawienie podczas szczotkowania lub jedzenia to jeden z najbardziej charakterystycznych i niepokojących objawów.
- Nieprzyjemny zapach z ust (halitoza) spowodowany aktywnością bakterii.
- W zaawansowanych stadiach może pojawić się recesja dziąseł, czyli ich cofanie się, co odsłania szyjki zębów.
Od płytki nazębnej do paradontozy dlaczego szybka reakcja jest kluczowa
Nieleczony stan zapalny dziąseł to prosta droga do rozwoju paradontozy, czyli zapalenia przyzębia. Jest to znacznie poważniejsza choroba, która atakuje tkanki utrzymujące ząb w zębodole. W konsekwencji może prowadzić do rozchwiania, a nawet utraty zębów. Szybka reakcja i podjęcie odpowiednich działań są więc absolutnie kluczowe. Pamiętajmy również, że na rozwój zapalenia dziąseł wpływają inne czynniki ryzyka, takie jak palenie tytoniu, zmiany hormonalne (ciąża, menopauza), cukrzyca, stres, niedobory witamin (szczególnie witaminy C) oraz niektóre leki. W mojej praktyce zawsze zwracam uwagę na te aspekty, aby podejść do problemu kompleksowo.

Domowe płukanki: szybka ulga na stan zapalny dziąseł
Kiedy dziąsła zaczynają boleć, a wizyta u dentysty nie jest możliwa od razu, domowe płukanki mogą przynieść znaczną ulgę. Są to proste, łatwo dostępne i często bardzo skuteczne metody, które każdy może zastosować w domu. Pamiętajmy jednak, że to rozwiązania tymczasowe, które nie zastąpią profesjonalnego leczenia.
Płukanka z soli klasyczny i bezpieczny sposób na obrzęk
Płukanka solna to jeden z najstarszych i najbardziej sprawdzonych domowych sposobów na podrażnione dziąsła. Sól działa łagodząco, ściągająco i pomaga zmniejszyć obrzęk. Aby przygotować taką płukankę, wystarczy rozpuścić jedną łyżeczkę soli w szklance ciepłej wody. Płucz jamę ustną przez około 30 sekund, 2-3 razy dziennie. To proste, a zarazem bardzo efektywne.Woda utleniona na stan zapalny: Jak stosować, by pomóc, a nie zaszkodzić?
Woda utleniona (nadtlenek wodoru) ma silne działanie przeciwzapalne i antybakteryjne, co czyni ją skuteczną w walce z infekcjami. Kluczowe jest jednak jej prawidłowe stosowanie. Należy używać 3% roztworu wody utlenionej, rozcieńczonego z wodą w proporcji 1:1. Płucz jamę ustną przez około minutę, nie częściej niż raz dziennie. Ostrzegam przed zbyt częstym stosowaniem, ponieważ może to prowadzić do podrażnień błony śluzowej, a nawet uszkodzenia tkanek. Stosuj ją z umiarem i tylko przez krótki czas.
Soda oczyszczona niedoceniany sojusznik w neutralizowaniu kwasów
Soda oczyszczona to kolejny prosty, ale skuteczny środek, który możemy znaleźć w każdej kuchni. Jej główną zaletą jest zdolność do neutralizowania kwasów w jamie ustnej. Kwaśne środowisko sprzyja rozwojowi bakterii i podrażnia dziąsła, dlatego przywrócenie równowagi pH jest bardzo korzystne w przypadku stanu zapalnego. Możesz przygotować płukankę, rozpuszczając pół łyżeczki sody w szklance ciepłej wody i płucząc nią usta 2-3 razy dziennie.

Naturalne płukanki ziołowe: moc natury dla zdrowych dziąseł
Natura oferuje nam wiele składników, które od wieków są wykorzystywane w medycynie ludowej do łagodzenia stanów zapalnych. Ziołowe płukanki to doskonałe uzupełnienie domowej apteczki, a ich regularne stosowanie może przynieść ulgę i wspomóc regenerację dziąseł. W mojej opinii, to często niedoceniane, a bardzo skuteczne metody.
Szałwia lekarska: Niekwestionowana królowa zdrowych dziąseł
Szałwia lekarska to prawdziwy skarb natury w walce o zdrowe dziąsła. Posiada silne właściwości przeciwbakteryjne, przeciwzapalne i ściągające. Do płukania używa się naparu z suszonych liści: zalej łyżkę szałwii szklanką wrzątku i parz pod przykryciem przez około 15 minut. Po przestudzeniu płucz jamę ustną kilka razy dziennie. Ważne jest, aby stosowanie na błonę śluzową jamy ustnej nie trwało dłużej niż tydzień, aby uniknąć ewentualnych podrażnień.
Rumianek delikatne ukojenie dla podrażnionych tkanek
Rumianek to zioło o wyjątkowo łagodnym, ale skutecznym działaniu. Jego napar działa kojąco, łagodząco i przeciwzapalnie, pomagając redukować podrażnienia i obrzęk. Jest to szczególnie ważne, gdy dziąsła są bardzo wrażliwe. Napar z rumianku jest na tyle bezpieczny, że może być stosowany nawet u dzieci. Wystarczy zaparzyć torebkę rumianku lub łyżeczkę suszu w szklance wrzątku, a po ostygnięciu płukać usta.
Kora dębu: Jak jej właściwości ściągające hamują krwawienie?
Kora dębu to kolejne potężne zioło w walce o zdrowe dziąsła. Jest bogata w garbniki, które działają silnie ściągająco, przeciwbakteryjnie i skutecznie hamują niewielkie krwawienia dziąseł. To idealne rozwiązanie, gdy zauważymy krwawienie podczas szczotkowania. Przygotowuje się z niej odwar: łyżkę kory dębu gotuj w szklance wody przez około 5-10 minut, następnie odcedź i po przestudzeniu płucz usta.
Inne skuteczne zioła: Tymianek, arnika i mięta w Twojej codziennej pielęgnacji
Oprócz wymienionych, istnieje wiele innych ziół, które mogą wspomóc zdrowie dziąseł:
- Tymianek: Znany ze swojego silnego działania bakteriobójczego, skutecznie zwalcza patogeny w jamie ustnej.
- Arnika: Pomaga uszczelniać naczynia krwionośne, co jest korzystne w przypadku krwawiących dziąseł.
- Mięta pieprzowa: Nie tylko odświeża oddech, ale także wykazuje właściwości antybakteryjne, wspomagając higienę jamy ustnej.
Płyny z apteki: skuteczne wsparcie w walce z zapaleniem
Kiedy domowe sposoby okazują się niewystarczające lub stan zapalny jest bardziej zaawansowany, warto sięgnąć po specjalistyczne płyny dostępne w aptekach. Są one opracowane, aby dostarczać skoncentrowane składniki aktywne, które szybko i efektywnie zwalczają problem. Zawsze doradzam moim pacjentom, aby w takich sytuacjach rozważyli wsparcie farmakologiczne.
Chlorheksydyna kiedy warto sięgnąć po najsilniejszą broń?
Chlorheksydyna to silny antyseptyk, który jest niezwykle skuteczny w ograniczaniu rozwoju bakterii w jamie ustnej. Płukanki z tym składnikiem, takie jak Corsodyl, Eludril czy Chlorhexil, są często polecane w zaawansowanych stanach zapalnych dziąseł, a także po zabiegach chirurgicznych w jamie ustnej. Jej działanie jest bardzo szybkie i intensywne, co czyni ją "najsilniejszą bronią" w walce z bakteriami.
Na co zwrócić uwagę przy płynach z chlorheksydyną: Czas stosowania i skutki uboczne
Mimo swojej skuteczności, płyny z chlorheksydyną wymagają ostrożności. Oto najważniejsze zasady:
- Nie powinny być stosowane dłużej niż dwa tygodnie, chyba że stomatolog zaleci inaczej. Długotrwałe użycie może prowadzić do niepożądanych efektów.
- Potencjalne skutki uboczne to przede wszystkim przebarwienia zębów (które zazwyczaj ustępują po profesjonalnym czyszczeniu) oraz podrażnienia błony śluzowej.
Gotowe płukanki ziołowe wygoda i skuteczność w jednej butelce
Dla tych, którzy cenią sobie wygodę, apteki oferują wiele gotowych preparatów do płukania jamy ustnej, które bazują na wyciągach z ziół. Często zawierają one szałwię, rumianek, tymianek czy eukaliptus, łącząc skuteczność naturalnych składników z łatwością użycia. Przykładami takich produktów są Dentosept czy Salviasept. To świetna alternatywa dla samodzielnego przygotowywania naparów, zwłaszcza gdy brakuje nam czasu.
Kompleksowa higiena: co jeszcze pomoże Twoim dziąsłom?
Płukanki to tylko jeden z elementów walki ze stanem zapalnym dziąseł. Aby osiągnąć trwałą poprawę i zapobiec nawrotom, niezbędna jest kompleksowa higiena jamy ustnej. Moje doświadczenie pokazuje, że bez odpowiedniej techniki szczotkowania i dbałości o przestrzenie międzyzębowe, nawet najlepsze płukanki nie przyniosą oczekiwanych rezultatów.
Technika ma znaczenie: Jak prawidłowo szczotkować zęby przy stanie zapalnym?
Prawidłowa technika szczotkowania jest fundamentem zdrowych dziąseł. Przy stanie zapalnym należy zachować szczególną delikatność. Używaj miękkiej szczoteczki, która nie podrażni wrażliwych dziąseł, a jednocześnie skutecznie usunie płytkę bakteryjną. Szczotkuj zęby ruchem wymiatająco-obrotowym (tzw. metoda Bassa), kierując włosie szczoteczki pod kątem 45 stopni do linii dziąseł. Pamiętaj, aby nie szorować zbyt mocno to może tylko pogorszyć sytuację.Nitkowanie i czyszczenie przestrzeni międzyzębowych Twój obowiązkowy rytuał
Nawet najlepsze szczotkowanie nie usunie całej płytki bakteryjnej i resztek jedzenia z przestrzeni międzyzębowych. To właśnie tam najczęściej gromadzą się bakterie, będące główną przyczyną zapalenia dziąseł. Dlatego nitkowanie zębów lub używanie szczoteczek międzyzębowych jest absolutnie obowiązkowe. Wykonuj tę czynność przynajmniej raz dziennie, najlepiej wieczorem, aby usunąć wszystkie zanieczyszczenia i zapewnić dziąsłom czyste środowisko.
Dieta a zdrowie dziąseł: Czego unikać, a co włączyć do jadłospisu?
Dieta ma ogromny wpływ na zdrowie całego organizmu, w tym również na kondycję naszych dziąseł. Odpowiednie odżywianie może wspomóc proces leczenia i wzmocnić odporność tkanek.
Czego unikać:
- Słodkie i przetworzone produkty: Cukier jest pożywką dla bakterii, które produkują kwasy niszczące szkliwo i podrażniające dziąsła.
- Kwaśne napoje i potrawy: Mogą osłabiać szkliwo i zwiększać wrażliwość dziąseł.
- Twarde, ostre jedzenie: Może mechanicznie podrażniać już i tak wrażliwe dziąsła.
Co włączyć do jadłospisu:
- Produkty bogate w witaminę C: Cytrusy, papryka, brokuły wzmacniają naczynia krwionośne i wspomagają gojenie.
- Produkty bogate w witaminę D i wapń: Mleko, jogurty, ryby kluczowe dla mocnych kości i zębów.
- Warzywa i owoce bogate w antyoksydanty: Jagody, szpinak zwalczają wolne rodniki i wspierają ogólną odporność.

Kiedy domowe metody to za mało? Czas na wizytę u dentysty
Chociaż domowe płukanki i skrupulatna higiena są niezwykle ważne, musimy pamiętać, że mają one charakter wspomagający. Nie zastąpią profesjonalnej diagnostyki i leczenia, zwłaszcza gdy problem jest zaawansowany. Jako stomatolog, zawsze podkreślam, że kluczem do sukcesu jest współpraca pacjenta z lekarzem.
Uporczywe krwawienie i ból nie czekaj, działaj!
Jeśli objawy takie jak krwawienie, ból czy obrzęk utrzymują się dłużej niż kilka dni, pomimo stosowania domowych płukanek i prawidłowej higieny, to jest to wyraźny sygnał, że niezbędna jest natychmiastowa konsultacja stomatologiczna. Nie można ignorować tych sygnałów, ponieważ nieleczony stan zapalny może prowadzić do poważniejszych konsekwencji, takich jak wspomniana już paradontoza. Im szybciej zareagujemy, tym większe szanse na pełne wyleczenie i uniknięcie długotrwałych problemów.
Przeczytaj również: Recesja dziąseł: Jak zatrzymać i odbudować utraconą tkankę?
Jak wygląda profesjonalne leczenie stanu zapalnego dziąseł w gabinecie?
Profesjonalne leczenie stanu zapalnego dziąseł w gabinecie stomatologicznym jest zazwyczaj proste i skuteczne. Podstawą jest scaling, czyli profesjonalne usunięcie kamienia nazębnego zarówno naddziąsłowego, jak i poddziąsłowego. Często uzupełnia się go piaskowaniem, które usuwa osady i przebarwienia. Po tych zabiegach dziąsła mają szansę na regenerację. Kluczowe są również instruktaże higieny, które stomatolog lub higienistka stomatologiczna przeprowadzi, aby upewnić się, że pacjent zna i stosuje prawidłowe techniki szczotkowania i nitkowania. To właśnie te profesjonalne działania, połączone z codzienną dbałością, są gwarancją trwałej poprawy zdrowia dziąseł.
